Téléphone
+31 (0) 23 543 42 5026.06.2024
| CAS CLINIQUE |
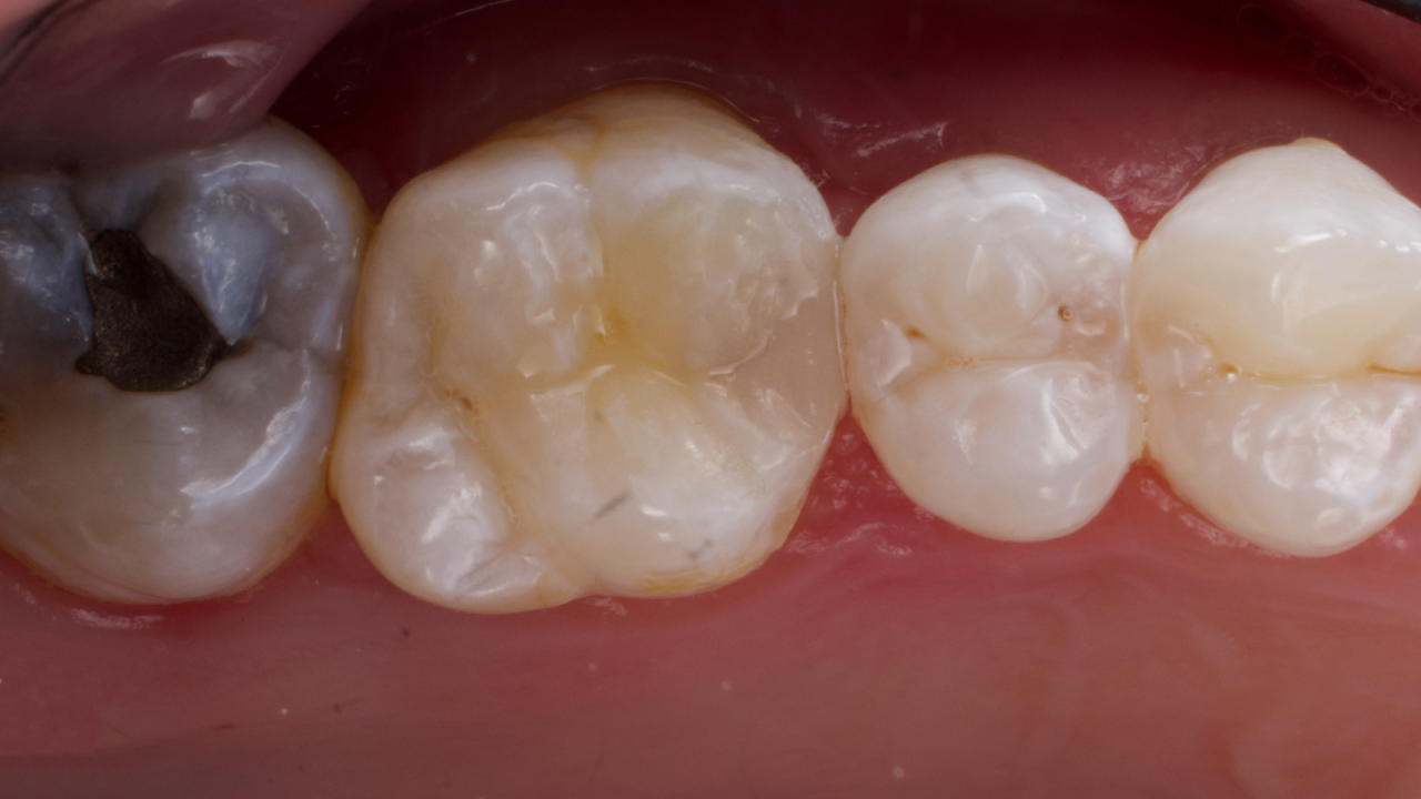
Restauration insuffisante à l’amalgame de classe II sur la molaire supérieure.
Cavité de classe II préparée.
Restauration composite monochromatique finale sur la première molaire supérieure avec Venus Pearl LIGHT.
Produits Utilisés
Découvrez les produits Kulzer présentés dans ce cas et suivez les liens pour plus d'informations :
Venus Pearl Pure Shades
Produits associés
Instructions pour utilisation:
Veuillez également vous référer au mode d'emploi (IFU) correspondant lors de l'utilisation des dispositifs médicaux : Accédez au portail IFUProduits associés