Téléphone
+31 (0) 23 543 42 50Découvrez comment Venus Bulk Flow ONE constitue une solution rapide et efficace pour restaurer des dents en une seule teinte sans stratification supplémentaire. Dr Claus-Peter Ernst illustre la facilité d'utilisation et les propriétés exceptionnelles de Venus Bulk Flow ONE en termes d'esthétique et de résistance.
Venus Bulk Flow ONE est un nouveau composite qui offre une solution d'obturation en Bulk à teinte unique sans qu'il soit nécessaire de procéder à une stratification supplémentaire. Sa consistance fluide le rend facile à manipuler et ses propriétés d'obturation en Bulk lui permettent d'être utilisé par couches de 4 mm, ce qui en fait le composite idéal pour les dentistes à la recherche d'un processus de restauration rapide et efficace. Il s'adapte également à toutes les teintes de dents, de A1 à D4, garantissant ainsi un aspect naturel et homogène.
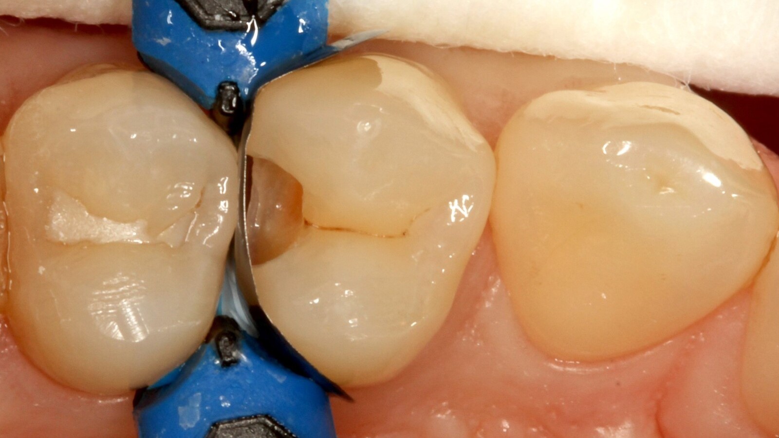
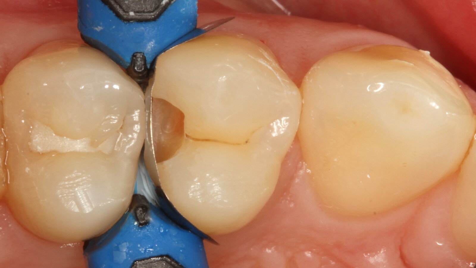
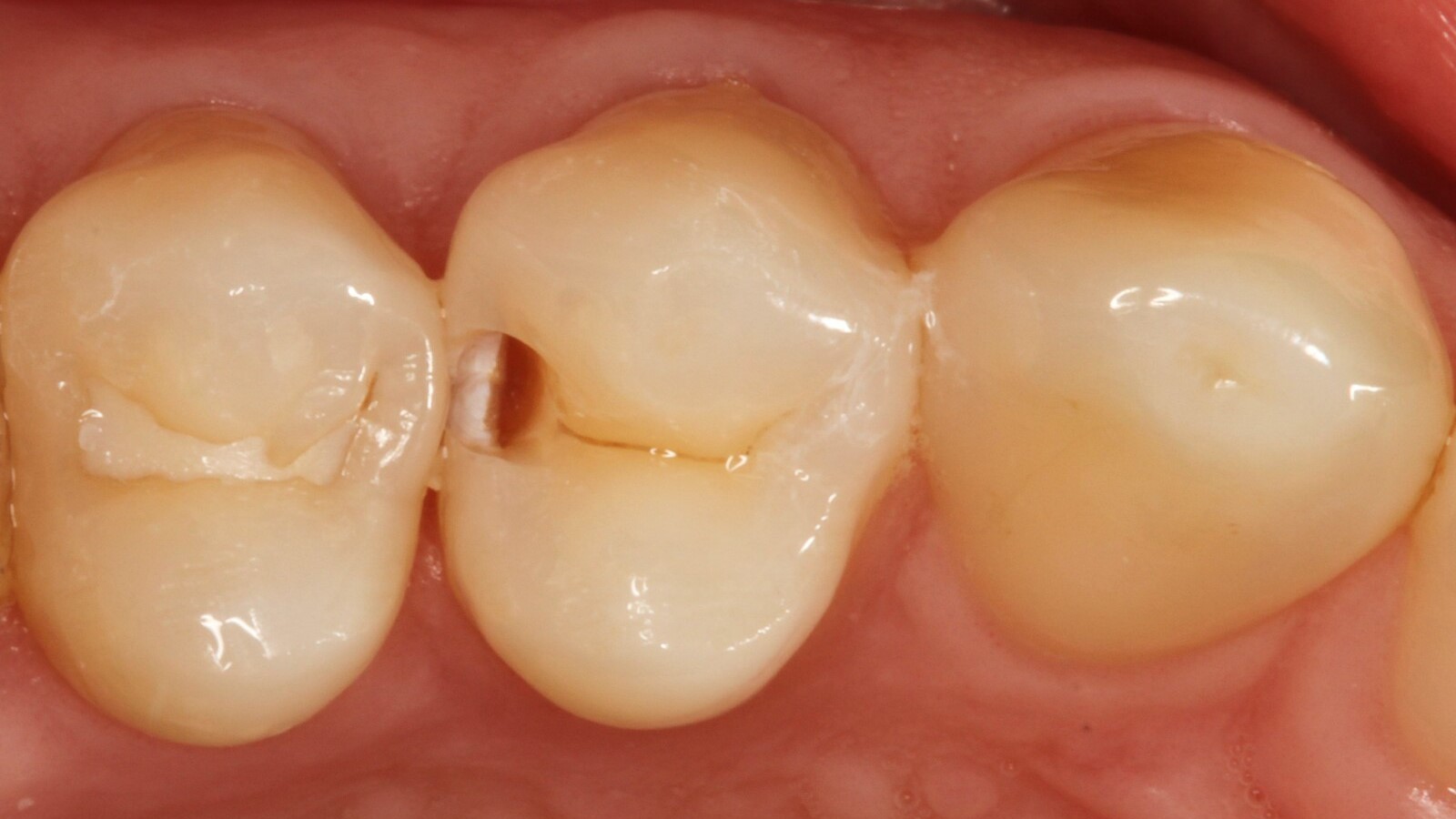
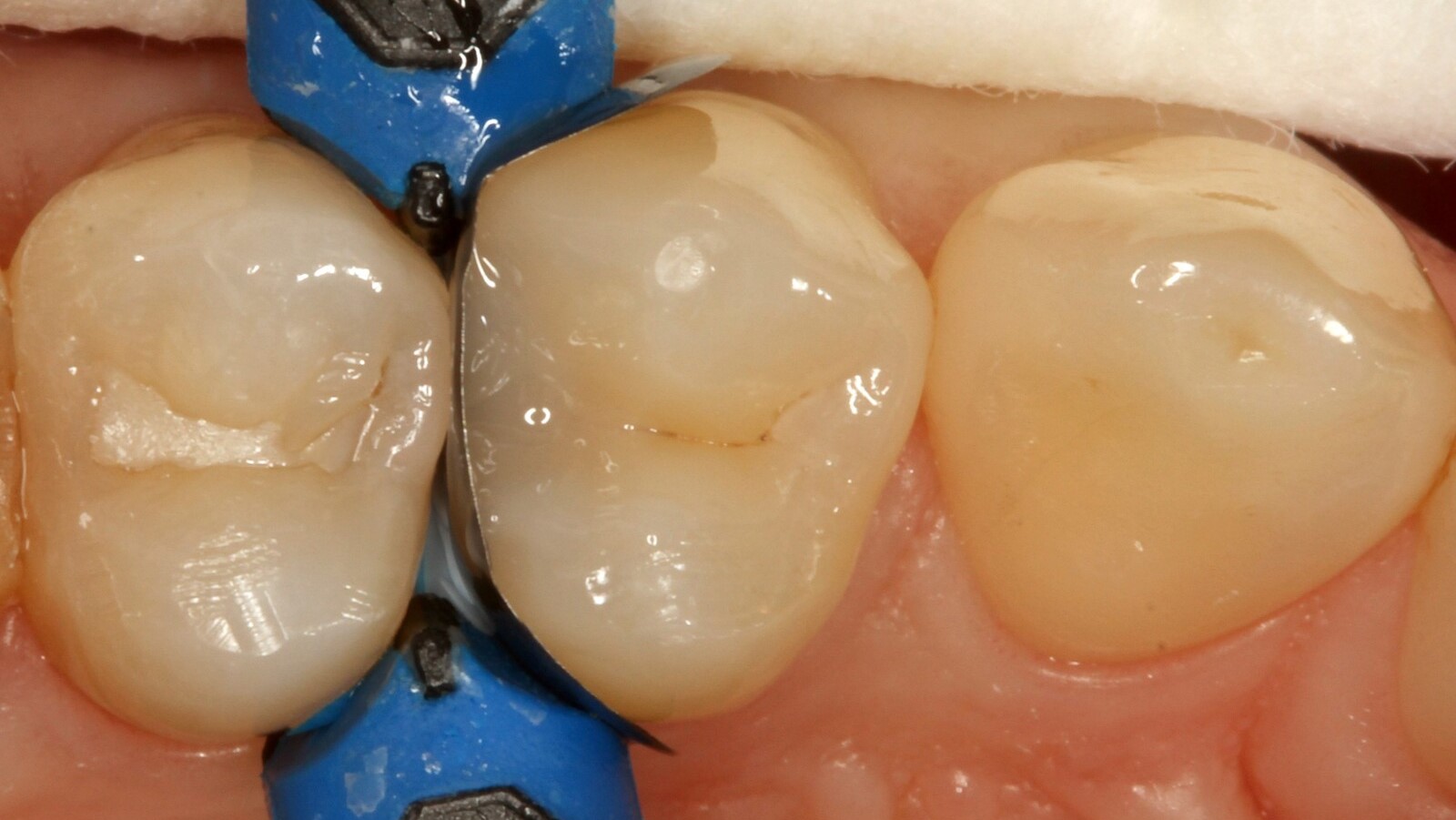
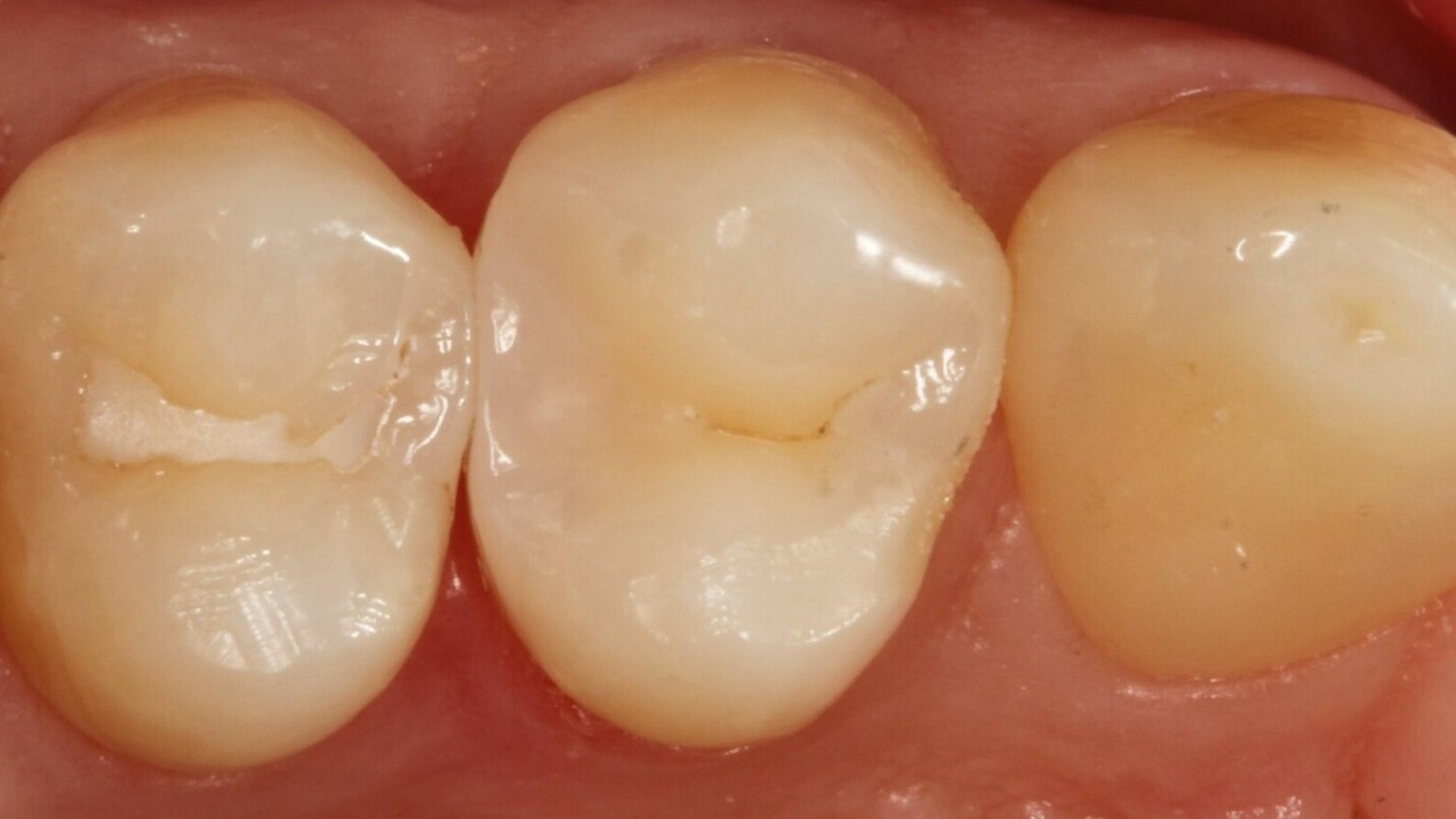
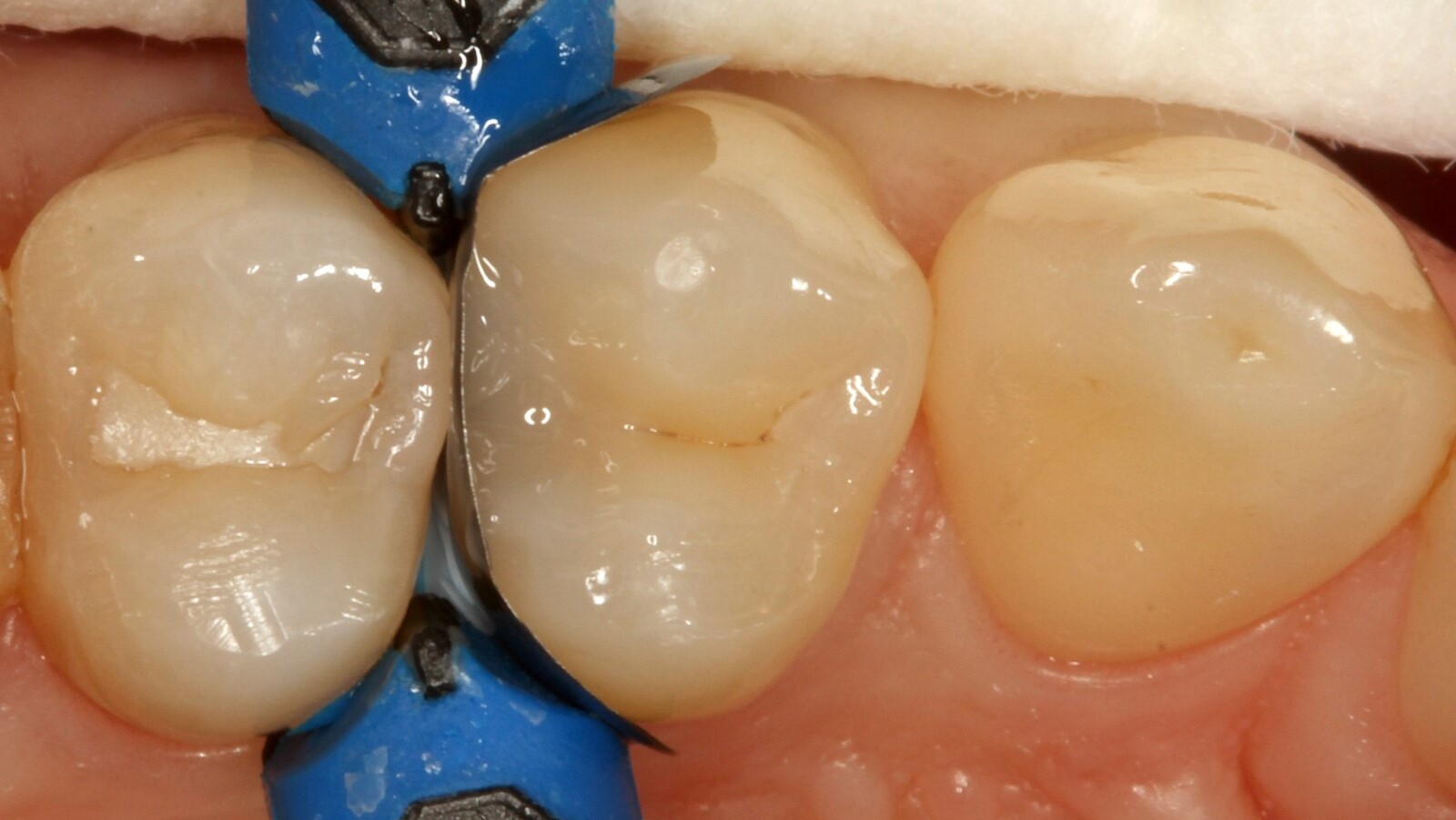
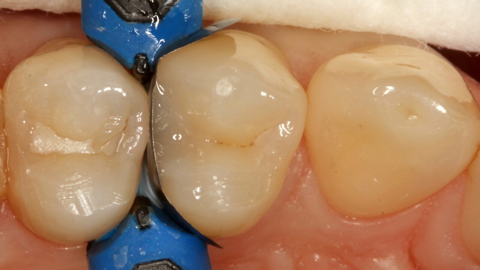
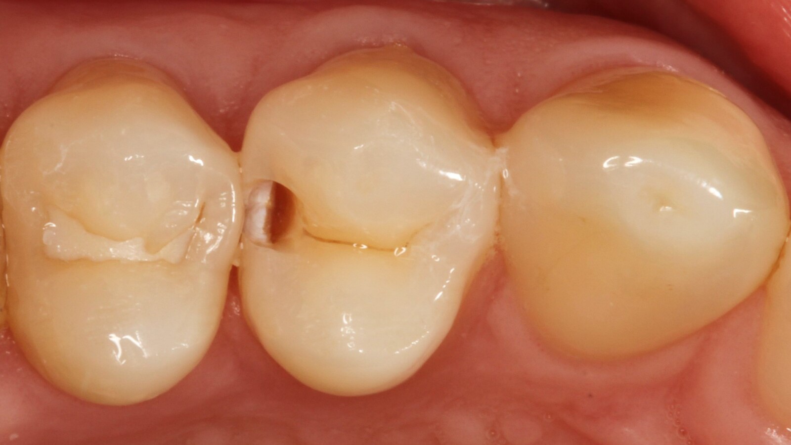
Dr Claus-Peter Ernst, dentiste et professeur adjoint à l'hôpital universitaire de l'Université Johannes Gutenberg à Mayence (Allemagne), a utilisé Venus Bulk Flow ONE pour traiter les caries interproximales d'un patient sur la paroi distale de la première prémolaire maxillaire gauche. Ce cas illustre la polyvalence et la facilité d'utilisation de Venus Bulk