Pays
Contact
Newsletter
Shop_be
Kulzer Benelux

FR

Prenez part !
Cas clinique du mois

Un autre cas fascinant avec le nouveau Venus Diamond Flow Pure Shades

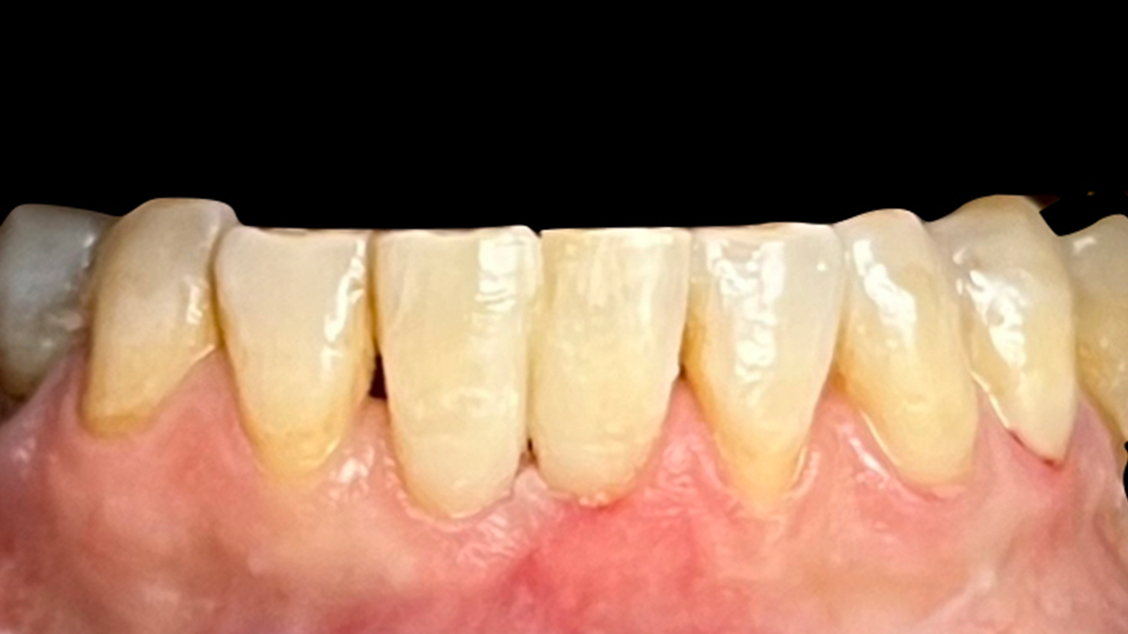
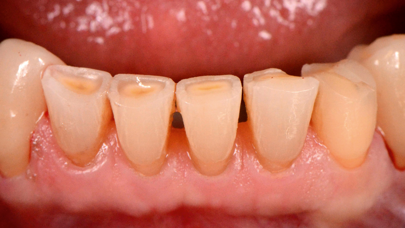
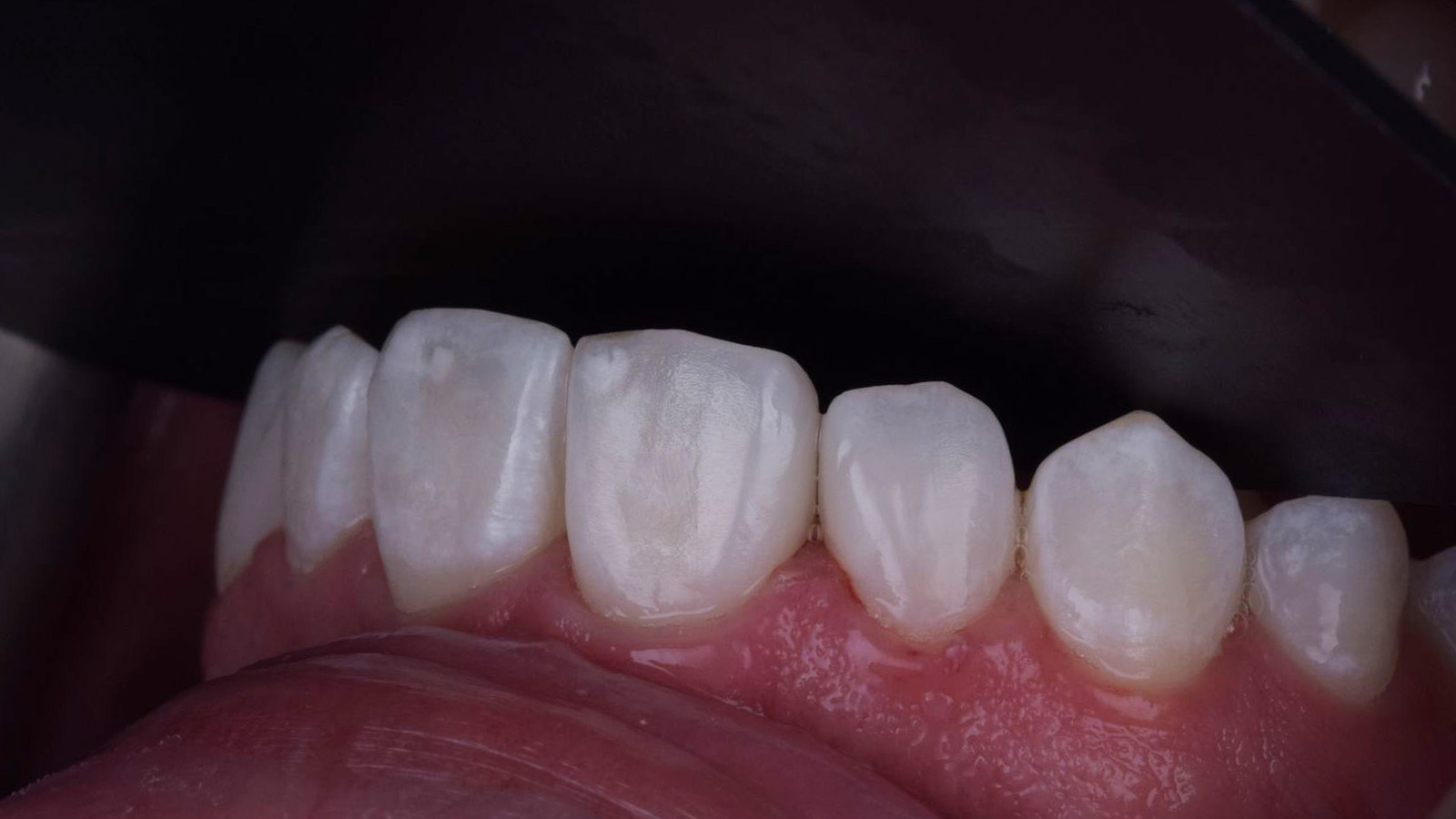
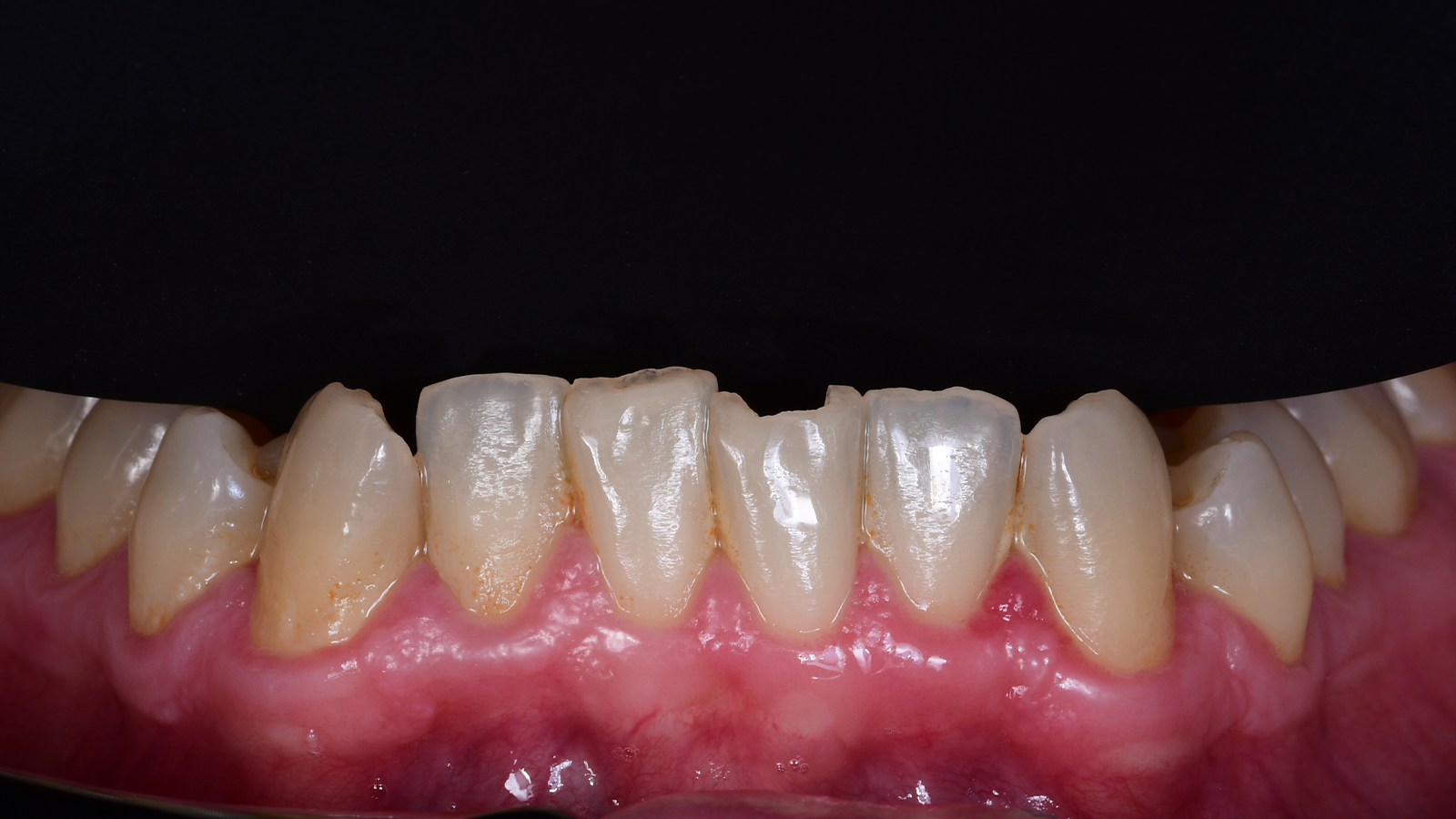
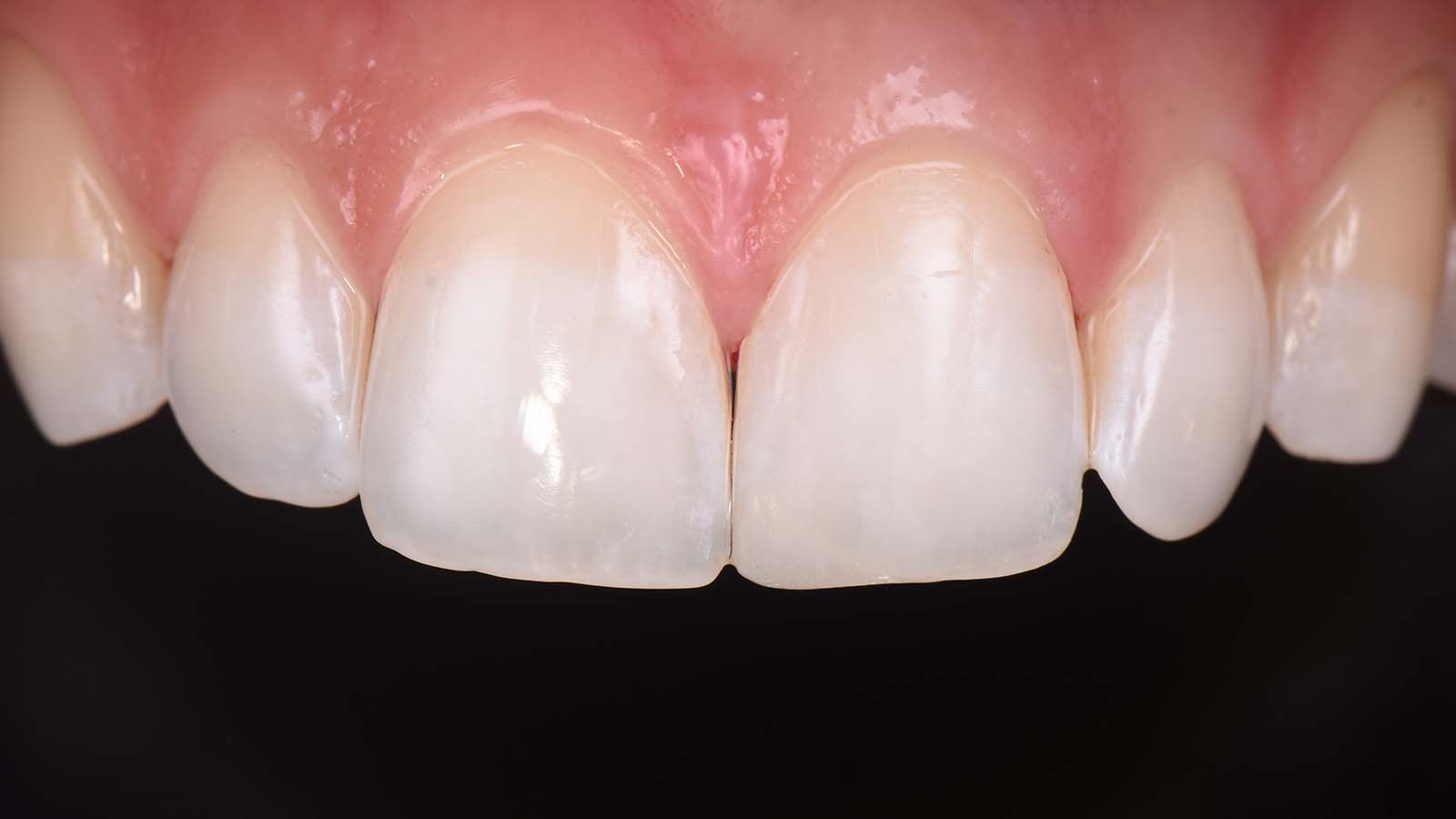
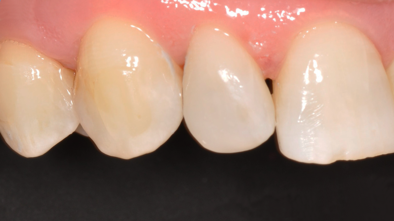
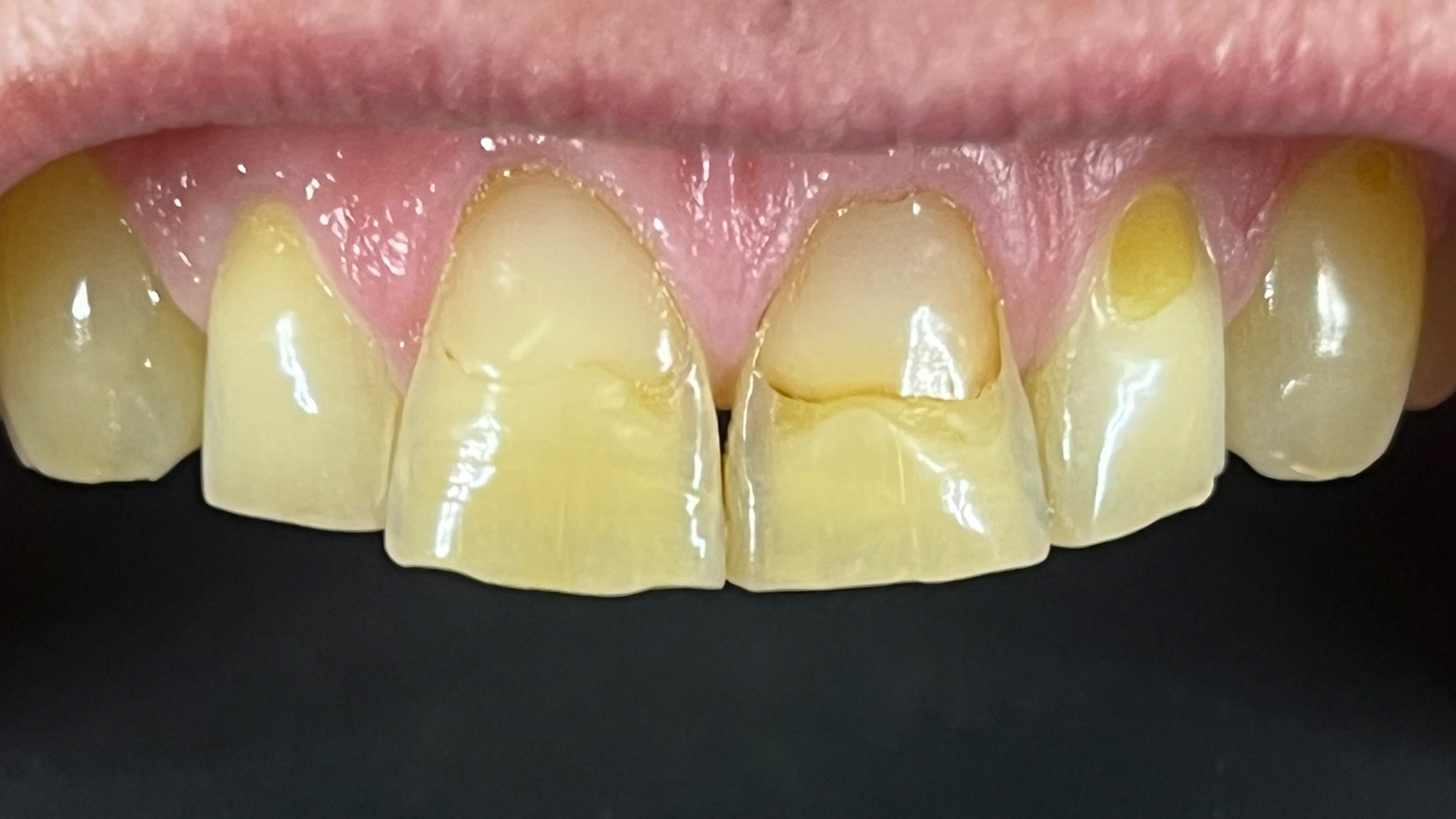
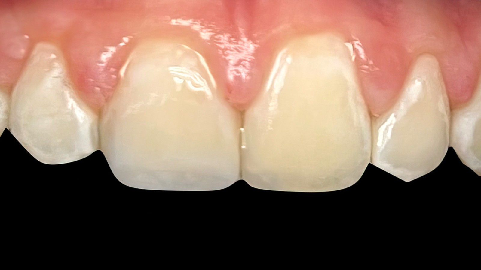
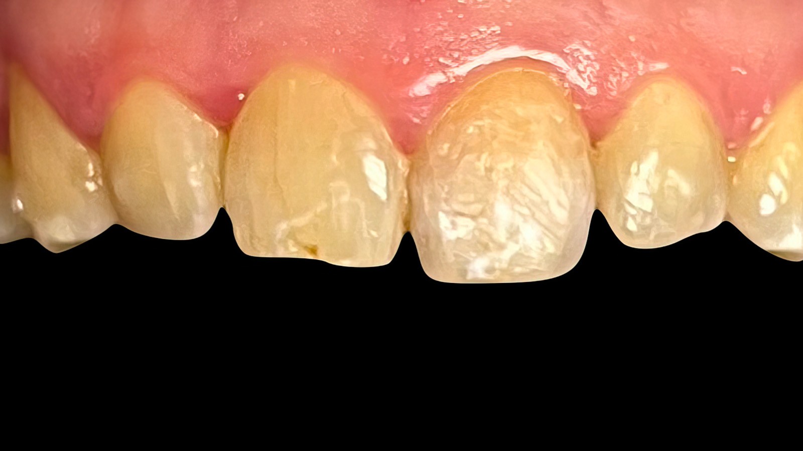
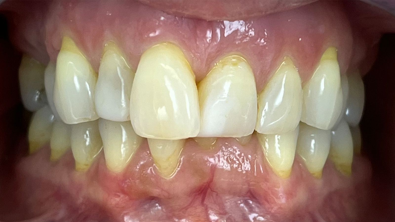
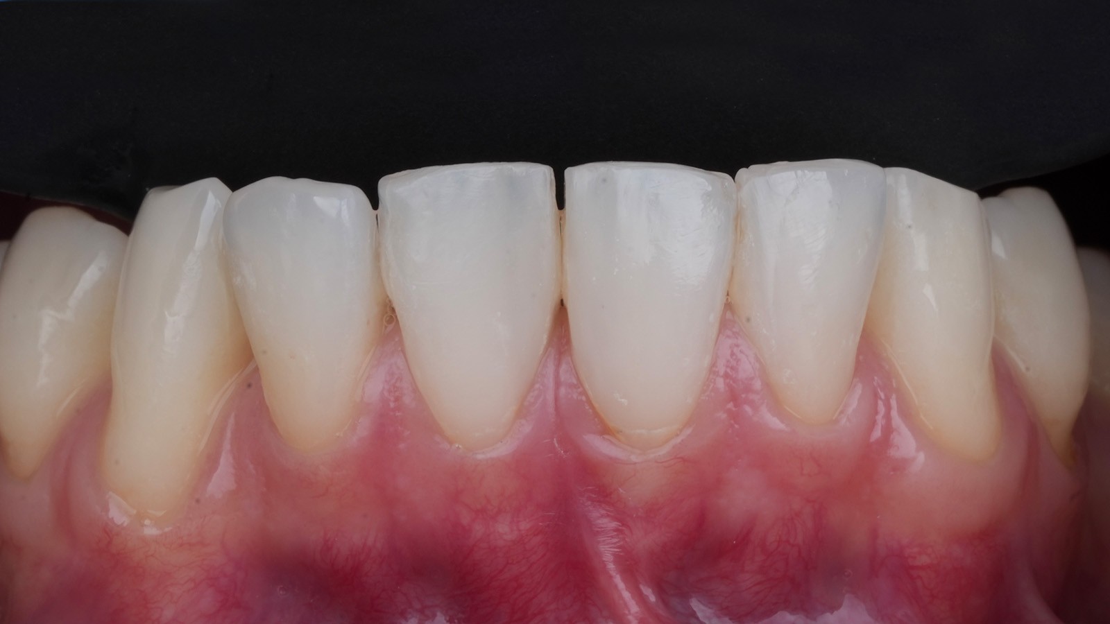
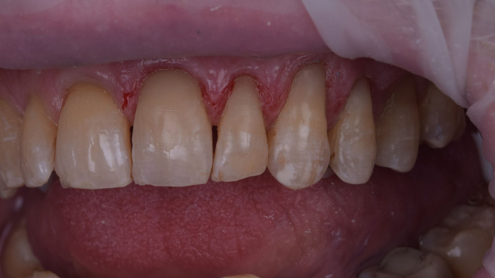
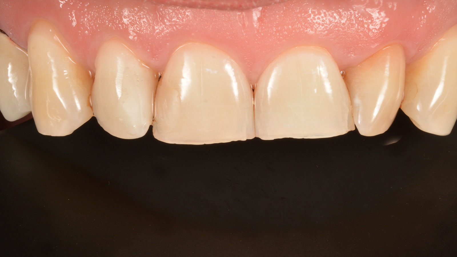
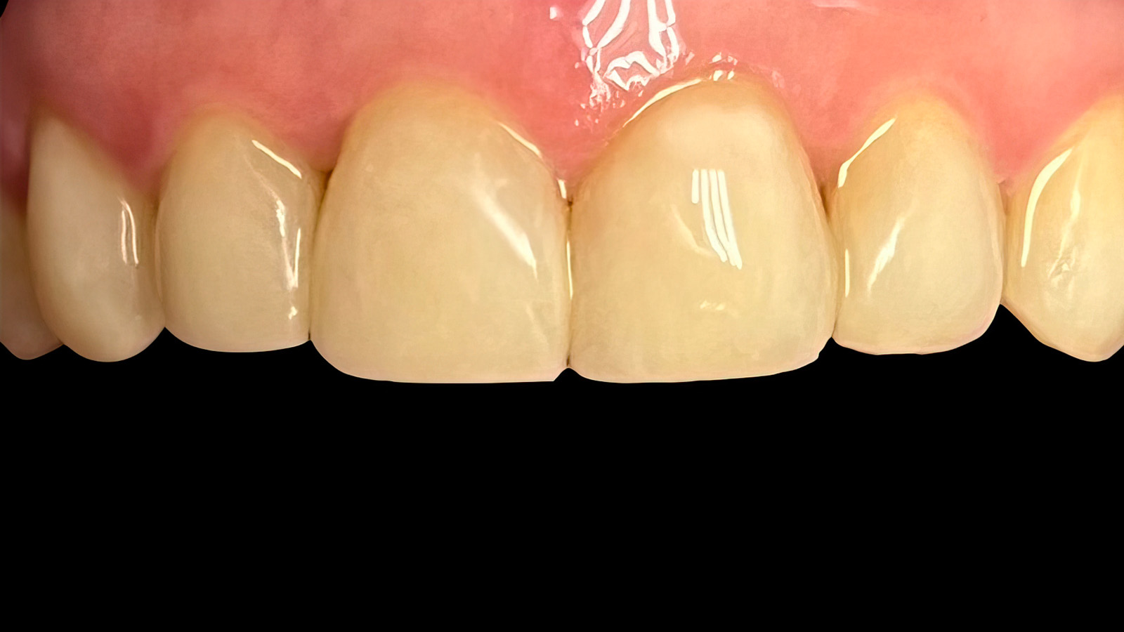
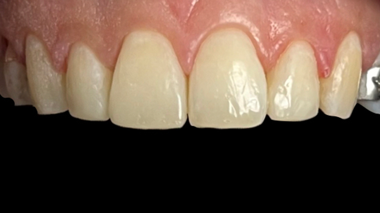
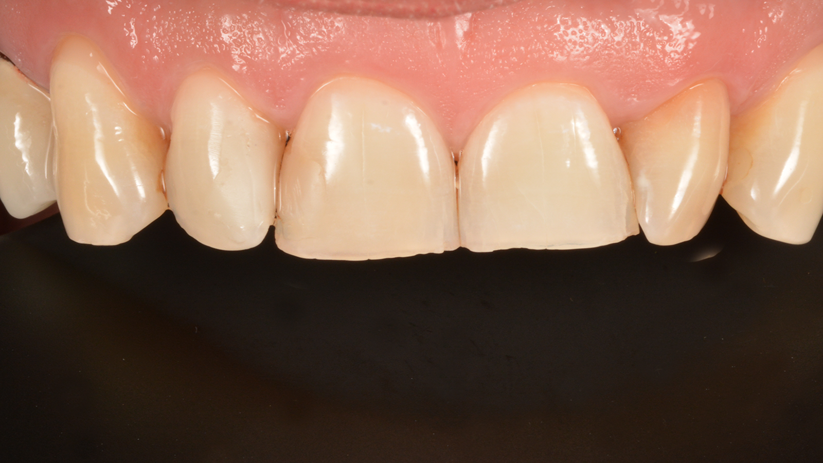
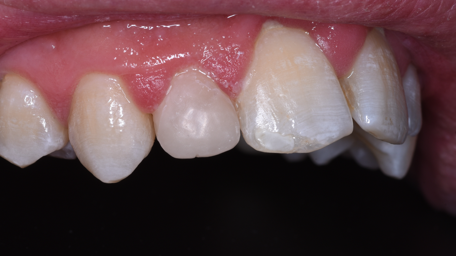
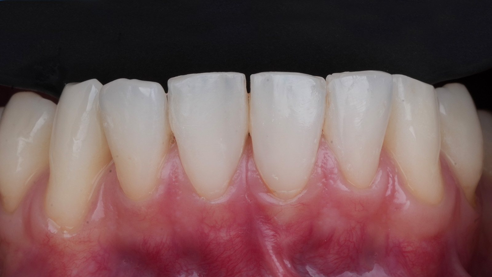
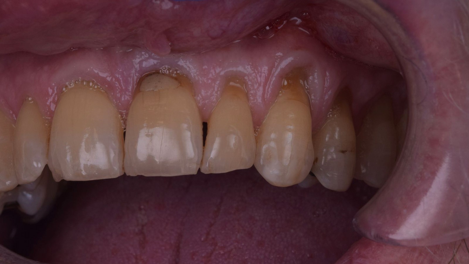
Regardez cette restauration des lésions cervicales de la mâchoire inférieure.

