Téléphone
+31 (0) 23 543 42 5028.06.2024
| "Facile à manipuler, sculpter et polir." |
| CAS CLINIQUE |
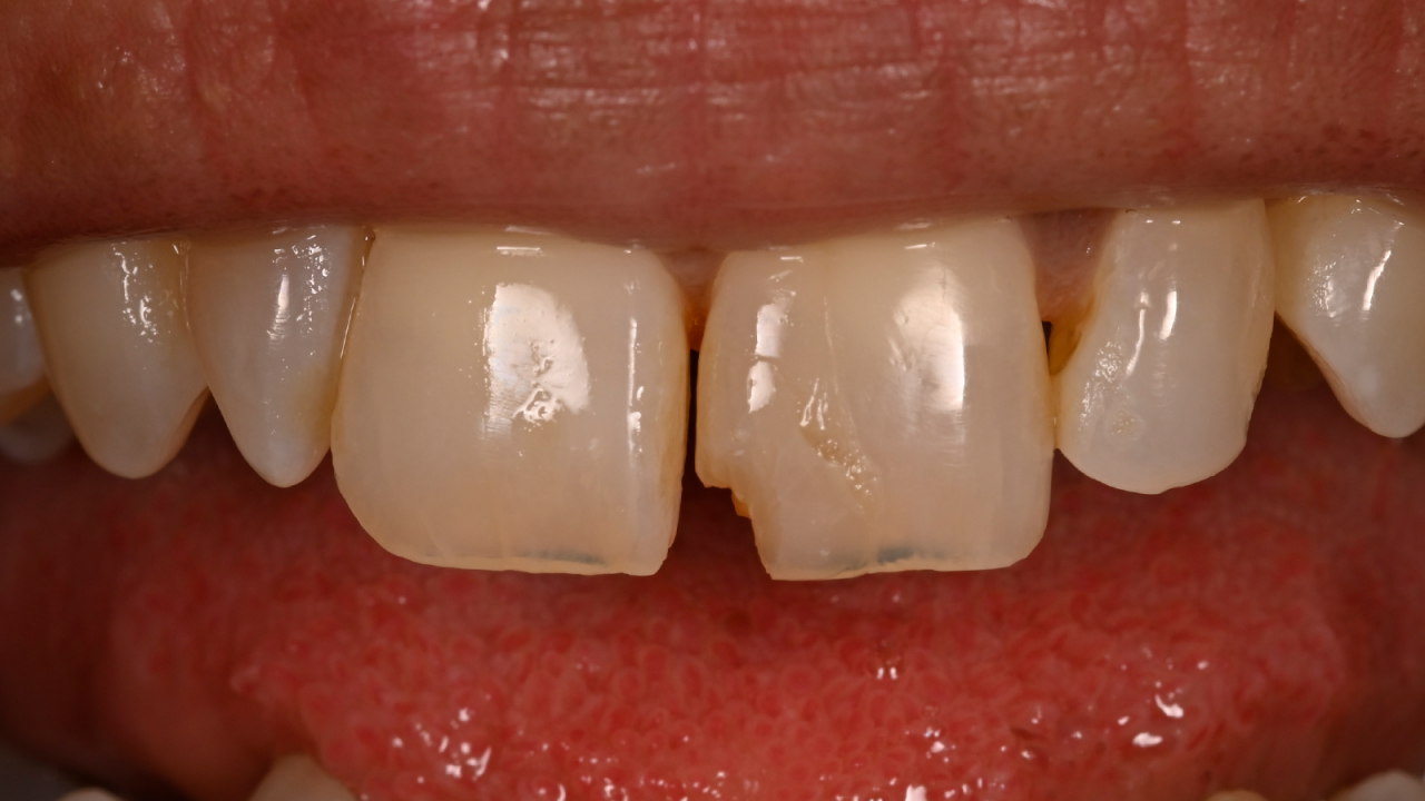
Situation intiale après l'accident dentaire.
Isolation de la dent 21.
Cavité classe IV préparée.
Restauration de la dent 21.
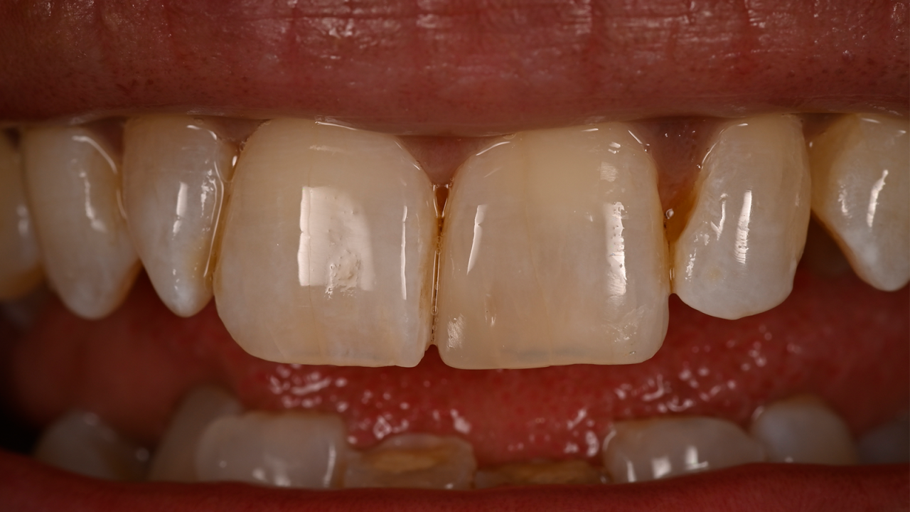
Résultat final après restauration monochromatique de classe IV de la dent 21 avec Venus Pearl MEDIUM.
Produits utilisés
Découvrez les produits Kulzer présentés dans ce cas et suivez les liens pour plus d'informations :
Venus Pearl Pure Shades
Produits associés
Instructions pour utilisation:
Veuillez également vous référer au mode d'emploi (IFU) correspondant lors de l'utilisation des dispositifs médicaux : Accédez au portail IFUProduits associés