Téléphone
+31 (0) 23 543 42 5029.07.2024
| Quelques mots sur l'utilisation de Venus Pearl Pure Shades : |
| « Le patient est très heureux et satisfait de la correspondance finale des teintes et des contours. |
| "Les 4 teintes sont pratiques et faciles à utiliser. Elles s'estompent très bien et se tiennent bien. » |
| CAS CLINIQUE |
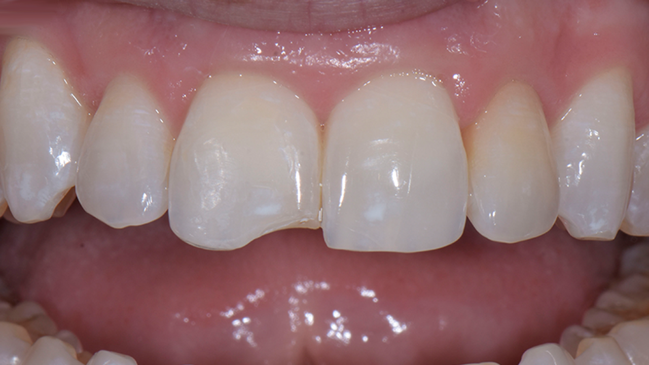
Situation initiale.
Mordançage de la dent 11 sous isolation
Première couche avec Venus Pearl LIGHT
Lissage de la couche labiale
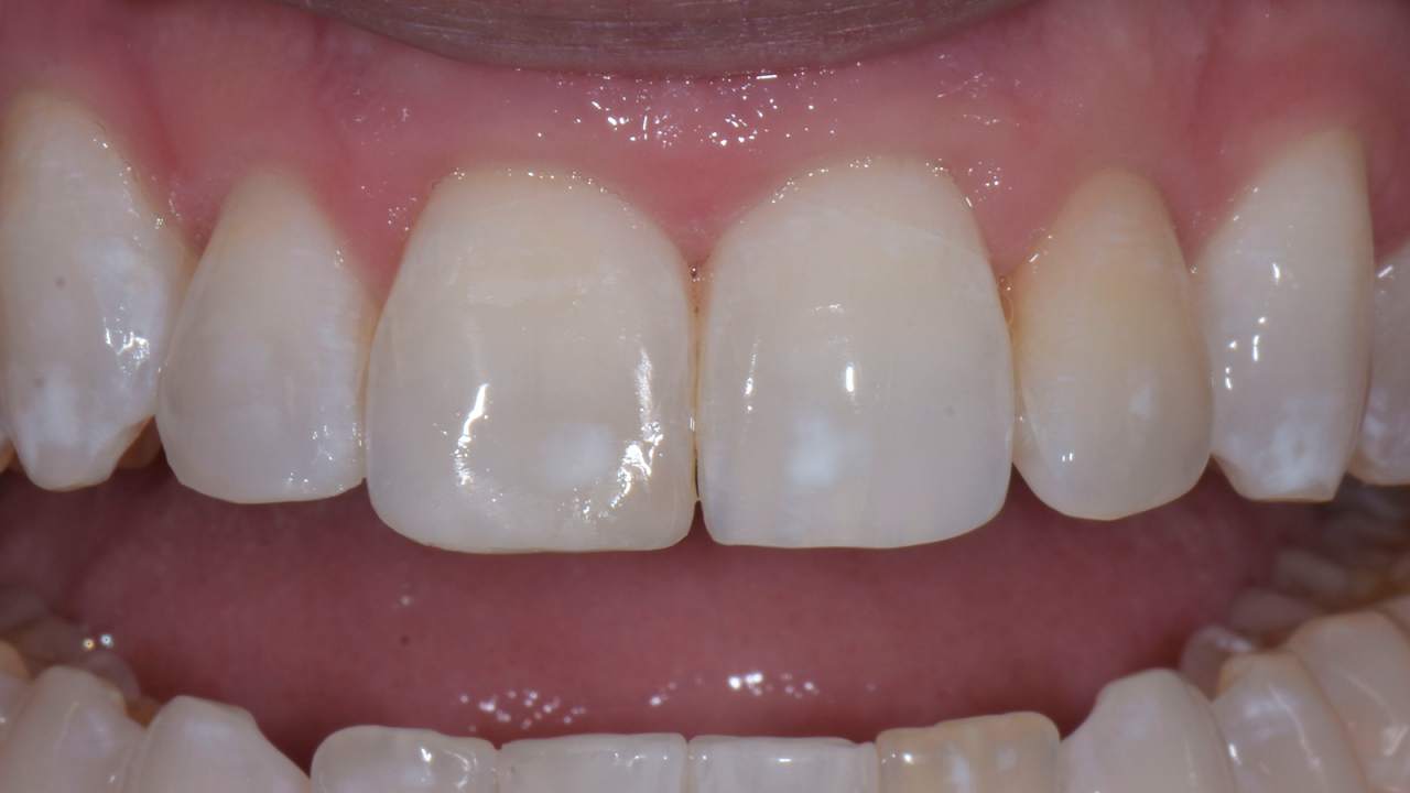
Résultat final de la correction cosmétique de la dent 12 et de la restauration de classe IV de la dent 11.
Produits Utilisés
Découvrez les produits Kulzer présentés dans ce dossier et suivez les liens pour plus d'informations :
Instructions pour utilisation:
Veuillez également vous référer au mode d'emploi (IFU) correspondant lors de l'utilisation des dispositifs médicaux : Accédez au portail IFUProduits associés