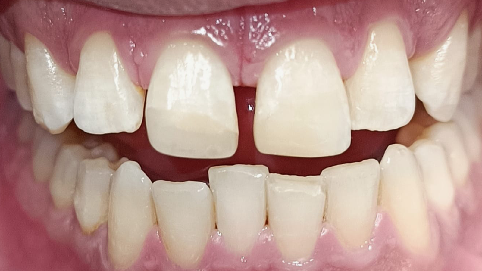
Avant
Après

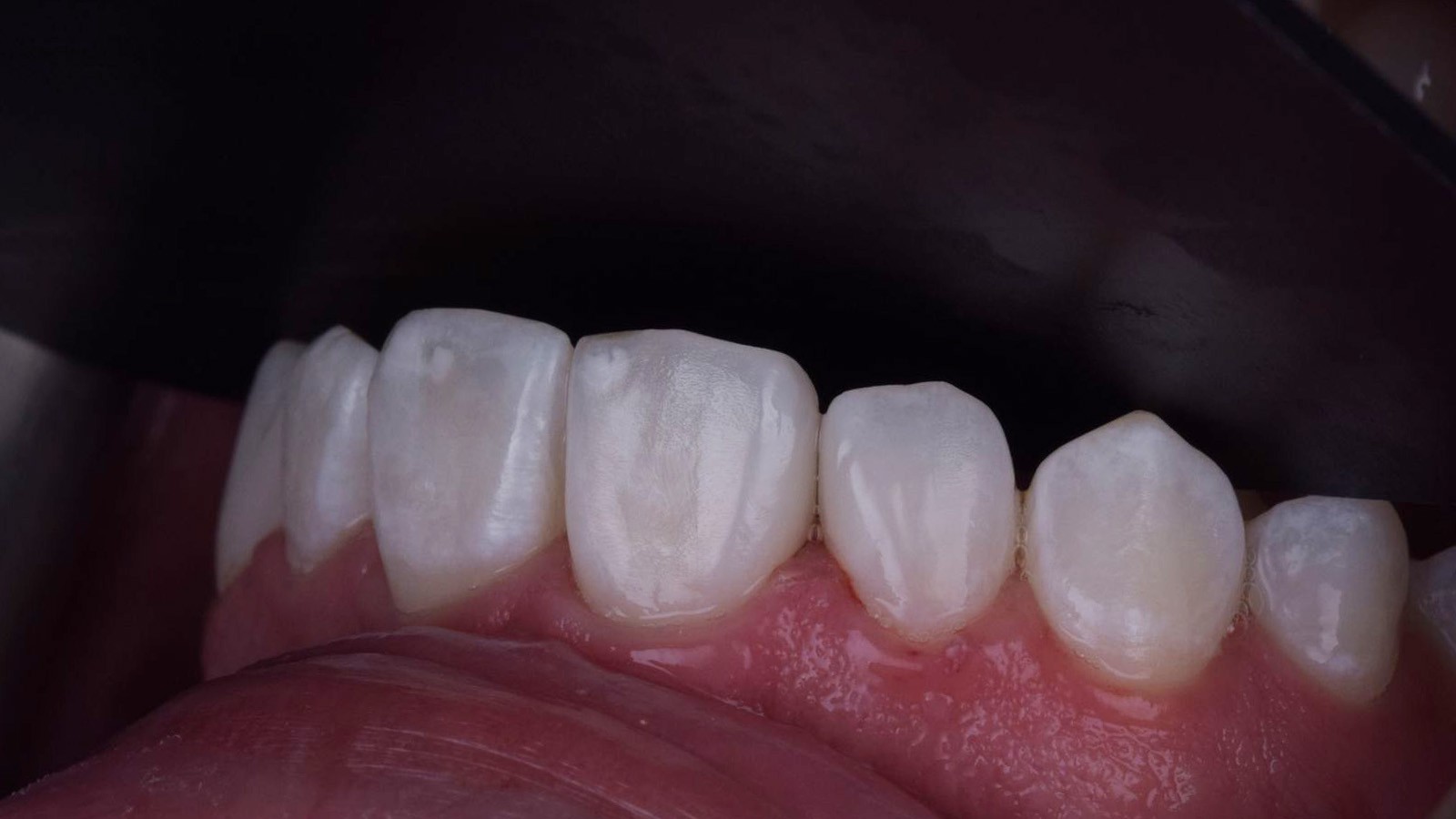
Restauration des lésions cervicales de la mâchoire inférieure avec Venus Diamond Flow DARK (Dr Christoph Lichtblau).

