Téléphone
+31 (0) 23 543 42 5001.06.2024
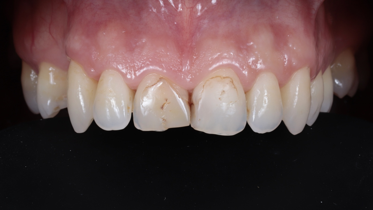
Un cas clinique utilisant le composite simplifiant Venus Pearl Pure Shades.
Le Dr Riccardo Baratto, dentiste esthétique, présente une étude de cas détaillée de la restauration de deux incisives centrales (dents 11 et 21) à l'aide du composite Venus Pearl Pure Shade en stratification monochromatique. Cet article décrit le protocole étape par étape, souligne la polyvalence du produit et montre les résultats obtenus avec une technique très simplifiée utilisant une approche de stratification monochromatique...
| CAS CLINIQUE |
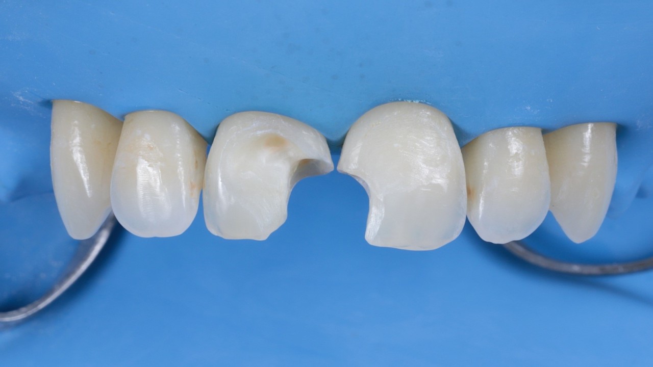
Le patient présentait des obturations en composite insuffisantes sur les dents 11 et 21. L'objectif était de restaurer les incisives centrales avec une teinte unique afin d'obtenir une apparence naturelle et esthétique.
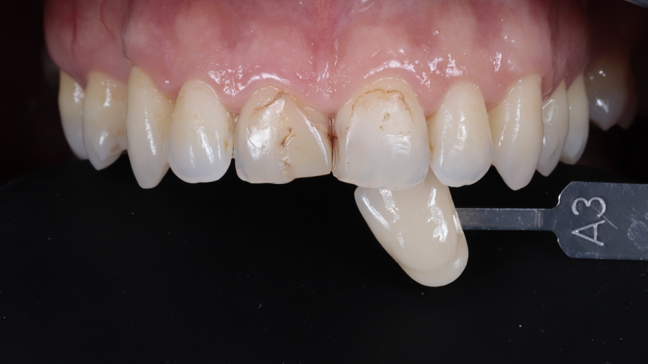
Le choix de la teinte est facilité par Venus Pure Shades : il suffit de choisir entre LIGHT, MEDIUM, DARK et BLEACH. L'adaptation de la teinte de Venus Pearl permet une intégration parfaite dans la teinte naturelle de la dent. En utilisant l'échelle de conversion, la teinte MEDIUM (correspondant à VITA®* A3) a été sélectionnée pour correspondre aux dents naturelles de ce patient.
| *Vita® est une marque déposée de VITA Zahnfabrik. |
Le champ opératoire a été isolé afin de créer un environnement de travail propre et sec.
L'ancien composite et les tissus cariés ont été soigneusement retirés pour préparer les dents à la nouvelle restauration.
Les dents ont été mordancées avec de l'acide orthophosphorique à 35 % . Pour l'adhésion nous avons utilisé notre adhésif iBond Universal (Kulzer).
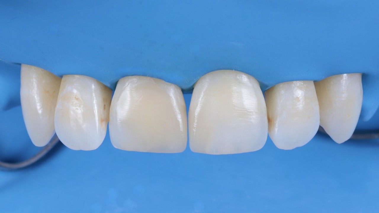
Venus Pearl MEDIUM a été utilisé pour reconstruire les dents selon une technique de stratification à teinte unique. Cette approche permet d'accélérer le protocole de restauration et de réduire considérablement la durée du traitement
Après la reconstruction des dents avec du composite, les restaurations étaient prêtes pour la finition afin d'affiner la forme.
Les restaurations ont été polies sous la digue dentaire.
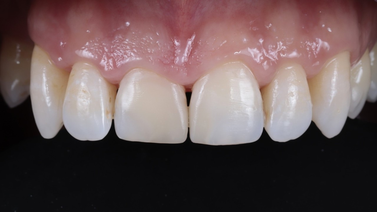
La digue a été retirée et les restaurations polies ont été révélées.
Après réhydratation, les restaurations se sont complètement intégrées au tissu dentaire naturel. Le composite a développé de manière indépendante des zones de translucidité en fonction de l'épaisseur créée, ce qui donne un aspect très esthétique et naturel.
| VENUS PEARL PURE SHADES |
| couvre environ 90% des restaurations antérieures et postérieures |
| AVEC SEULEMENT 4 TEINTES |
| *Vita® est une marque déposée de VITA Zahnfabrik. |
Produits utilisés
Découvrez les produits Kulzer présentés dans ce cas et suivez les liens pour plus d'informations :
Cette étude de cas démontre l'efficacité de Venus Pearl Pure Shades dans la réalisation de restaurations naturelles et esthétiques, comme en témoigne le Dr Riccardo Baratto : "Venus Pearl Pure Shades est un produit fantastique. Il est très polyvalent, facile à utiliser et simplifie de nombreux aspects du processus de restauration. Sa capacité à se fixer indépendamment par rapport à son contour améliore considérablement le processus de prise de teinte."
Les teintes Venus Pearl Pure Shades sont conçues pour les restaurations antérieures et postérieures de tous les jours. La simple sélection de quatre teintes simplifie non seulement la procédure, mais permet également d'obtenir d'excellents résultats dans la stratification monochromatique, tout en réduisant le stress et les erreurs dans la sélection des teintes.
Produits associés
Instructions pour utilisation:
Veuillez également vous référer au mode d'emploi (IFU) correspondant lors de l'utilisation des dispositifs médicaux : Accédez au portail IFUProduits associés