Téléphone
+31 (0) 23 543 42 5010.10.2024
| “La patiente est satisfaite de son nouveau sourire et l'intégration du composite est correcte. Les teintes simplifiées Venus Pearl Pure Shades donnent un résultat satisfaisant et rapide.” |
| CAS CLINIQUE |
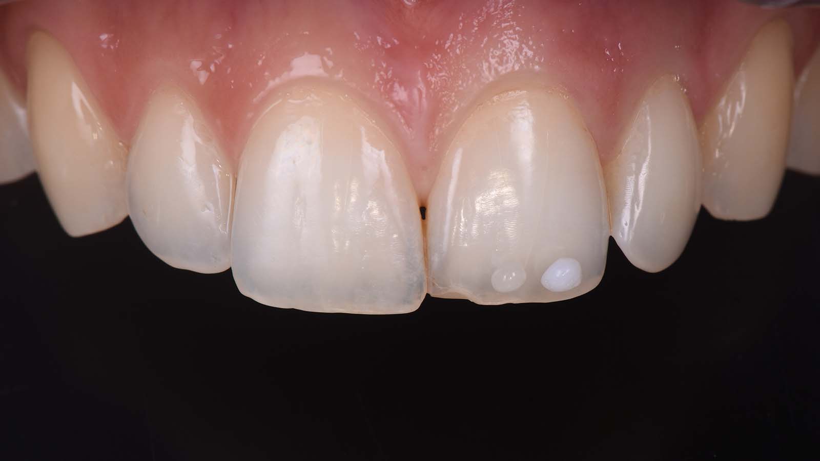
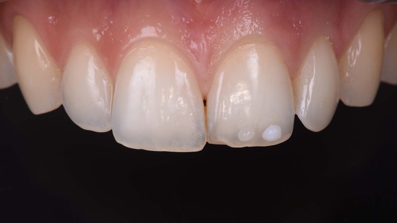
Dr Mokhtari: “La patiente est venue à mon cabinet pour remplacer l'ancienne obturation en composite de son incisive centrale supérieure gauche, car elle n'aimait pas la forme et la couleur de la restauration.
n observe une différence de longueur et de proportion entre les deux incisives centrales. Le composite semble trop court et la couleur de la restauration ne correspond pas au reste de la dent.”
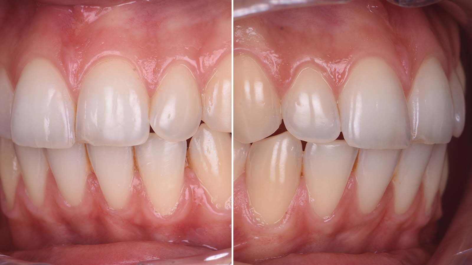
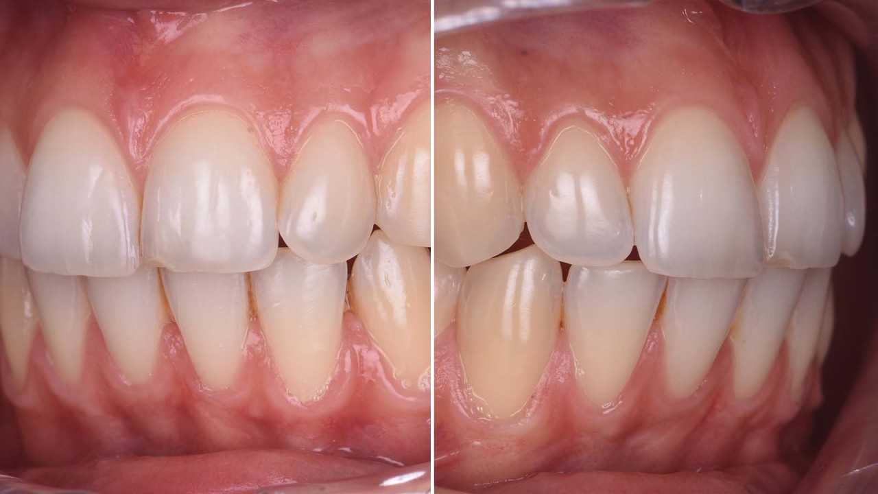
Situation initiale:
Vues latérales de la situation initiale.
La sélection de la teinte du composite avant la mise en place du champ opératoire permet d'éviter la déshydratation des dents et la modification de la teinte. Le choix s'est porté sur Venus Pearl LIGHT pour une stratification monochromatique.
Mise en place du champ opératoire. Une digue en caoutchouc épaisse IVORY est utilisée. Même si nous ne travaillons que sur la 21, nous utilisons une digue plurale comprenant les 6 antérieures. Cette vision large aide l’opérateur à respecter la symétrie et les proportions.
Retrait de l'ancien composite. Un chanfrein est créé à la limite de la restauration précédente. Ce chanfrein facilitera la transition de la lumière et l'adaptation de la teinte du nouveau composite à la dent naturelle.
La protection des dents adjacentes est nécessaire pour le traitement de la dent afin d’empêcher le composite de se lier aux dents adjacentes.