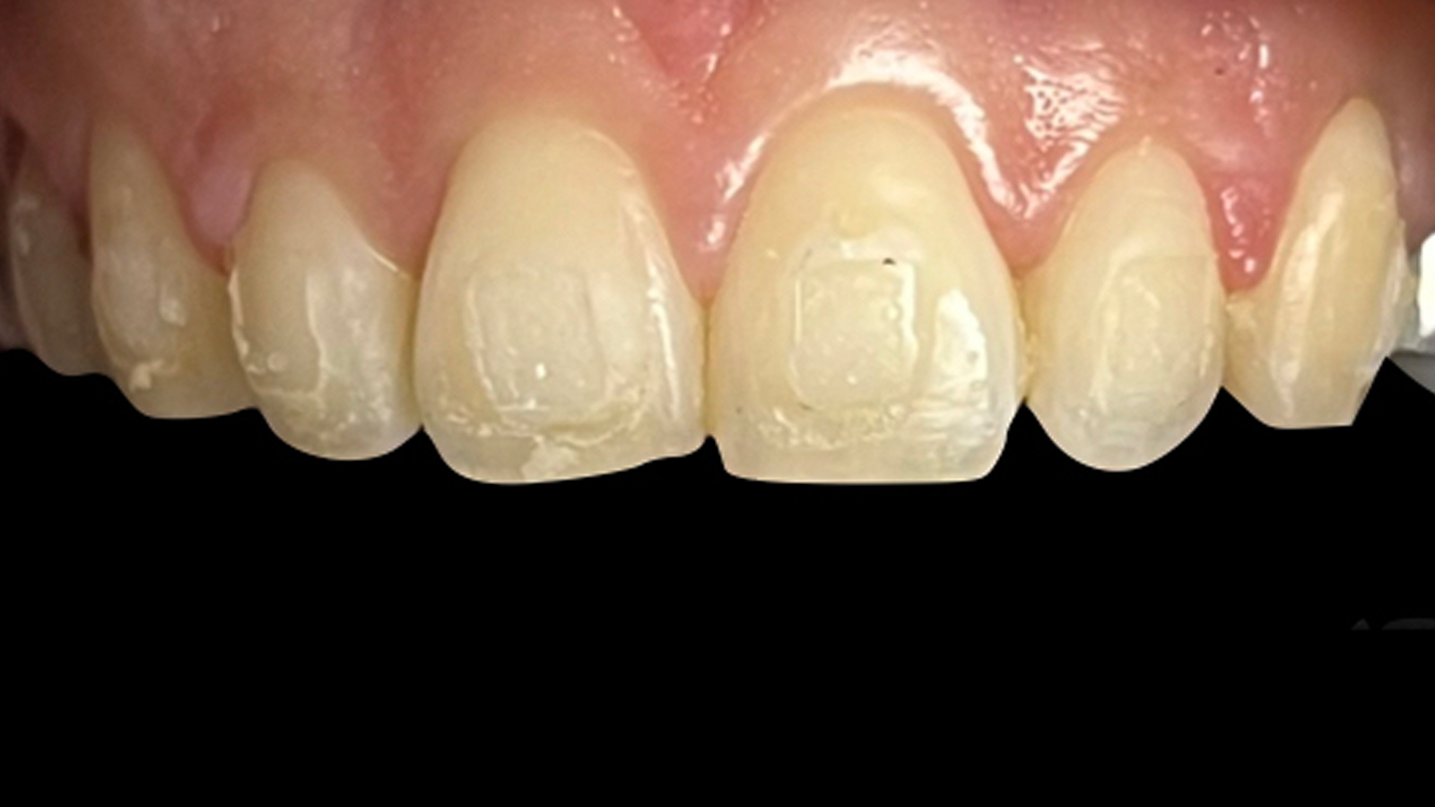
Cas avec Venus Pure
Cas avec Venus Pure Shades
Avant
Après

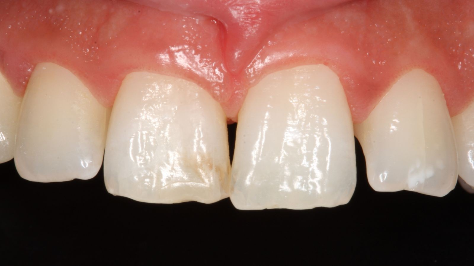
Reconstruction des dents 15 à 22 en stratification monochromatique avec Venus Pearl DARK et Venus Diamond OMC & Venus Supra, à l'exception de la dent 12 où l'OMC a été utilisé pour couvrir les zones sombres (Dr Vegard Berg).