Flow ONE, ce qui en fait un excellent choix pour toute une série d'indications cliniques, tout en offrant une résistance et une esthétique exceptionnelles.
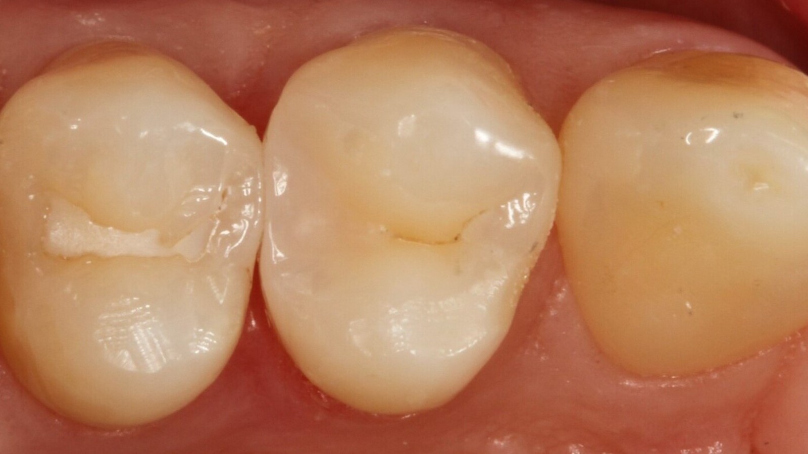
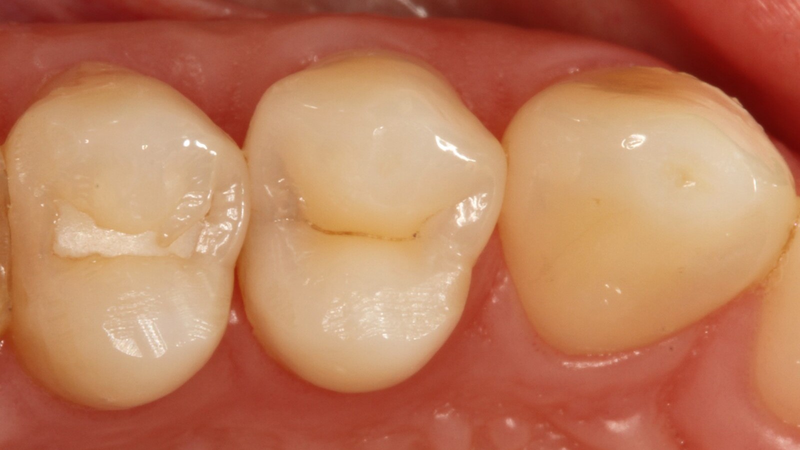
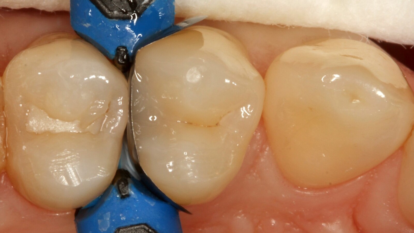
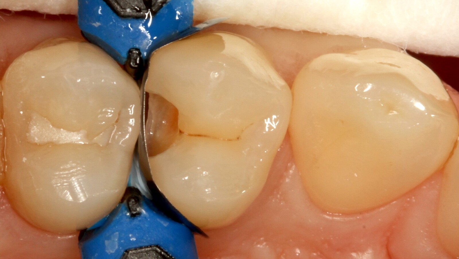
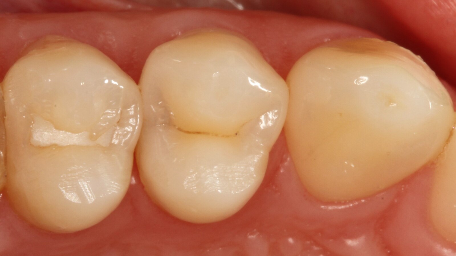
Le professeur Ernst a d'abord identifié les caries non visibles et a ouvert la lésion carieuse pour montrer le problème au patient (Fig. 1-2). Il a ensuite excavé la carie, préparé la cavité et placé une matrice sectionnelle (Fig. 3) avant de sceller la cavité avec de l'adhésif (Fig. 4). En une seule étape, il a rempli la cavité avec Venus Bulk Flow ONE (Fig. 5). Une fois la restauration terminée, le Pr Ernst l'a polie (Fig. 6) et a pris une radiographie de contrôle, qui montre également l'excellente radiopacité de Venus Bulk Flow ONE (Fig. 7).
