Téléphone
+31 (0) 23 543 42 5004.11.2024
| "Des propriétés mécaniques parfaites et un assortiment de couleurs facile à réaliser. Un produit vraiment facile à utiliser." |
| CAS CLINIQUE |
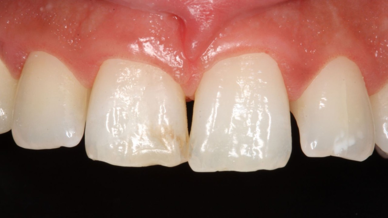
Situation initiale : Reconstruction esthétique des incisives supérieures souhaitée.
Choix de la teinte avec les teintes Venus Pearl Pure Shades.
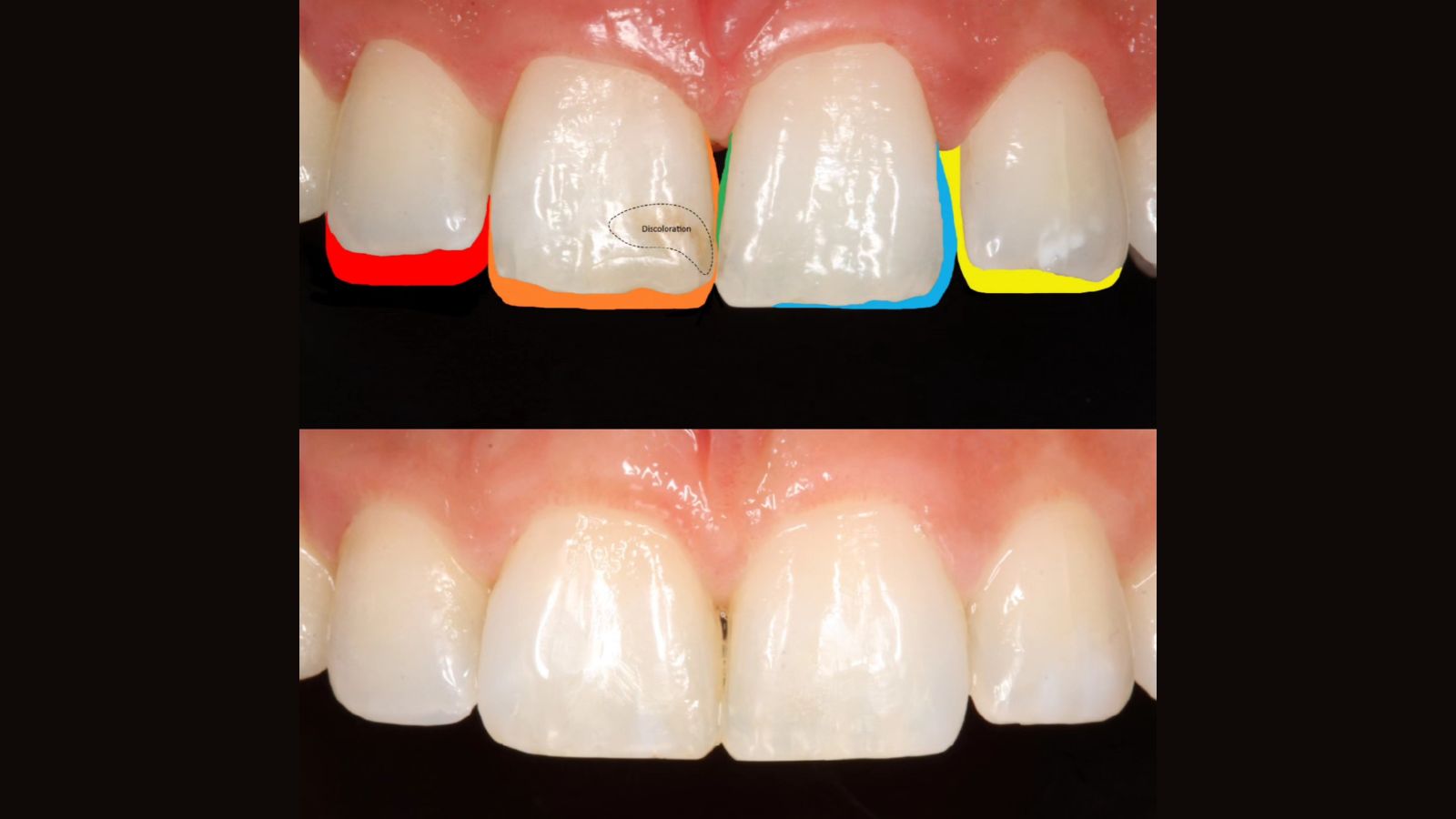
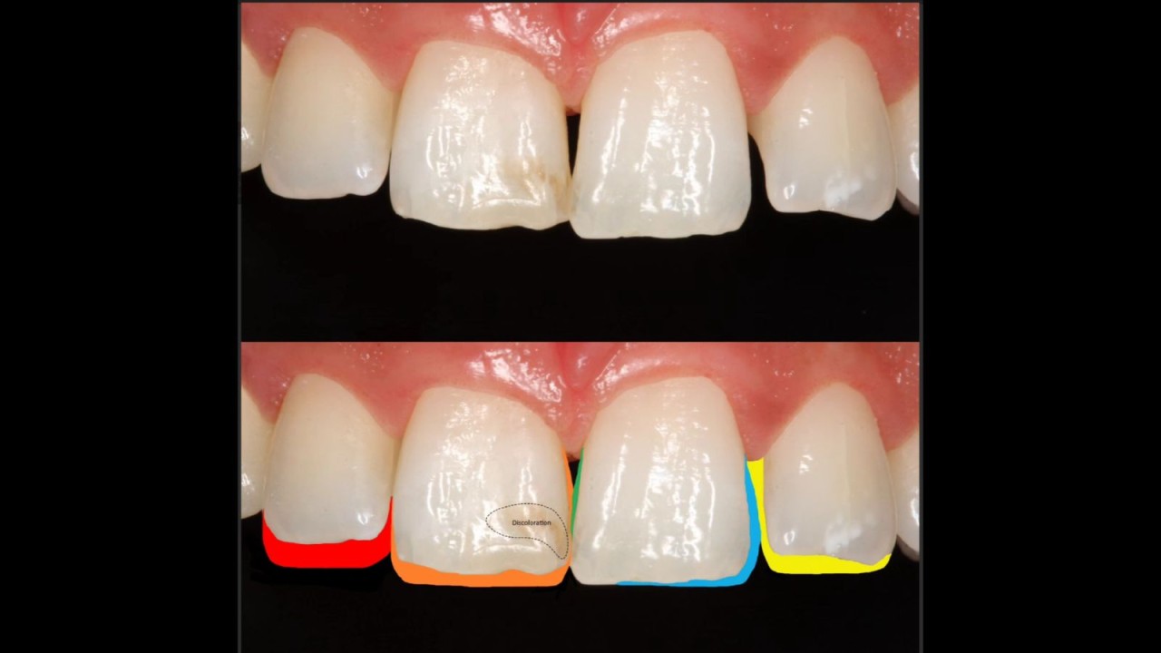
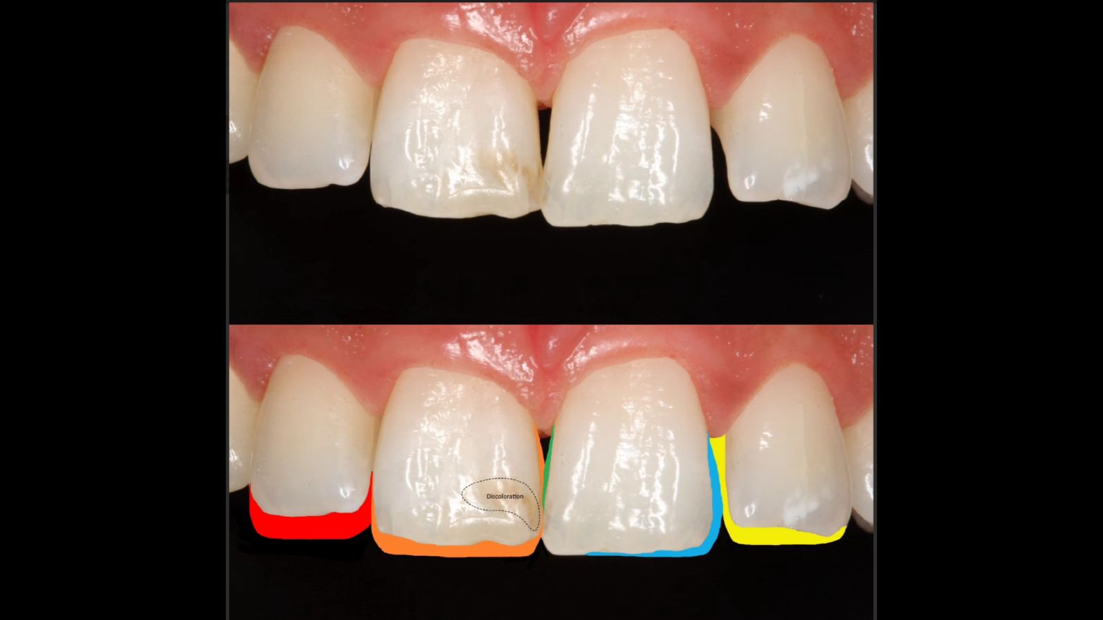
Cartographie des zones nécessitant une reconstruction composite.
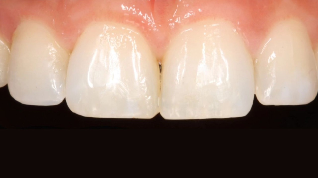
Reconstruction esthétique finale monochromatique des incisives.
Résultat final : Reconstruction esthétique monochromatique mini-invasive des incisives supérieures.
Produits utilisés
Découvre les produits Kulzer utilisés pour ce cas clinique et cliquez sur le lien pour en savoir plus:
Instructions pour utilisation:
Veuillez également vous référer au mode d'emploi (IFU) correspondant lors de l'utilisation des dispositifs médicaux : Accédez au portail IFUProduits associés