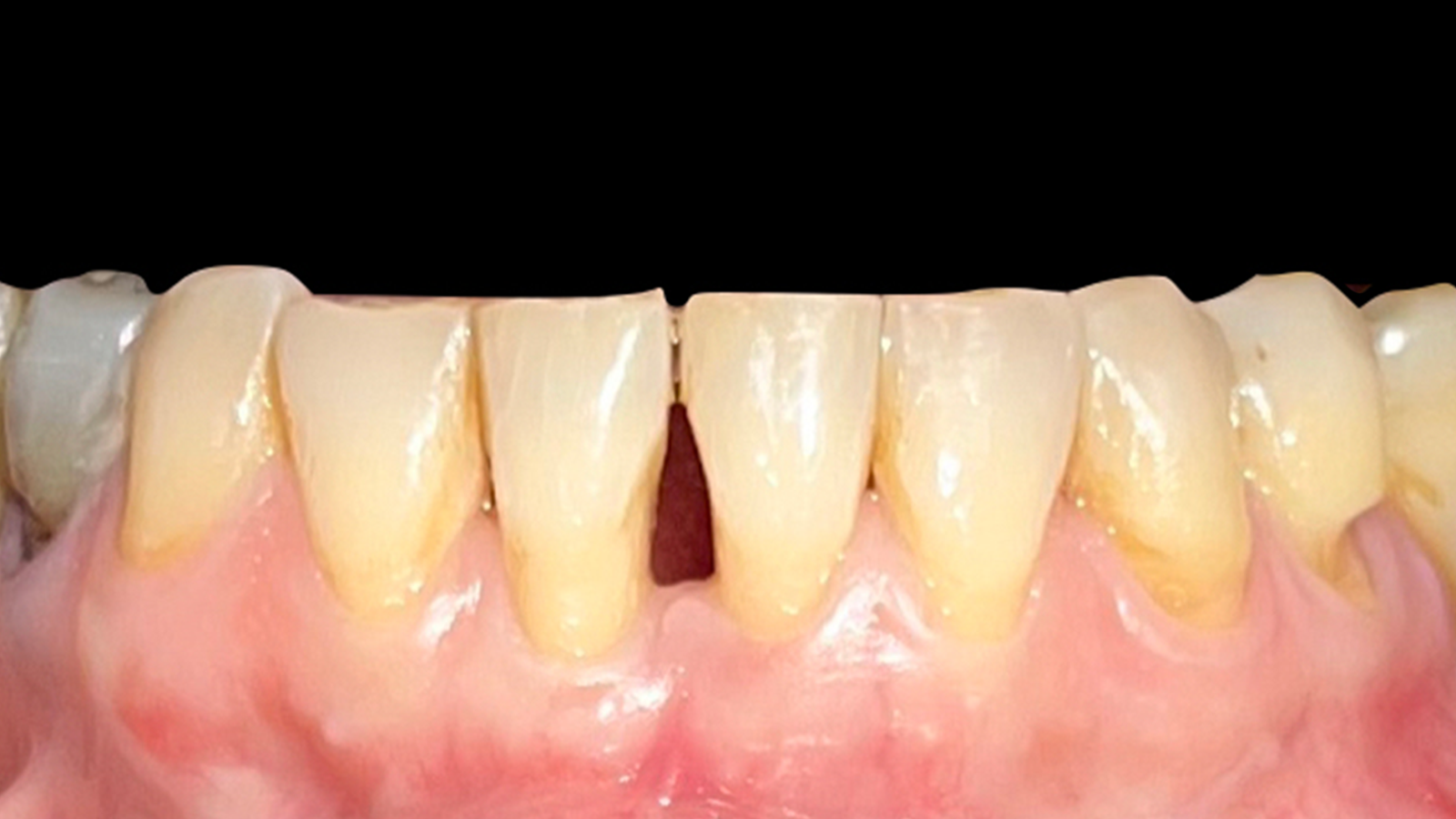
Avant
Après

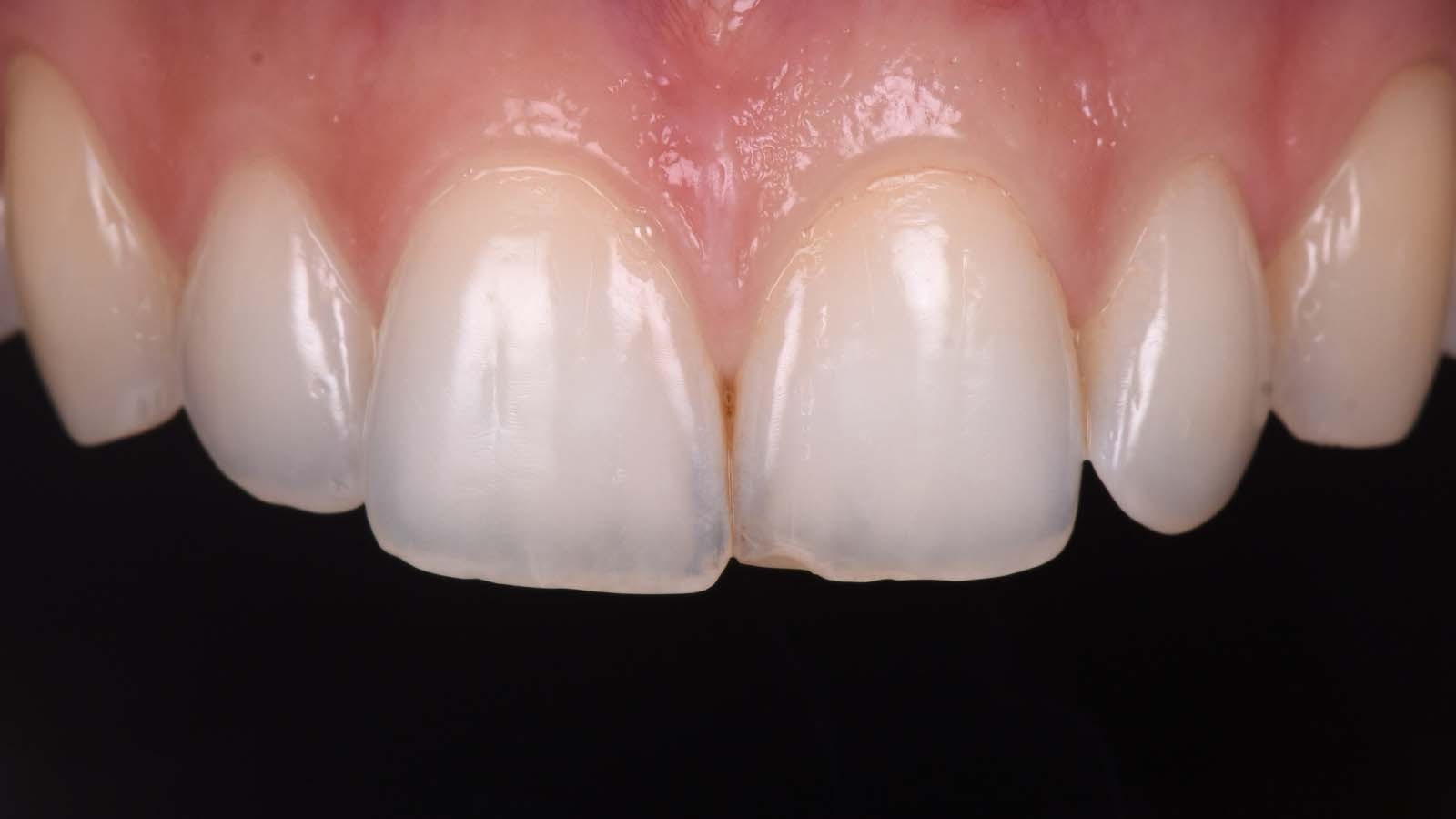
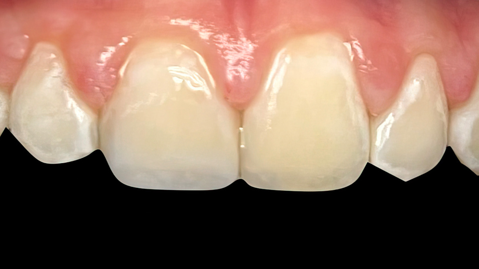
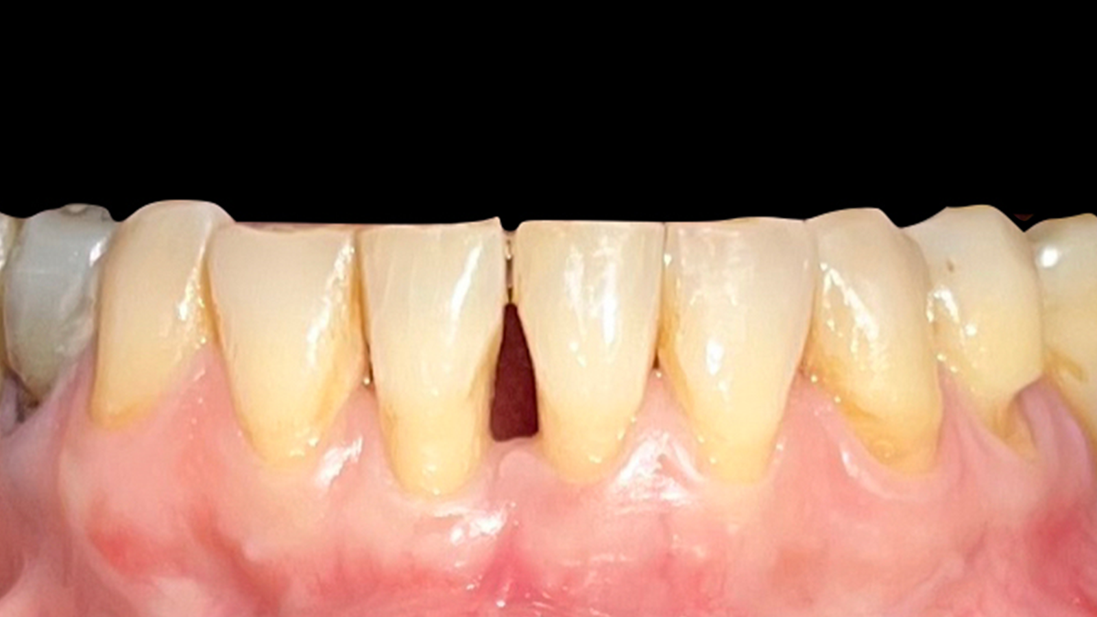
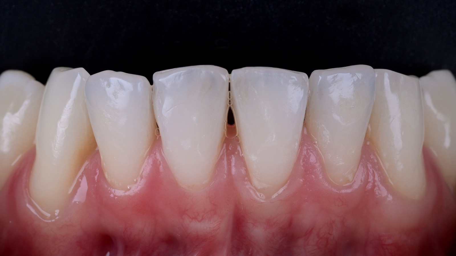
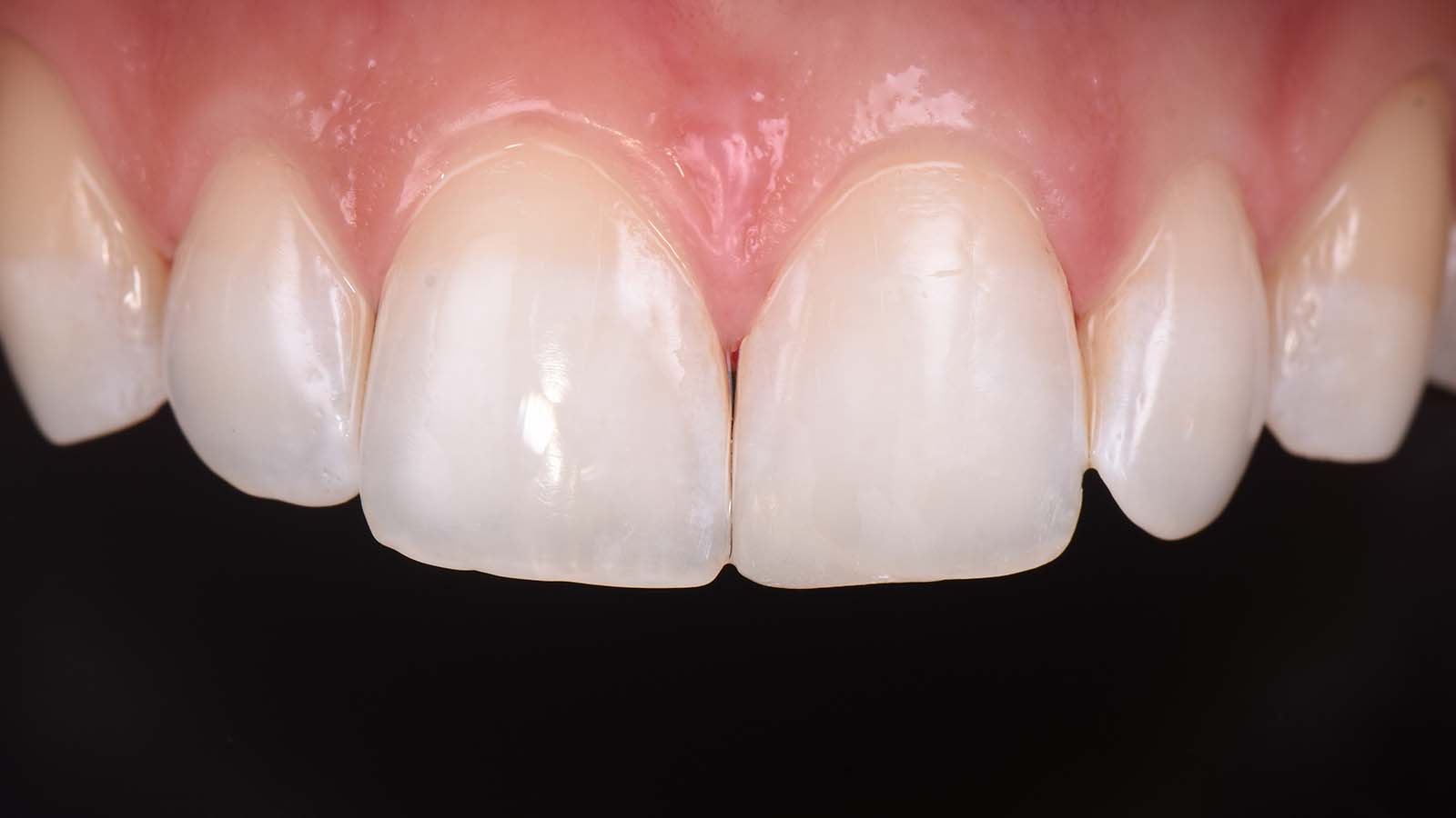
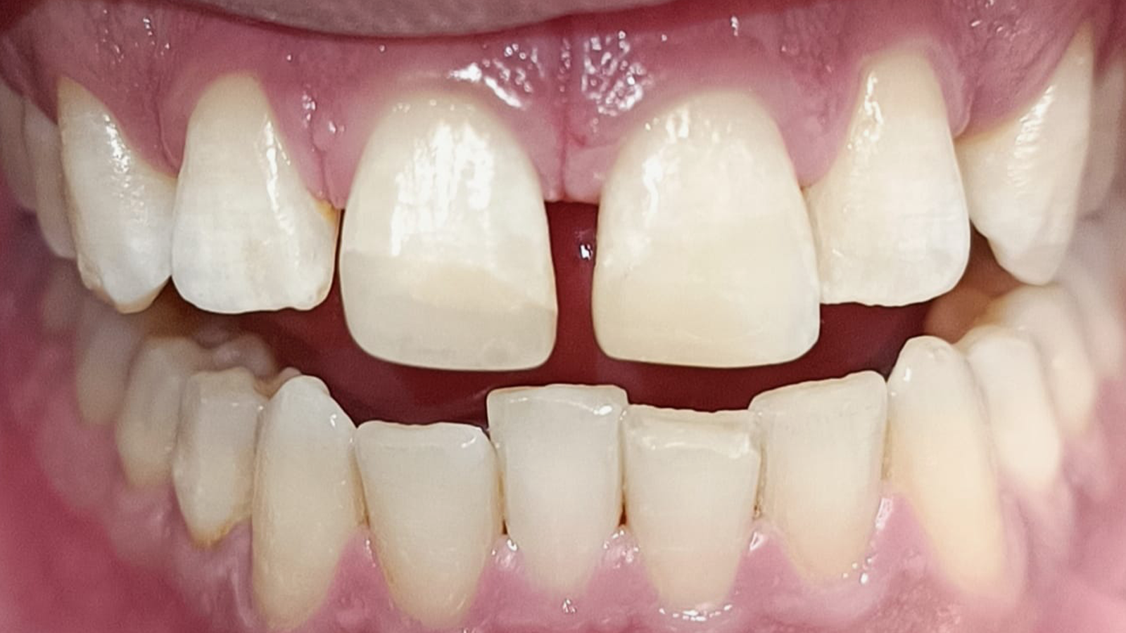
Fermeture du diastème médian de la mâchoire inférieure avec Venus Pearl LIGHT et Venus Diamond Flow LIGHT (Dr Edoardo Fossati).

Avant
Après

Remodelage de la dent 12 à l'aide de Venus Diamond Flow Pure LIGHT en stratification monochromatique (Dr Mahmoud Ibrahim).