Venus Bulk Flow One est un composite polyvalent avec une large gamme d'indications cliniques. Il peut être utilisé pour les restaurations directes de classe I, II, III et V, la réparation des restaurations directes et indirectes, le revêtement de la première couche des cavités de classe I et II, l'attelle des dents avec des récessions parodontales et le scellement des fissures étendues. Sa viscosité et son écoulement contrôlé en font un excellent choix pour la réalisation d'attelles sur des dents avec des récessions à la suite d'un traumatisme ou d'événements parodontaux. En outre, sa capacité à fournir une couche supplémentaire de protection à la surface de la dent en fait une excellente option pour le scellement des sillons. Venus Bulk Flow ONE offre aux dentistes des restaurations durables grâce à sa faible contrainte de rétraction, sa grande résistance à la flexion et à l'usure.
L'un des principaux avantages de Venus Bulk Flow One est son processus d'application en une seule étape, qui permet de gagner du temps et de garantir des résultats cohérents. Ce composite ne nécessite pas de stratification, ce qui facilite son application en une seule étape. Venus Bulk Flow One peut être appliqué en couches allant jusqu'à 4 mm à l'aide de la technique Bulk Filling ou Bulk & Body. Le composite est facile à mettre en place grâce à son faible pouvoir adhésif et à son écoulement contrôlé. Une fois placé, le composite peut être polymérisé à l'aide d'une unité de photopolymérisation pour compléter le processus de restauration.
La profondeur de polymérisation de Venus Bulk Flow One peut atteindre 4 mm et le temps de polymérisation est de 20 secondes. Il est recommandé d'utiliser une unité de photopolymérisation appropriée (par exemple Translux Wave) qui couvre un spectre de longueur d'onde de 450-480 nm et émet une puissance lumineuse de l'ordre de 1550-600 mW/cm².
Manager Corporate Communications
Matthias Brehmke
Vous souhaitez réduire le temps passé au fauteuil tout en réalisant des restaurations antérieures et postérieures sans effort, uniquement en stratification monochromatique ?
Avec les quatre nouvelles teintes Venus Pearl Pure, vous répondrez aux exigences de vos patients tout en simplifiant au maximum votre flux de travail .