Téléphone
+31 (0) 23 543 42 50Un cas clinique utilisant les teintes simplifiées Venus Pearl Pure Shades
Le Dr Riccardo Baratto, dentiste esthétique, présente une étude de cas détaillée de la restauration de deux incisives centrales (dents 11 et 21) à l'aide du composite Venus Pearl Pure Shade en stratification monochromatique. Cet article décrit le protocole étape par étape, souligne la polyvalence du produit et montre les résultats obtenus avec une technique simplifiée utilisant une approche de stratification monochromatique.
Protocole opératoire étape par étape
Le patient présentait des restaurations en composite insuffisantes sur les dents 11 et 21. L'objectif était de restaurer les incisives centrales avec une teinte unique afin d'obtenir une apparence naturelle et esthétique.
Le choix de la teinte est facilité par Venus Pure Shades : il suffit de choisir entre LIGHT, MEDIUM, DARK et BLEACH. L'adaptation de la teinte de Venus Pearl permet une intégration parfaite avec la teinte naturelle de la dent. En utilisant la carte de correspondance, la teinte MEDIUM (correspondant à A3) a été sélectionnée pour correspondre aux dents naturelles de ce patient.
Le champ opératoire a été isolé afin de créer un environnement de travail propre et sec.
L'ancien composite et les tissus cariés ont été soigneusement retirés pour préparer les dents à la nouvelle restauration.
Les dents ont été mordancées avec de l'acide orthophosphorique à 35 % . Pour l'adhésion nous avons utilisé notre adhésif iBond Universal (Kulzer).
Venus Pearl MEDIUM a été utilisé pour reconstruire les dents selon une technique de stratification à teinte unique. Cette approche permet d'accélérer le protocole de restauration et de réduire considérablement la durée du traitement
Après la reconstruction des dents avec du composite, les restaurations étaient prêtes pour la finition afin d'affiner la forme.
Les restaurations ont été polies sous la digue dentaire.
La digue a été retirée et les restaurations polies ont été révélées.
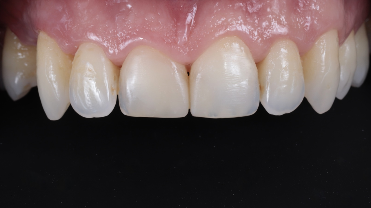
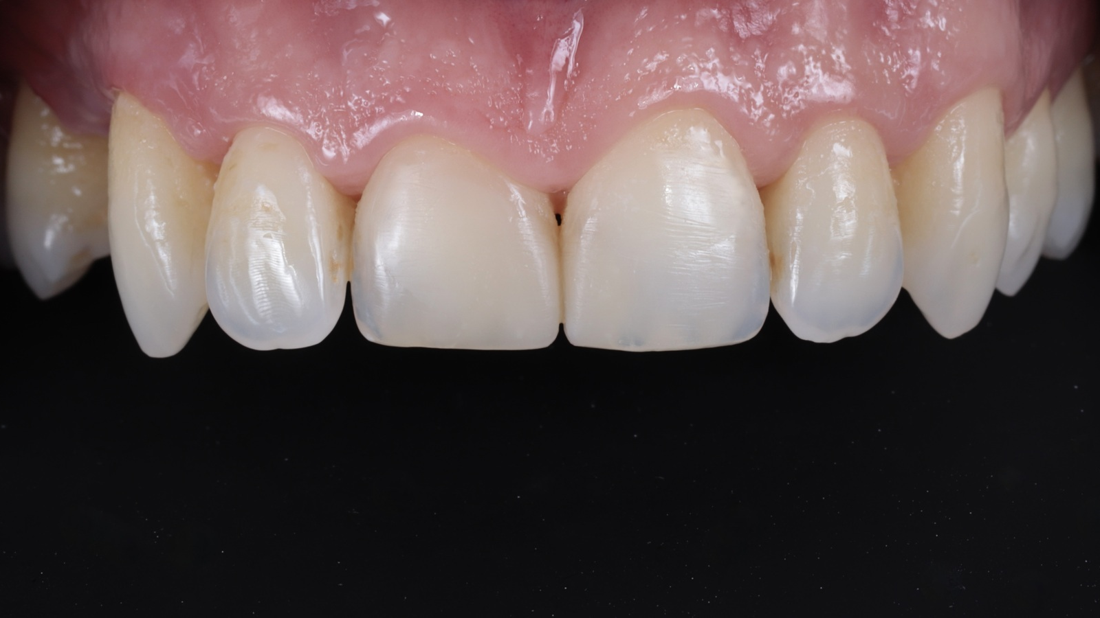
Après réhydratation, les restaurations se sont complètement intégrées au tissu dentaire naturel. Le composite a développé de manière indépendante des zones de translucidité en fonction de l'épaisseur créée, ce qui donne un aspect très esthétique et naturel.
| VENUS PEARL PURE SHADES |
| couvre environ 90% des restaurations antérieures et postérieures |
| AVEC SEULEMENT 4 TEINTES. |
| *Vita® est une marque déposée de VITA Zahnfabrik. |
Cette étude de cas démontre l'efficacité de Venus Pearl Pure Shades dans la réalisation de restaurations naturelles et esthétiques, comme en témoigne le Dr Riccardo Baratto : "Venus Pearl Pure Shades est un produit fantastique. Il est très polyvalent, facile à utiliser et simplifie de nombreux aspects du processus de restauration. Sa capacité à se fixer indépendamment par rapport à son contour améliore considérablement le processus de prise de teinte."
Les teintes Venus Pearl Pure Shades sont conçues pour les restaurations antérieures et postérieures de tous les jours. La simple sélection de quatre teintes simplifie non seulement le protocole, mais permet également d'obtenir d'excellents résultats dans la stratification monochromatique, tout en réduisant le stress et les erreurs dans la sélection des teintes.
Le Dr Baratto est diplômé de l'Université européenne de Madrid et s'est spécialisé dans l'endodontie, l'odontologie conservatrice, la prosthodontie et l'esthétique. Il est expert en esthétique, ayant été formé par le président de l'AIC, Federico Ferraris. Le Dr Baratto travaille en tant qu'indépendant dans divers cabinets à Bergame et à Monza Brianza.
Veuillez également vous référer aux instructions d'utilisation (IFU) pertinentes lors de l'utilisation du produit médical.
Manager Corporate Communications
Matthias Brehmke
Conçu pour simplifier votre flux de travail d’empreinte avec précision, efficacité et facilité.