Avant
Après

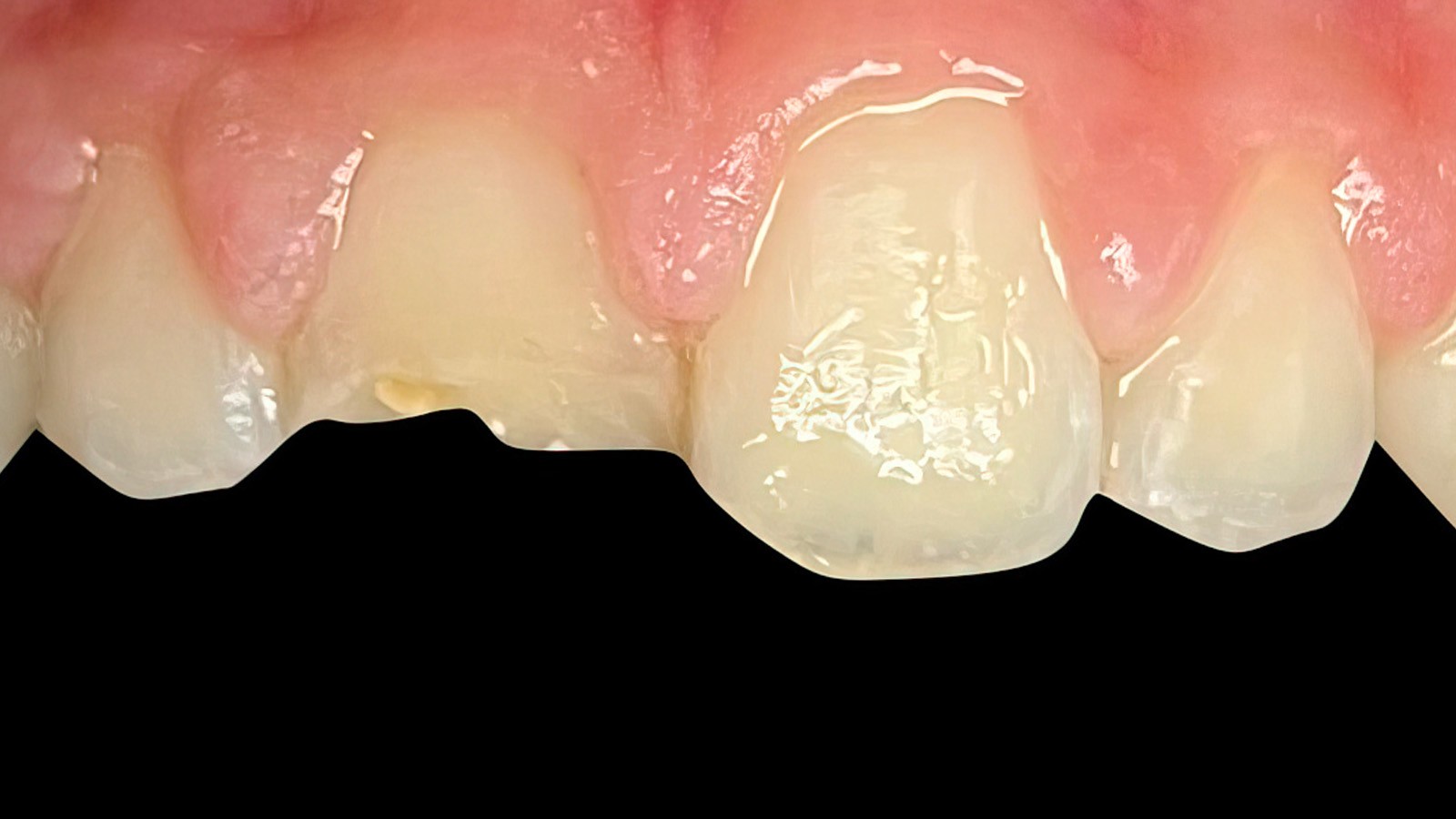
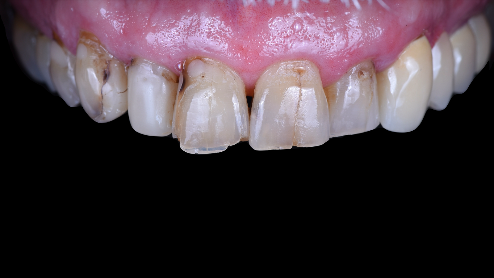
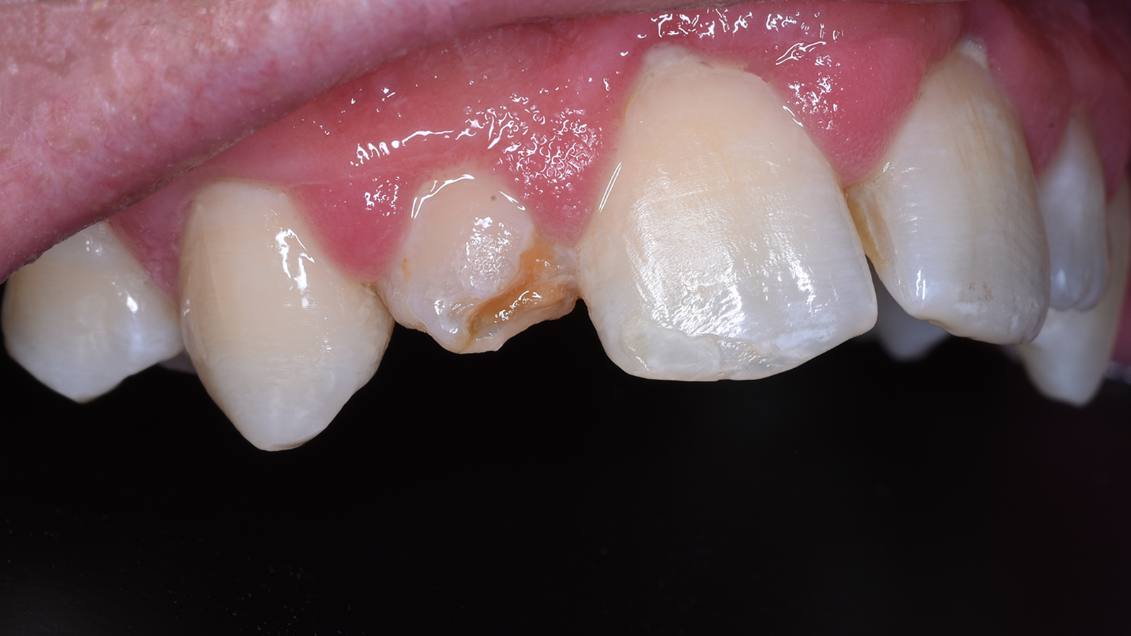
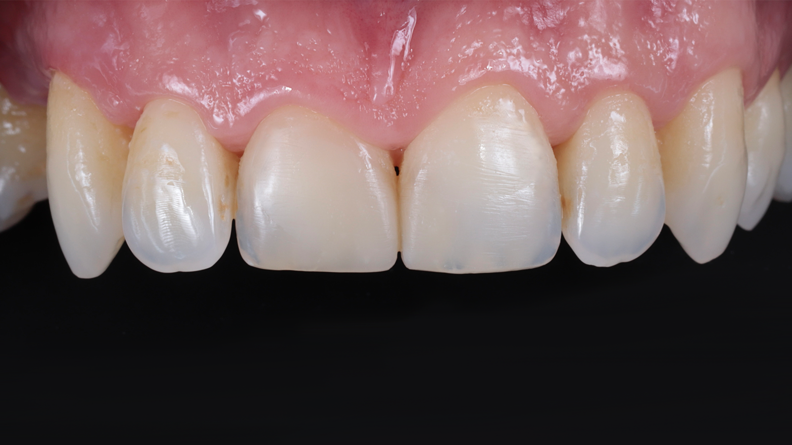
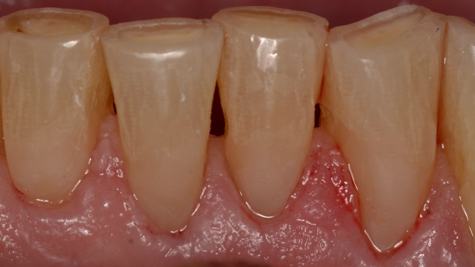
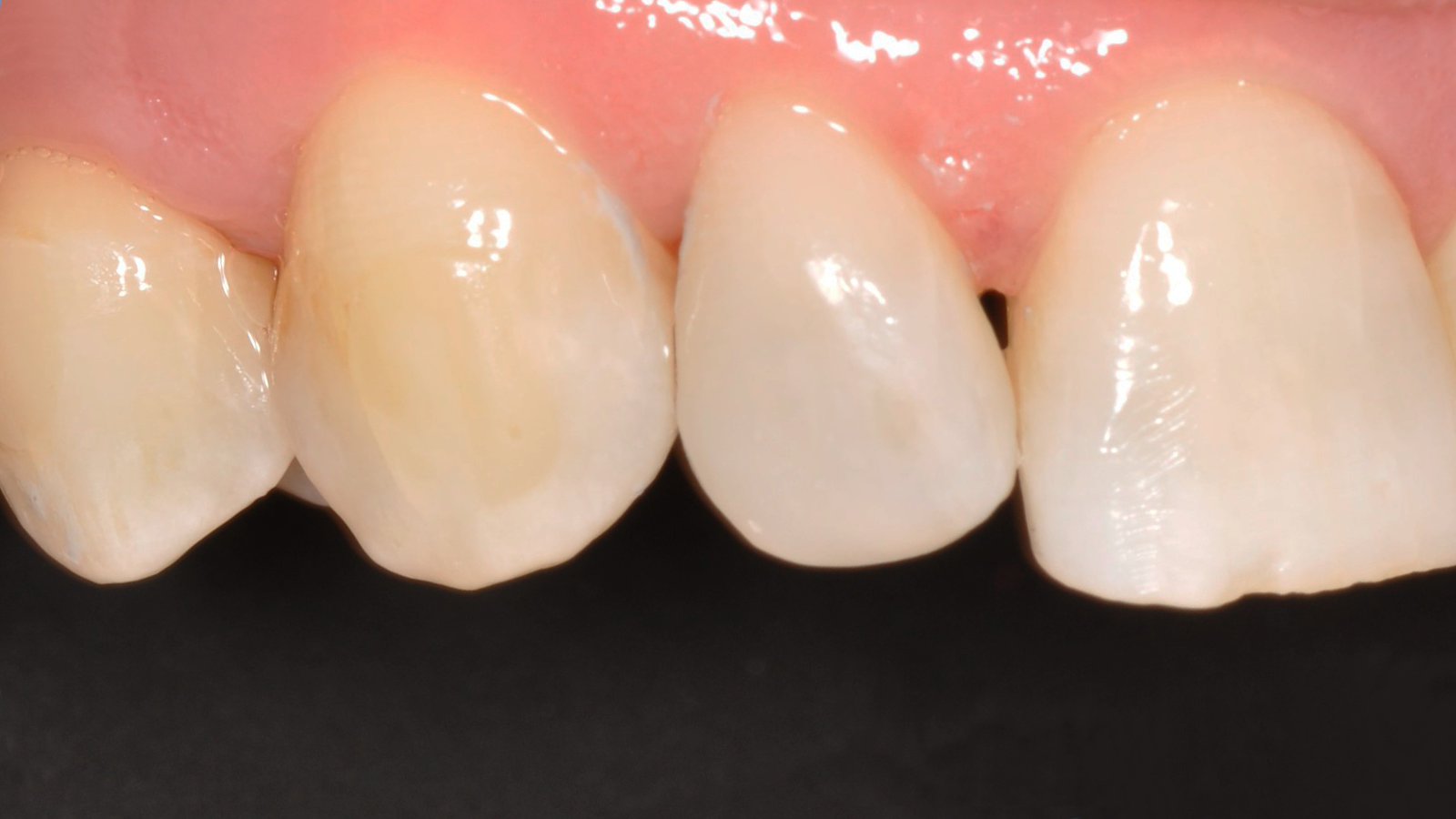
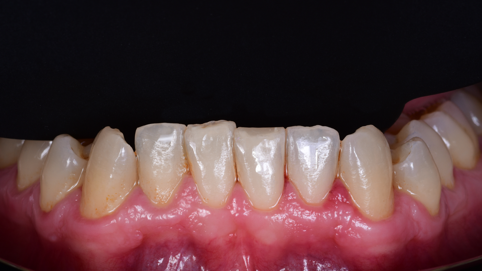
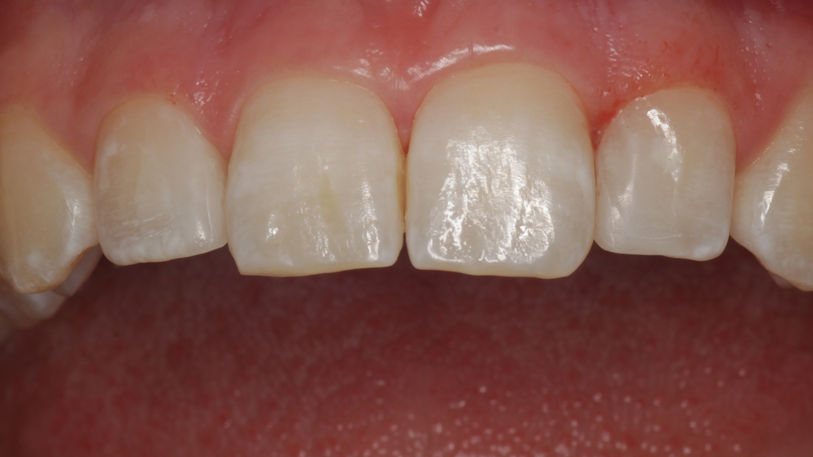
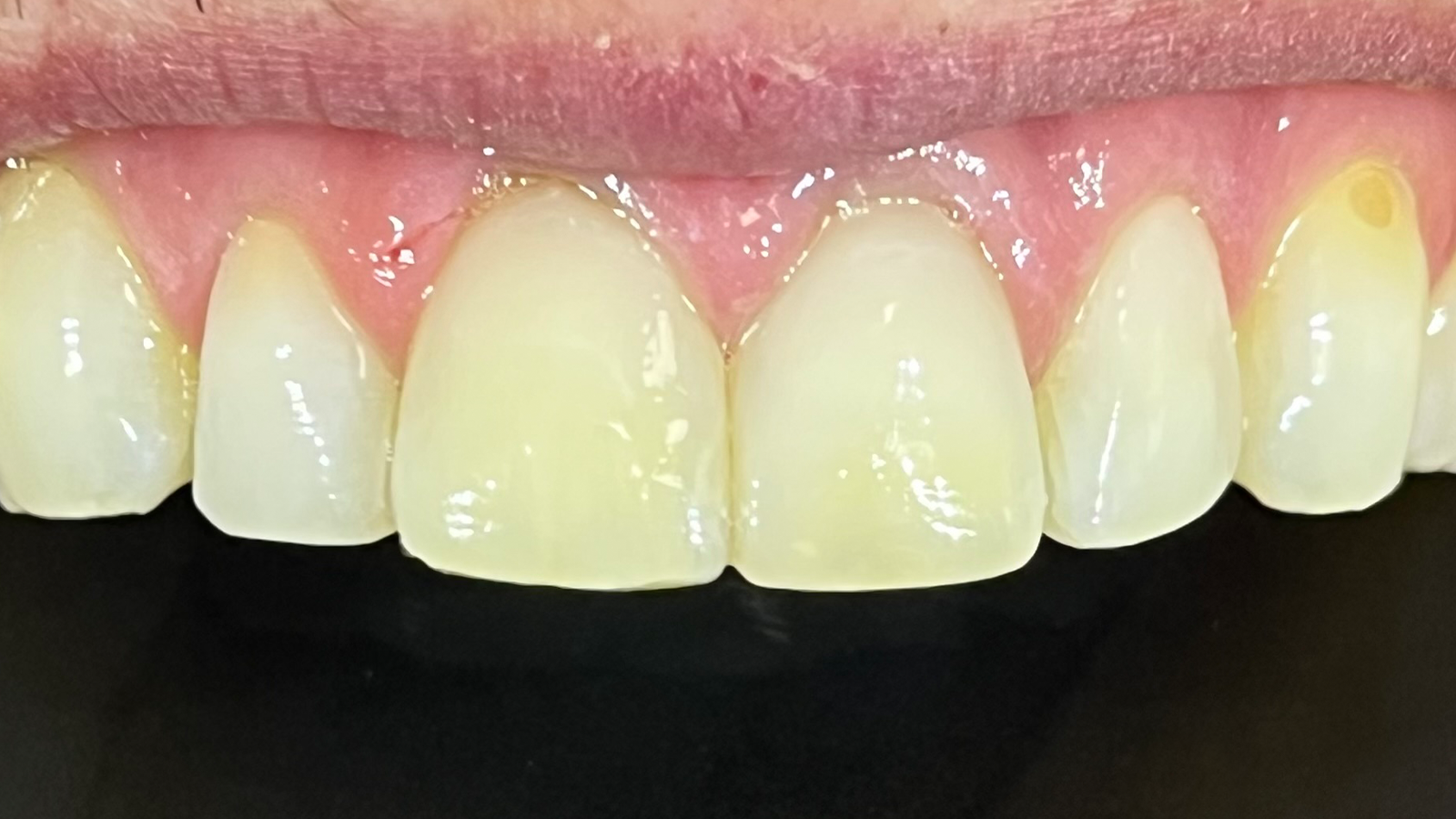
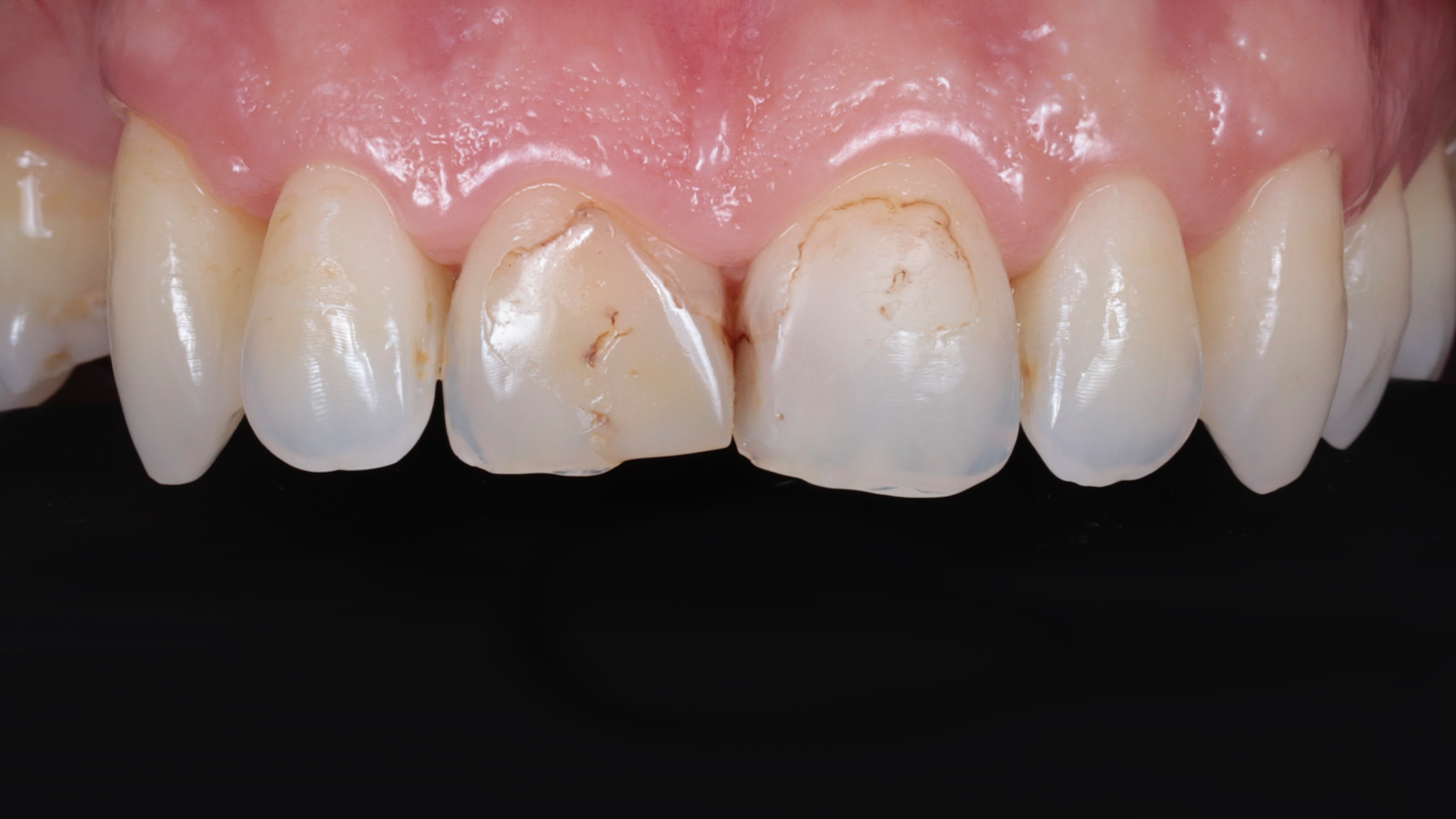
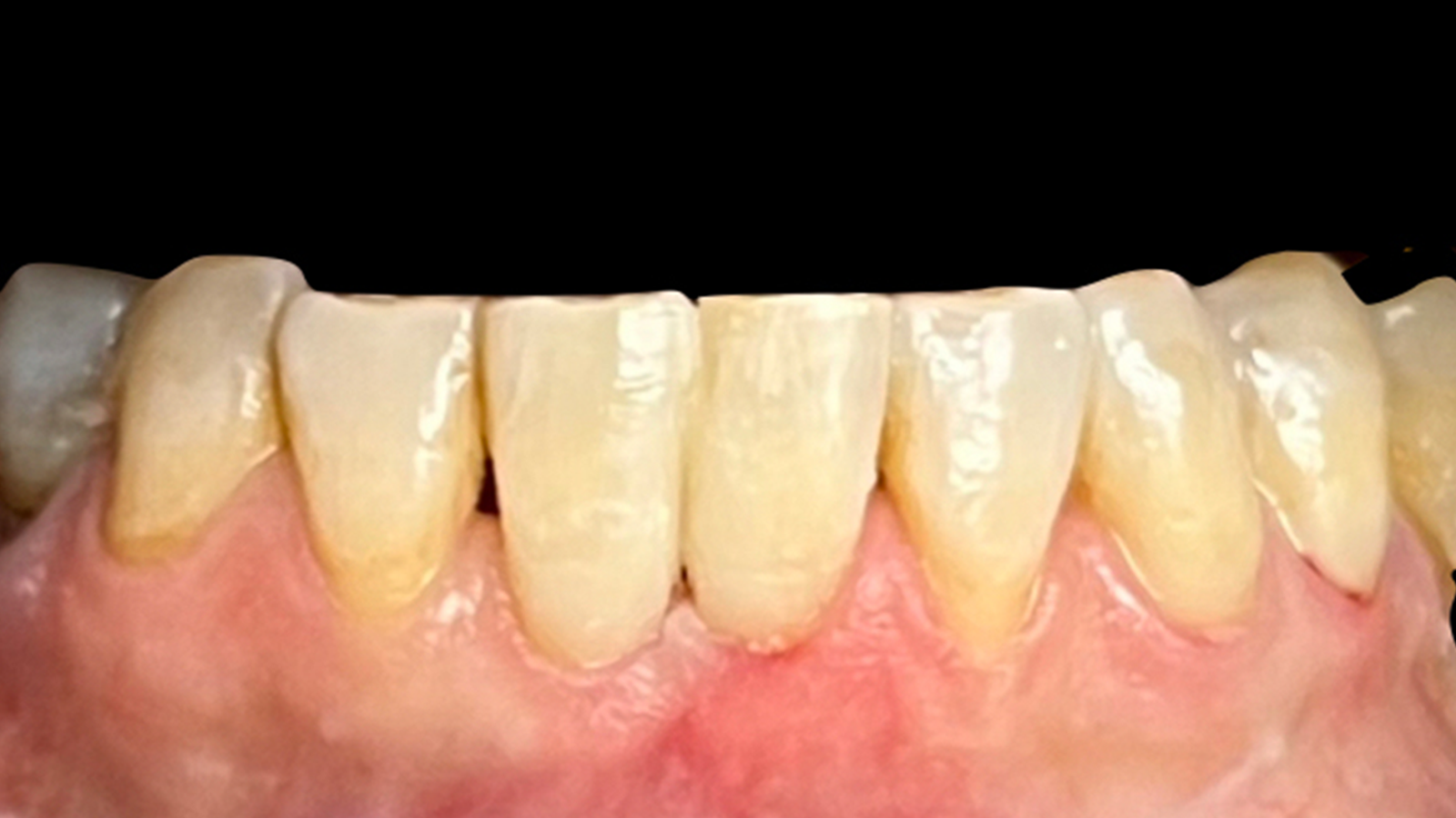
