Téléphone
+31 (0) 23 543 42 5021.05.2024
| Citation sur l'utilisation des Venus Pearl Pure Shades en superposition monochromatique : |
| « La malléabilité de Venus Pearl est vraiment bonne. Il ne colle pas à la spatule et adhère bien à la cavité. L’avantage d’avoir moins de masses composites et l’avantage de ne pas avoir à superposer différentes teintes." |
Source: Beta test 2023
| CAS CLINIQUE |
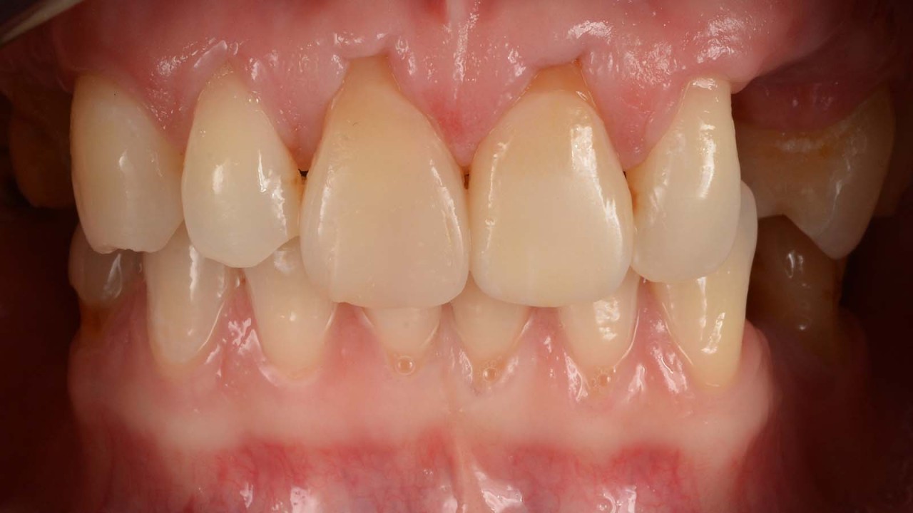
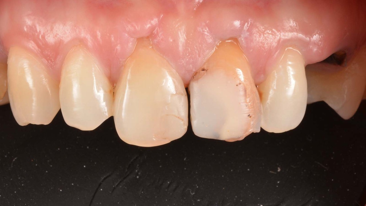
Restauration composite insuffisante au niveau de la dent 11.
Cavité préparée au niveau de la dent 11 avec index en silicone.
Résultat final avec Venus Pearl LIGHT sur la dent 11 en stratification monochromatique (la dent 21 a été restaurée avec une couronne en disilicate de lithium).
Produits Utilisés
Découvrez les produits Kulzer présentés dans ce cas et suivez les liens pour plus d'informations :
Venus Pearl Pure Shades
Produits associés
Instructions pour utilisation:
Veuillez également vous référer au mode d'emploi (IFU) correspondant lors de l'utilisation des dispositifs médicaux : Accédez au portail IFUProduits associés