Téléphone
+31 (0) 23 543 42 5031.10.2024
| "Un sourire uniforme, symétrique et beaucoup plus beau. La patiente est très heureuse. Réalisé avec une seule teinte de composite." |
| CAS CLINIQUE |
Situation initiale : Réhabilitation esthétique d'un encombrement dans les secteurs antérieurs maxillaire et mandibulaire avec Venus Pearl LIGHT et Venus Color.
Maquette numérique des dents maxillaires.
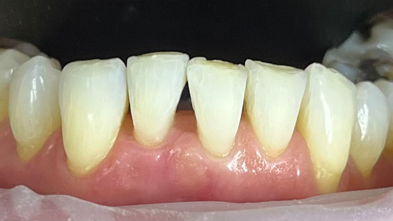
Secteur antéro-inférieur après l'alignement.
Situation après alignement et blanchiment.
Reconstruction dent par dent avec du composite.
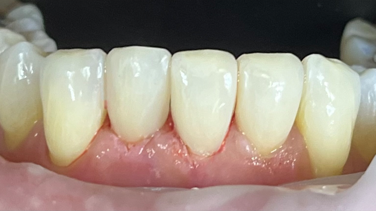
Résultat final du secteur inférieur.
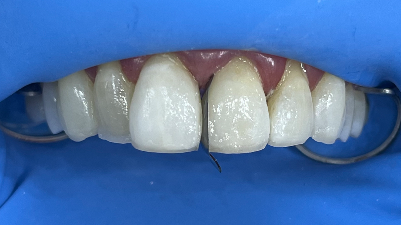
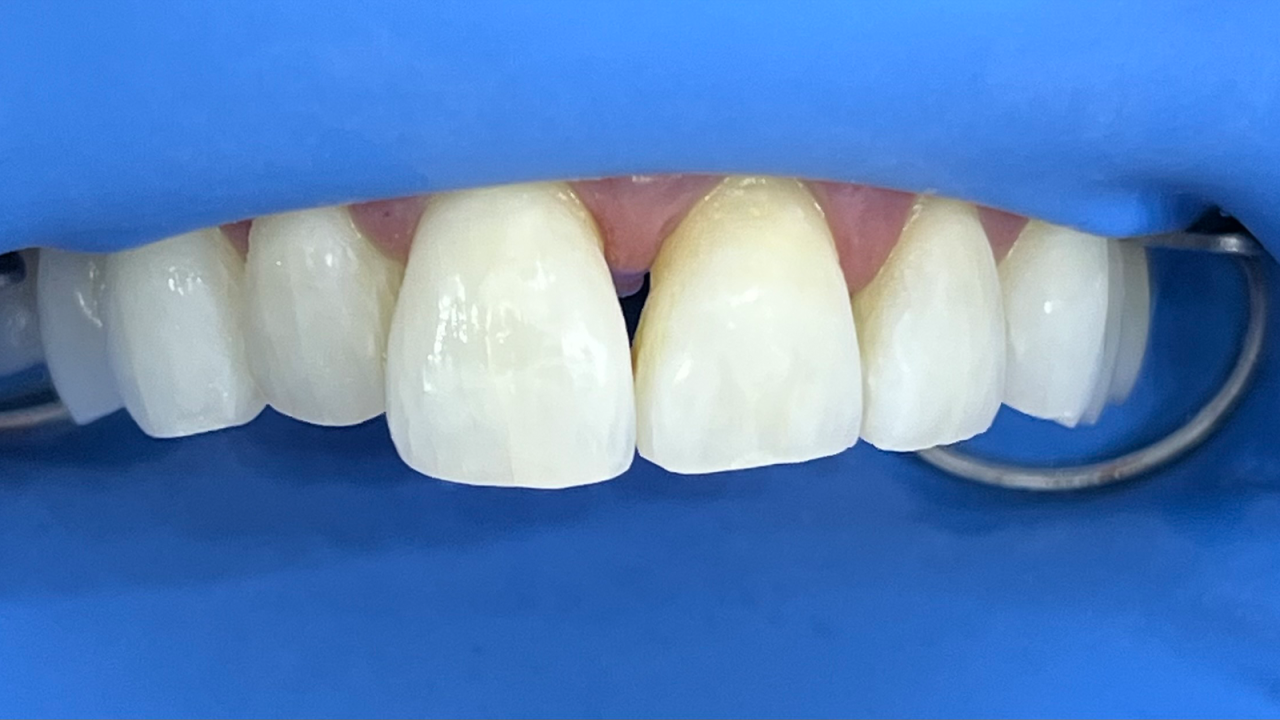
Isolation des dents supérieures avec une digue dentaire.
Reconstruction dent par dent.
Résultat final : Réhabilitation esthétique des secteurs antérieurs maxillaire et mandibulaire après un prétraitement par alignement et blanchiment.
Produits utilisés
Découvrez les produits utilisés pour ce cas clinique et cliquez sur les liens suivants pour en savoir plus:
Instructions pour utilisation:
Veuillez également vous référer au mode d'emploi (IFU) correspondant lors de l'utilisation des dispositifs médicaux : Accédez au portail IFUProduits associés