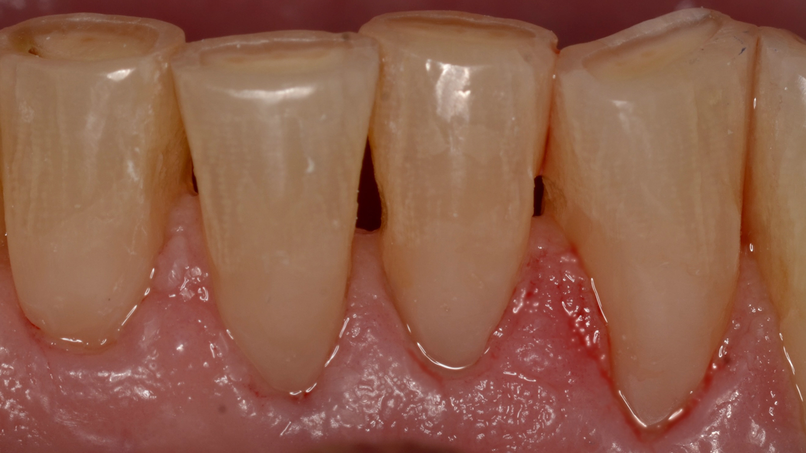
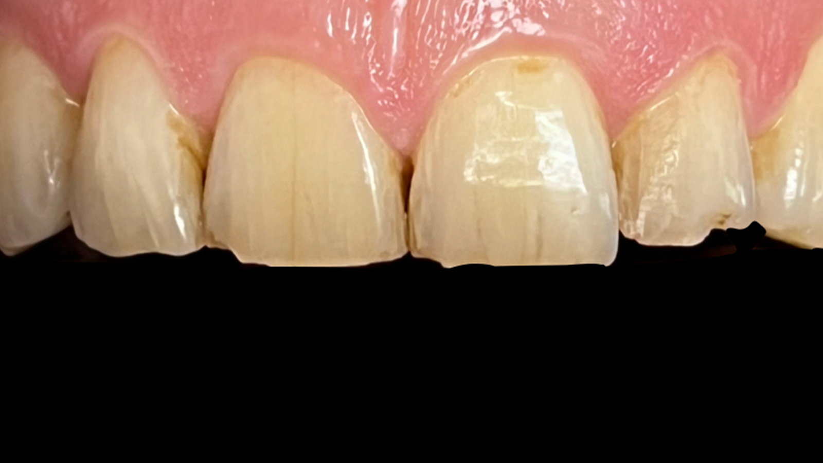
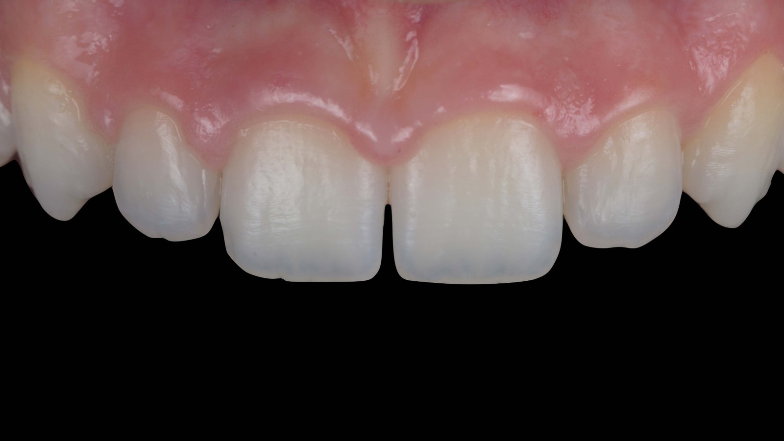
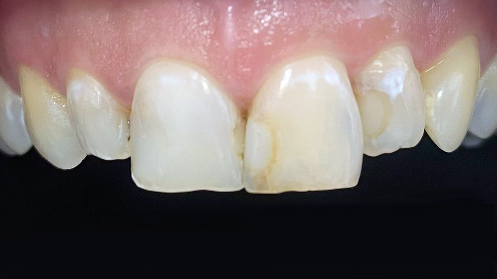
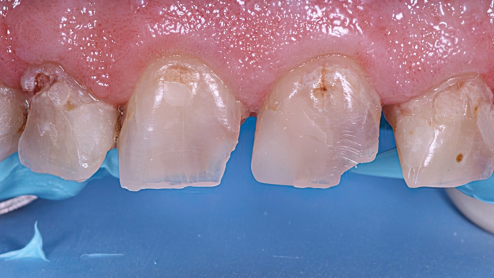
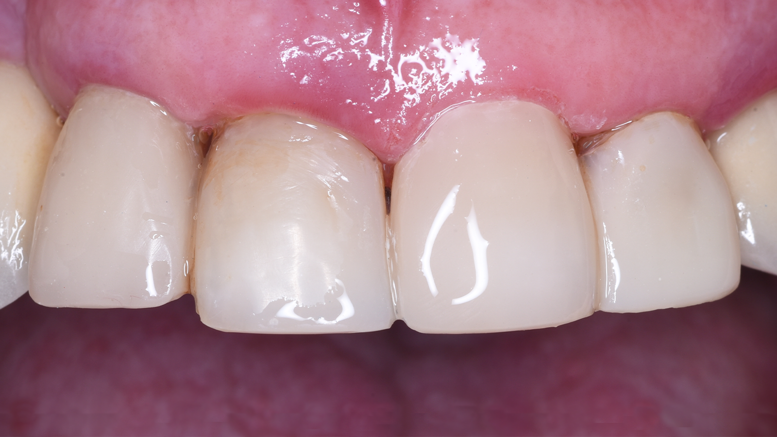
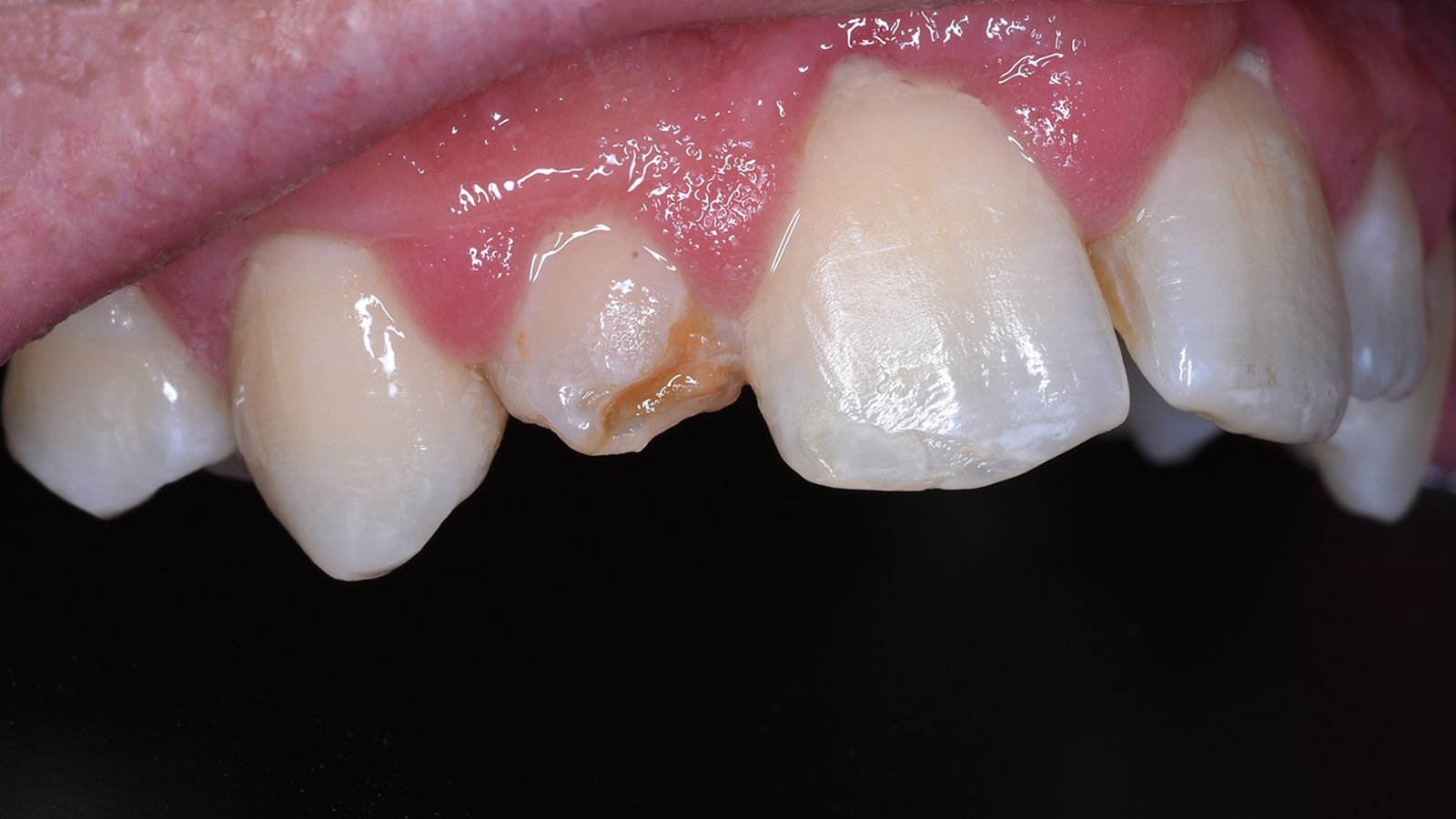
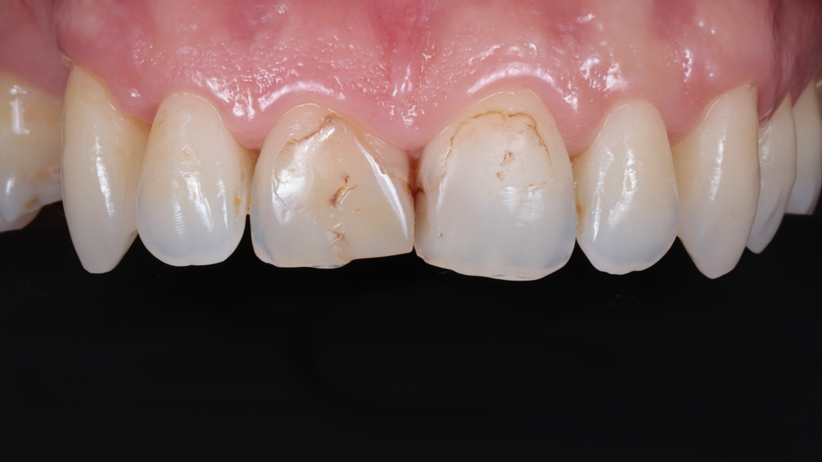
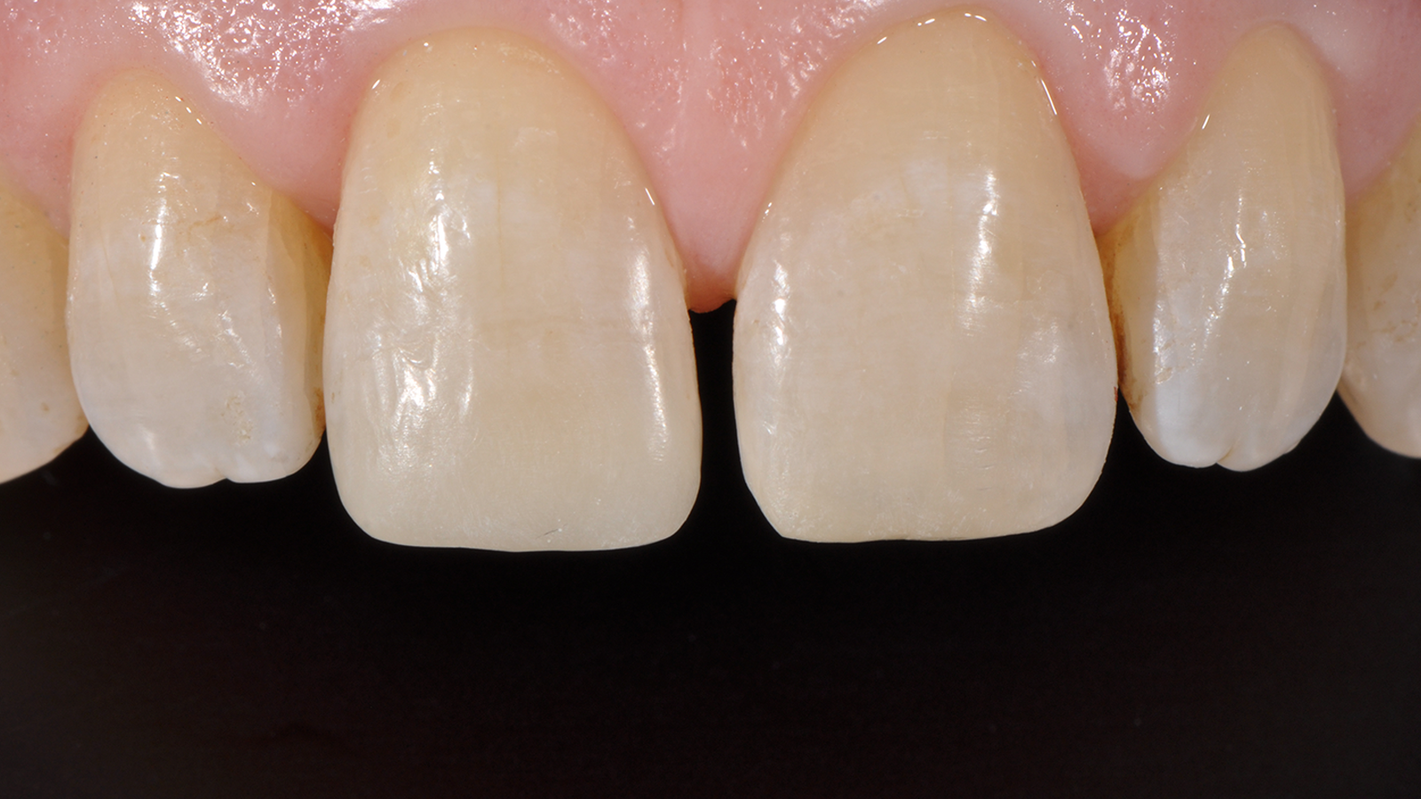
Restauration des lésions cervicales de la mâchoire supérieure avec Venus Diamond Flow DARK (Dr Mahmoud Ibrahim).