Préparation de la surface de la dent : Sablage à l’oxyde d’aluminium 50μm.
Mordançage avec iBOND Etch Gel : acide orthophosphorique à 35 % pendant 20 secondes.
Appliquer iBOND Universal.
Sur les petites restaurations, la construction de la paroi palatine peut être réalisée simplement à l'aide d'une matrice transparente tenue par le pouce de l'opérateur.
Cette astuce simple permet de recréer rapidement une forme générale qui sera améliorée lors du polissage.
Vue rapprochée de la paroi palatine : la forme est irrégulière mais le but est seulement de donner un modèle pour la reconstitution du composite. Notre composite Venus PURE LIGHT est utilisé.
Compléter la reconstitution avec le même composite Venus PURE LIGHT . Le crayon permet au composite d'épouser doucement la surface de la dent et d'éviter les irrégularités et les bulles.
La reconstitution du composite est terminée. La forme est correcte mais le polissage et la finition aideront à obtenir un résultat plus naturel.
Commencer la séquence de polissage avec des disques pop on qui corrigeront la forme et la texture de la surface. Les disques sont utilisés sur le bord incisif et la face vestibulaire de la dent.
Polissage du composite avec le kit de polissage Venus Supra : premier polissoir pour polir la surface vestibulaire et créer des reliefs.
Pré-polissage de la face vestibulaire avec Le Twist Disk.
Brillantage du composite avec le Twist Disk du kit de polissage Venus Supra
Utilisation d’un strip pour polir les zones proximales du composite. Cette étape est essentielle pour obtenir une surface proximale douce et prévenir l’inflammation de la papille
Fin du polissage avant de retirer le champ opératoire.
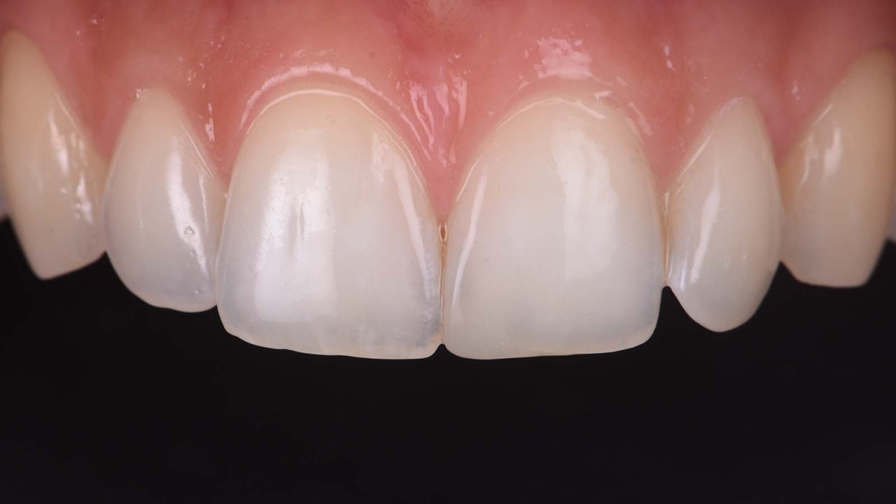
Résultat post-opératoire immédiat après polissage et retrait du champ opératoire. Le résultat immédiat est satisfaisant mais il faut attendre la réhydratation des dents.
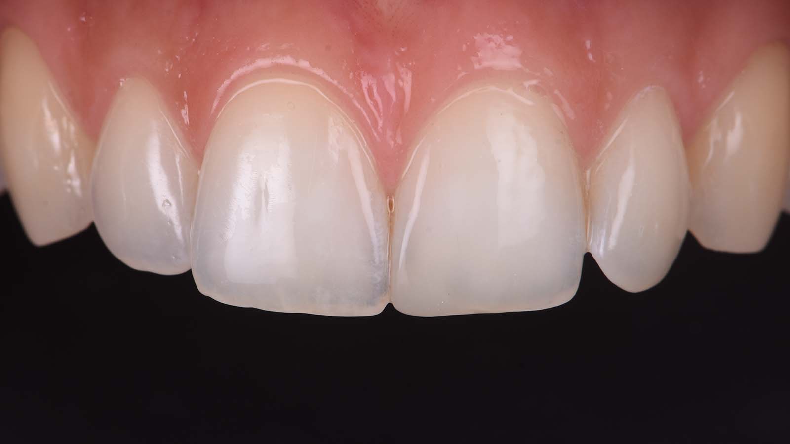
Résultat final après un mois : La patiente est satisfaite de son nouveau sourire et l’intégration du composite est correcte.
L’utilisation de teintes composites simplifiées donne un résultat rapide et satisfaisant.
Produits Utilisés
Découvrez les produits Kulzer présentés dans ce cas clinique et cliquez sur les liens pour plus d'informations :
Instructions pour utilisation:
Veuillez également vous référer au mode d'emploi (IFU) correspondant lors de l'utilisation des dispositifs médicaux : Accédez au portail IFUProduits associés