Avant
Après

Restauration des lésions cervicales de la mâchoire inférieure avec Venus Diamond Flow DARK (Dr Christoph Lichtblau).

Avant
Après

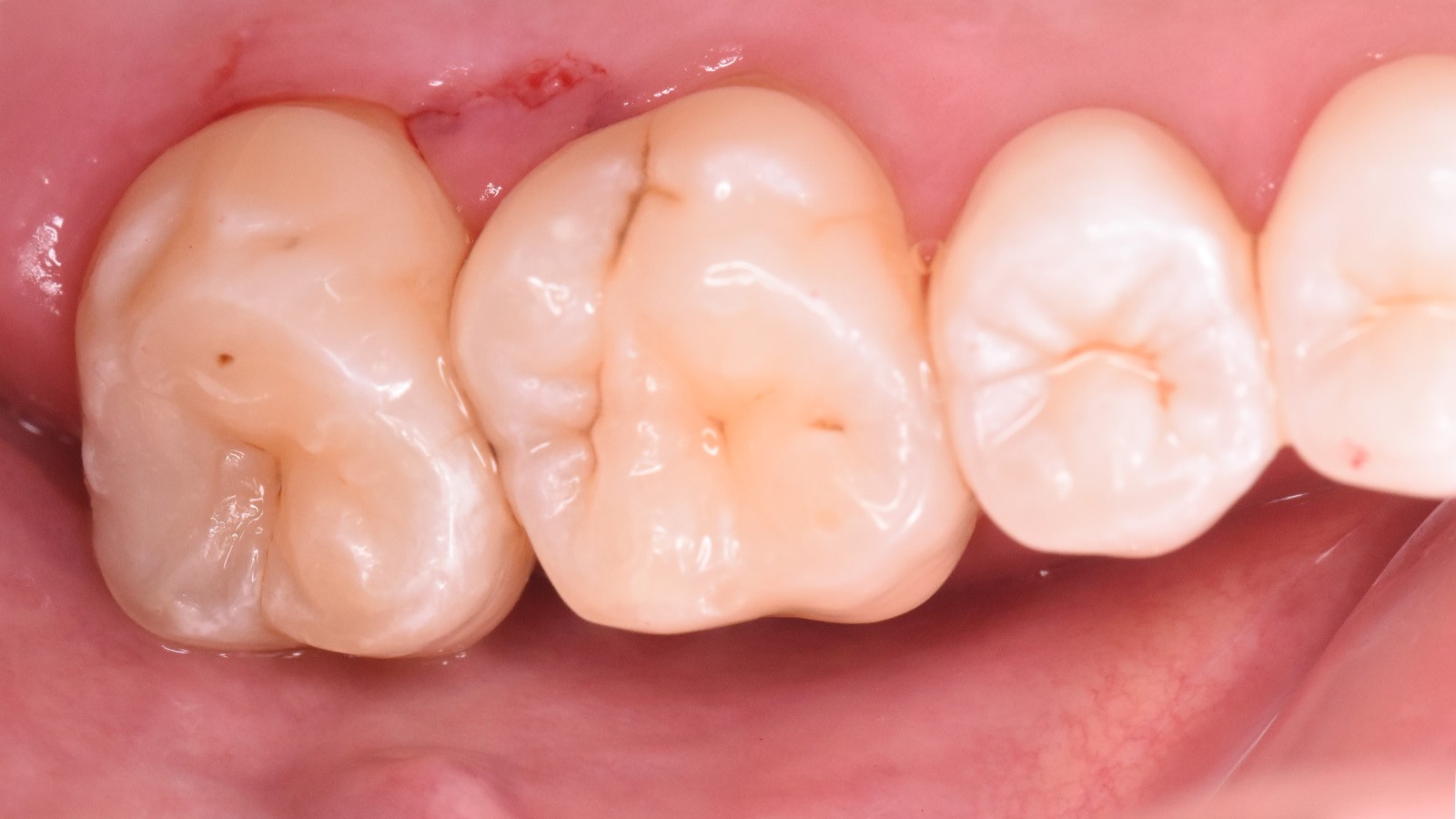
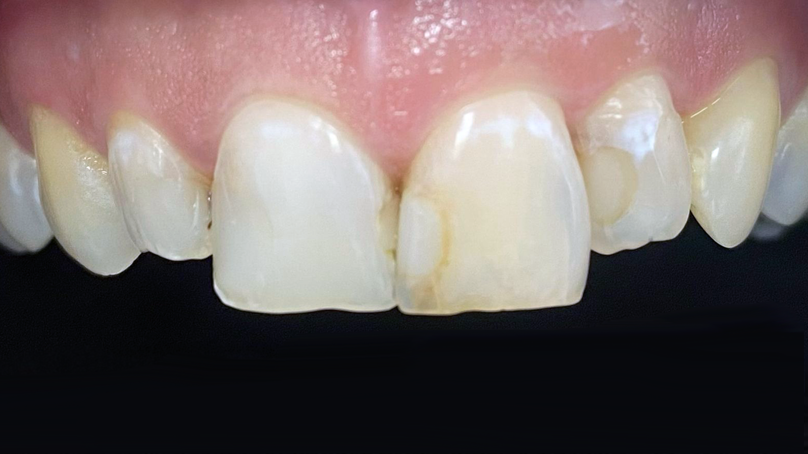
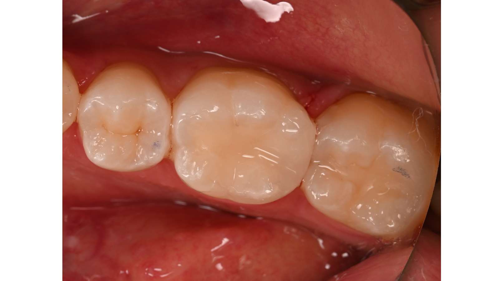
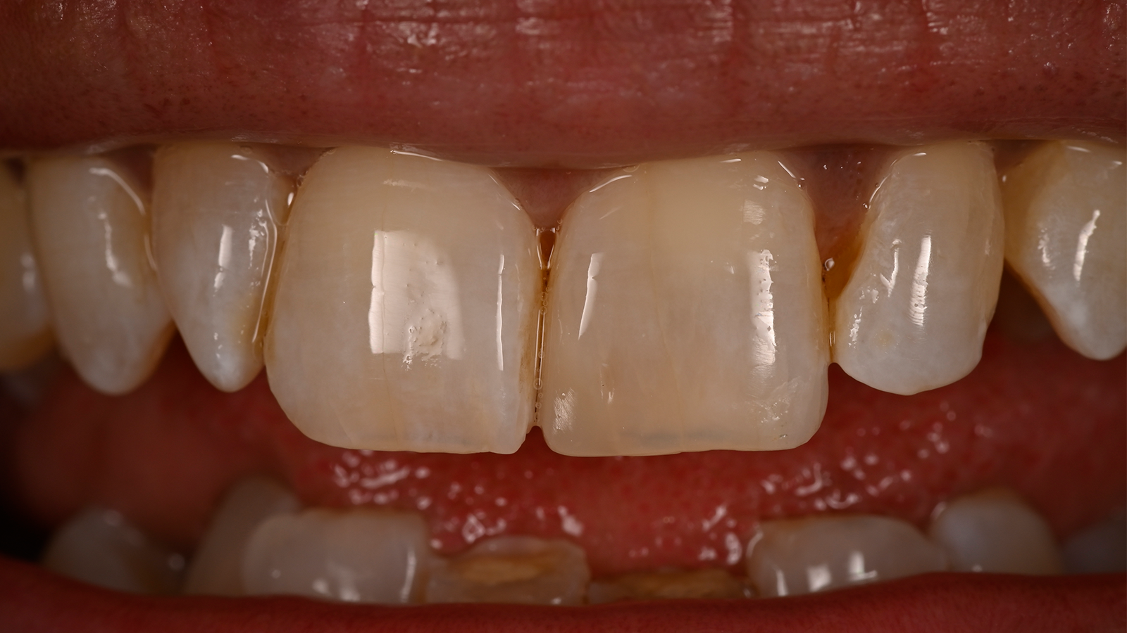
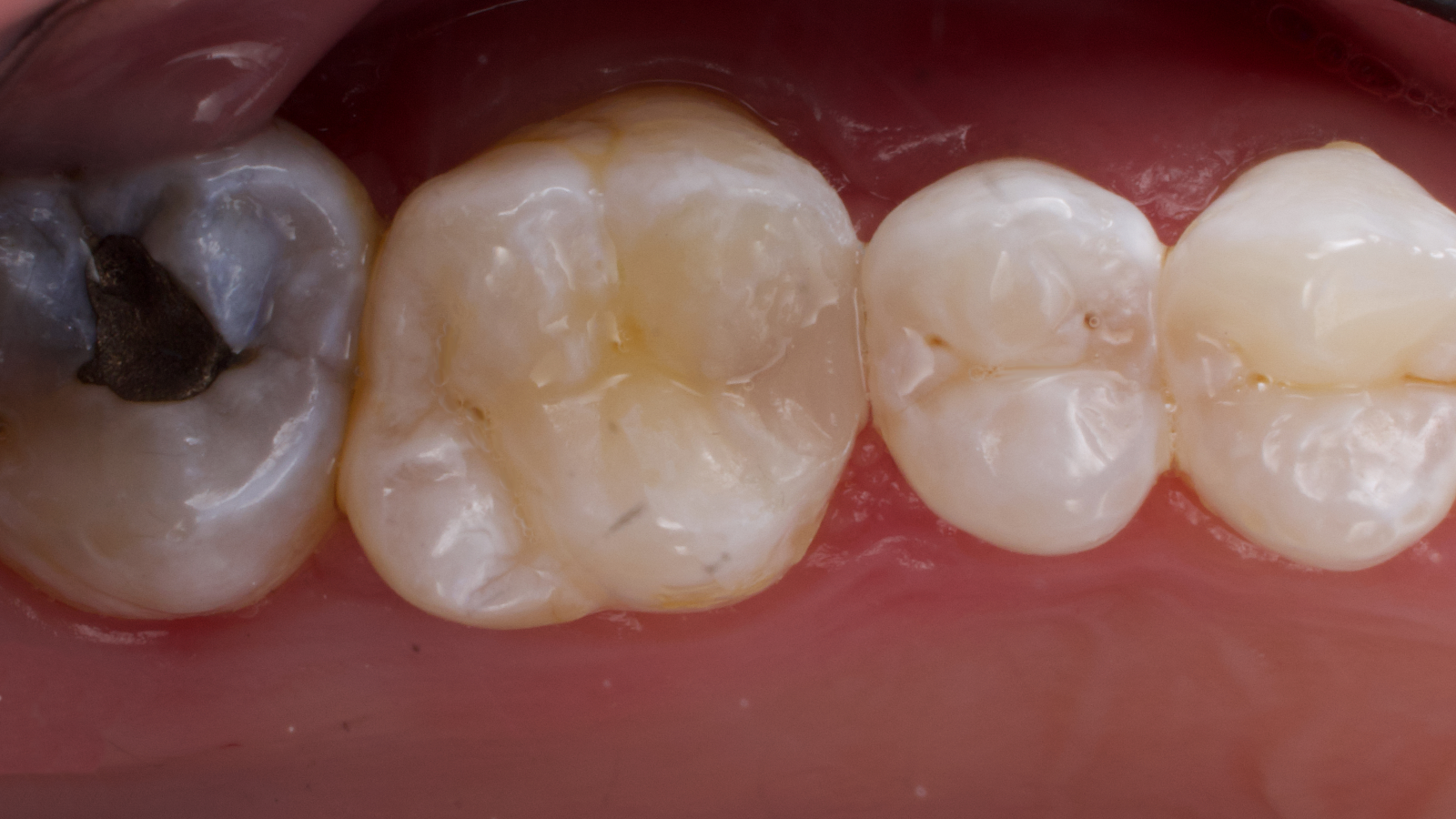
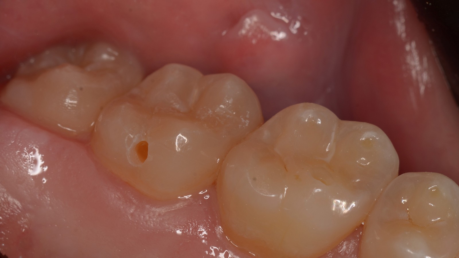
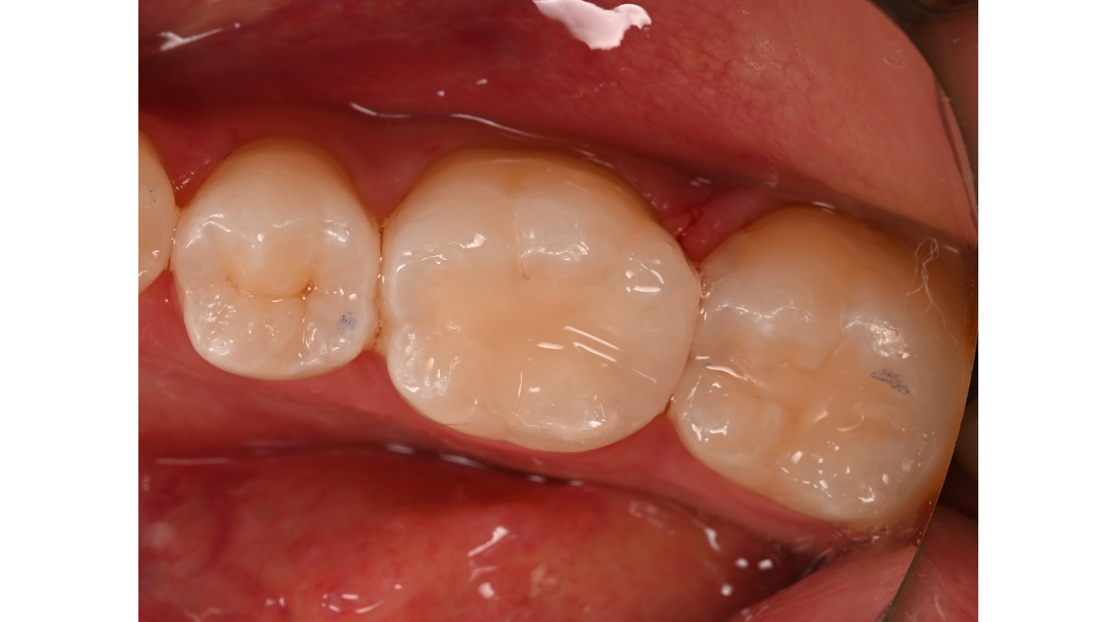
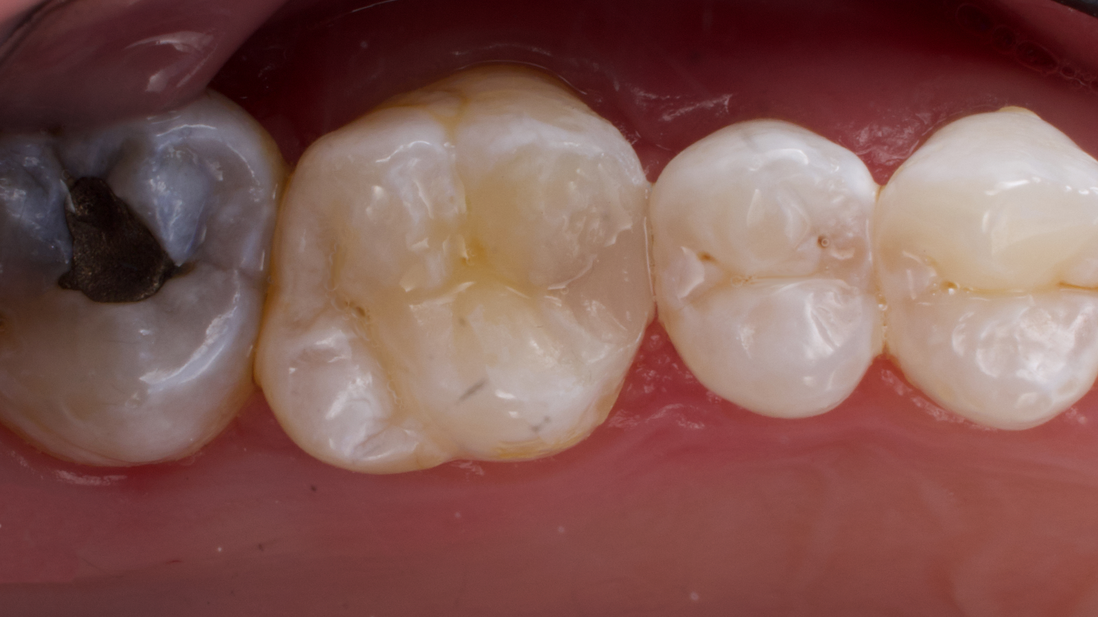
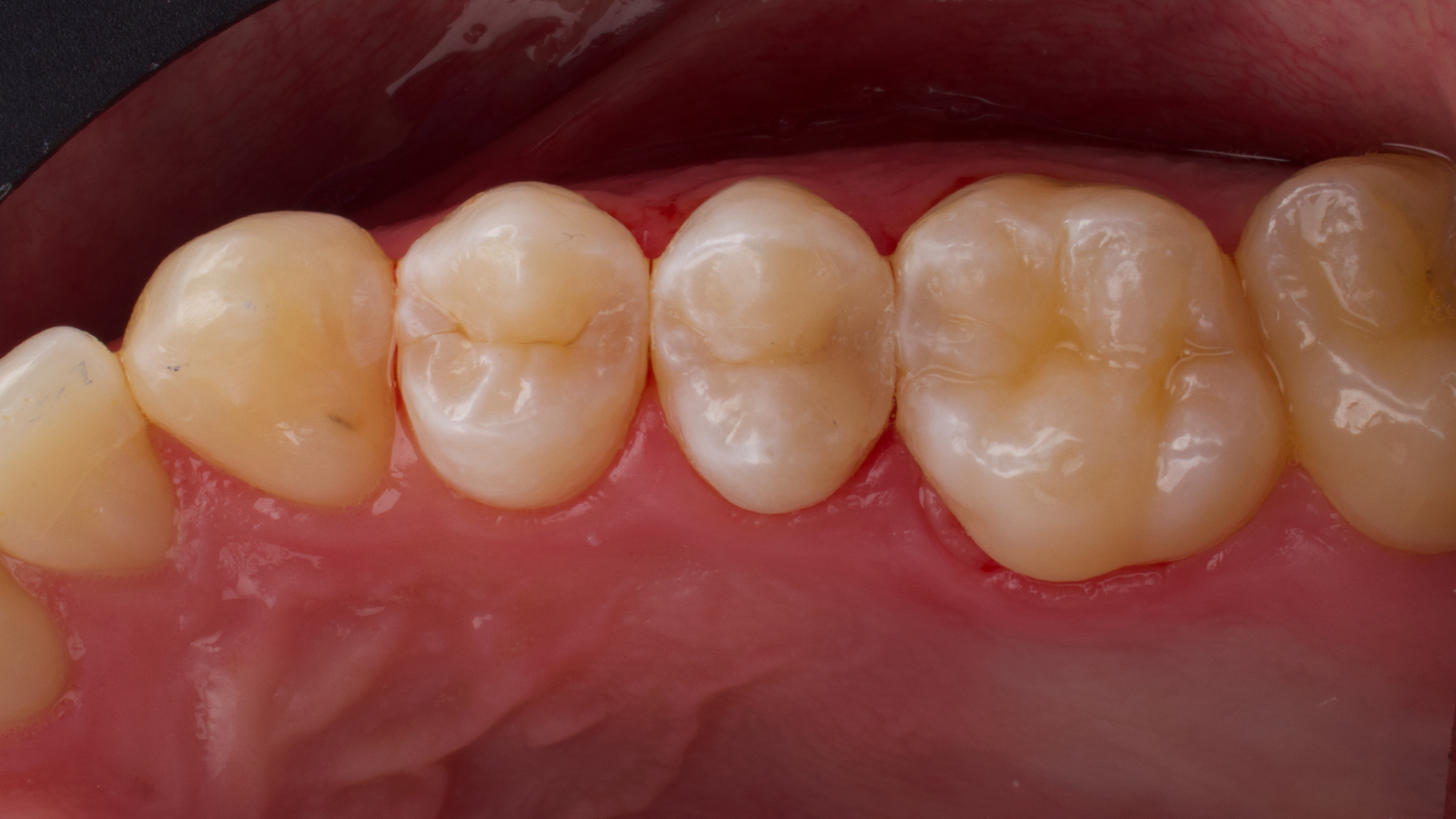
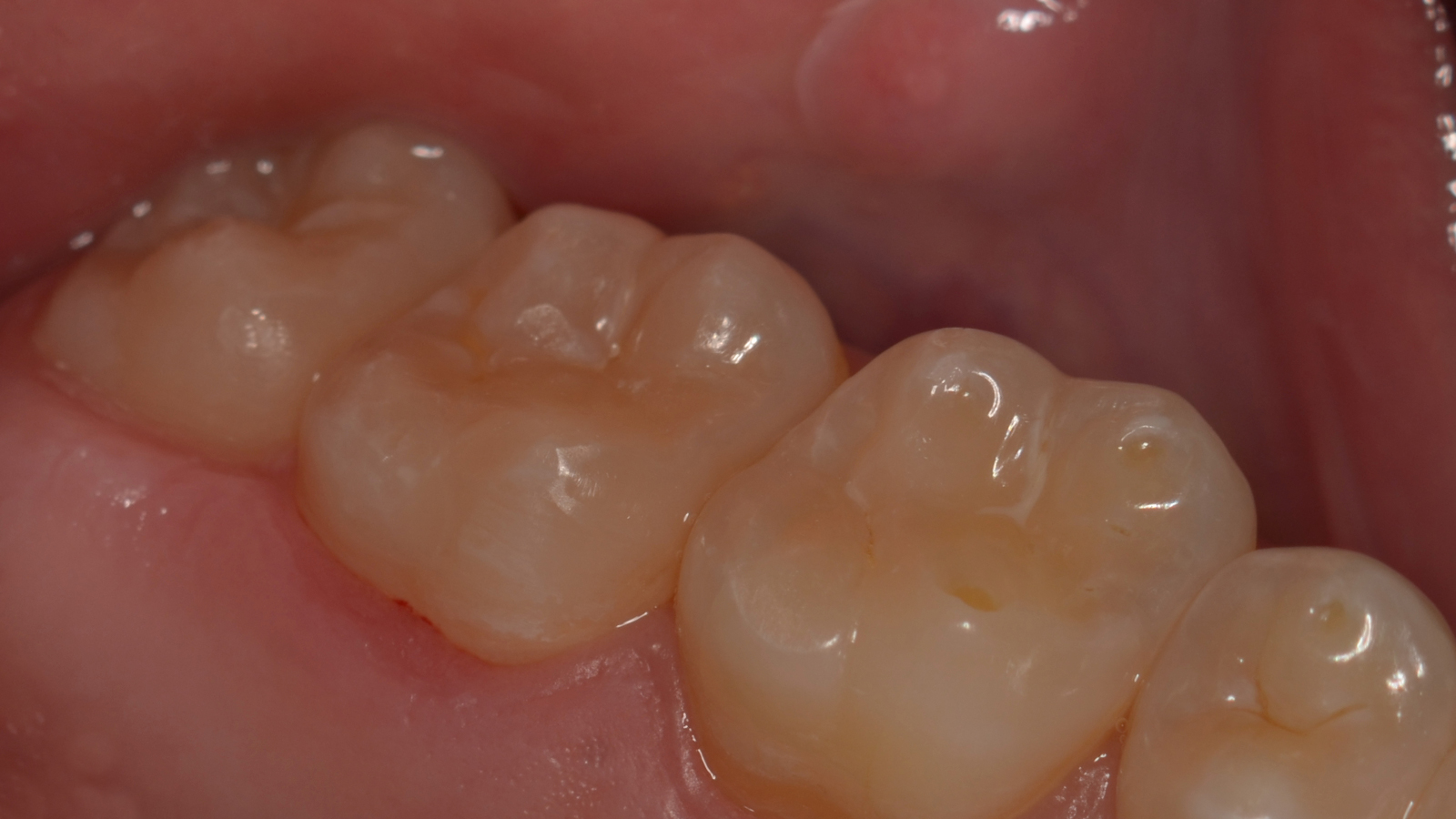
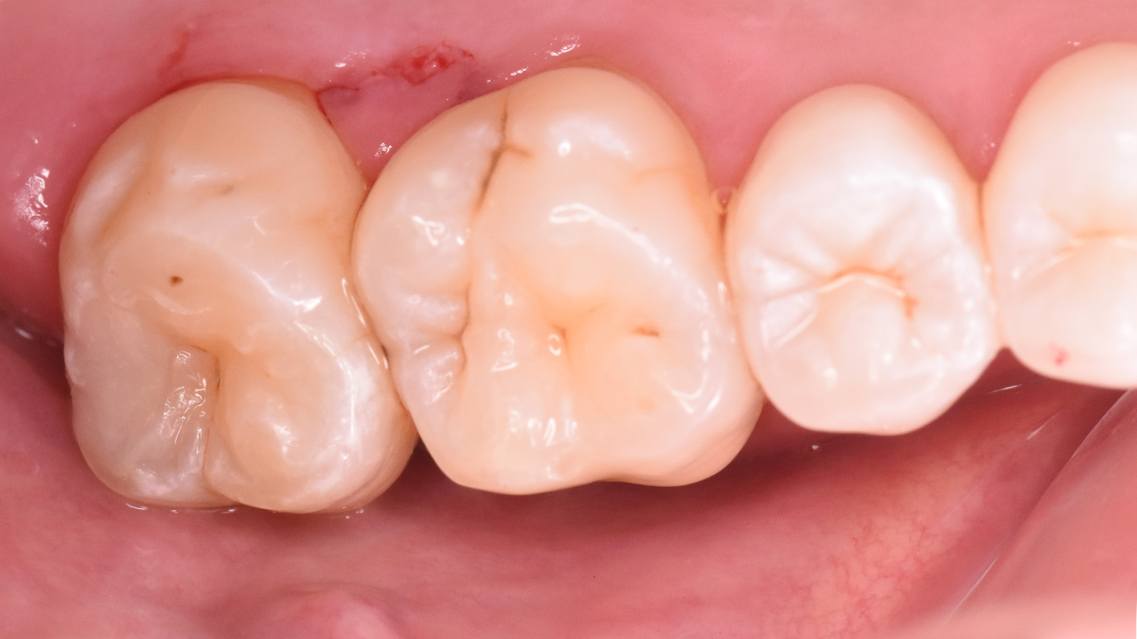
Reconstruction d'une lésion carieuse sur une molaire supérieure avec Venus Diamond Flow MEDIUM et iBOND Universal (Dr Christoph Lichtblau).

Avant
Après

Fermeture de diastème monochromatique répondant au souhait des patients d'une solution rapide et fiable avec Venus Pearl LIGHT (Dr Jukka Paakkanen).

Avant
Après

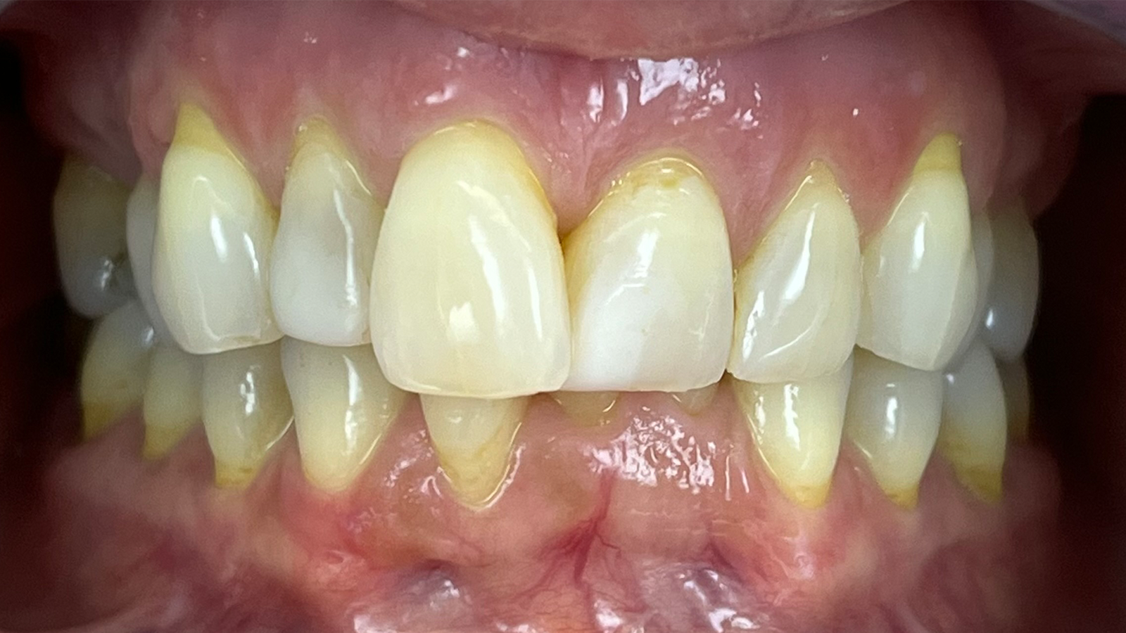
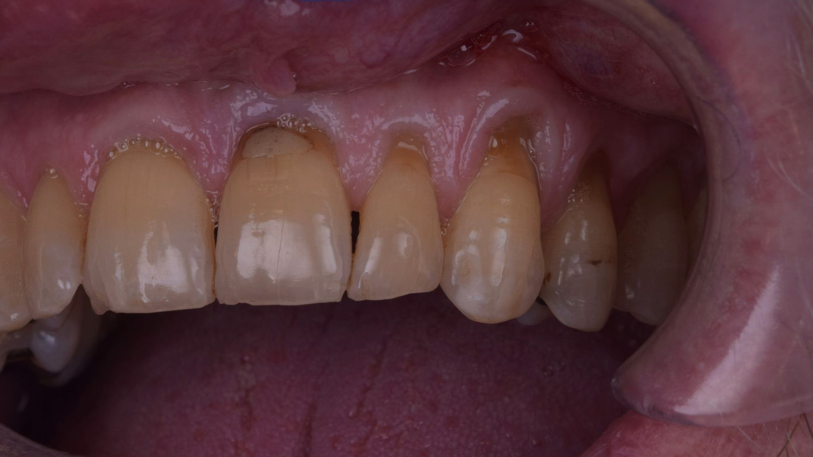
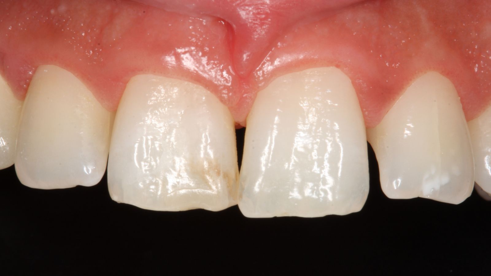
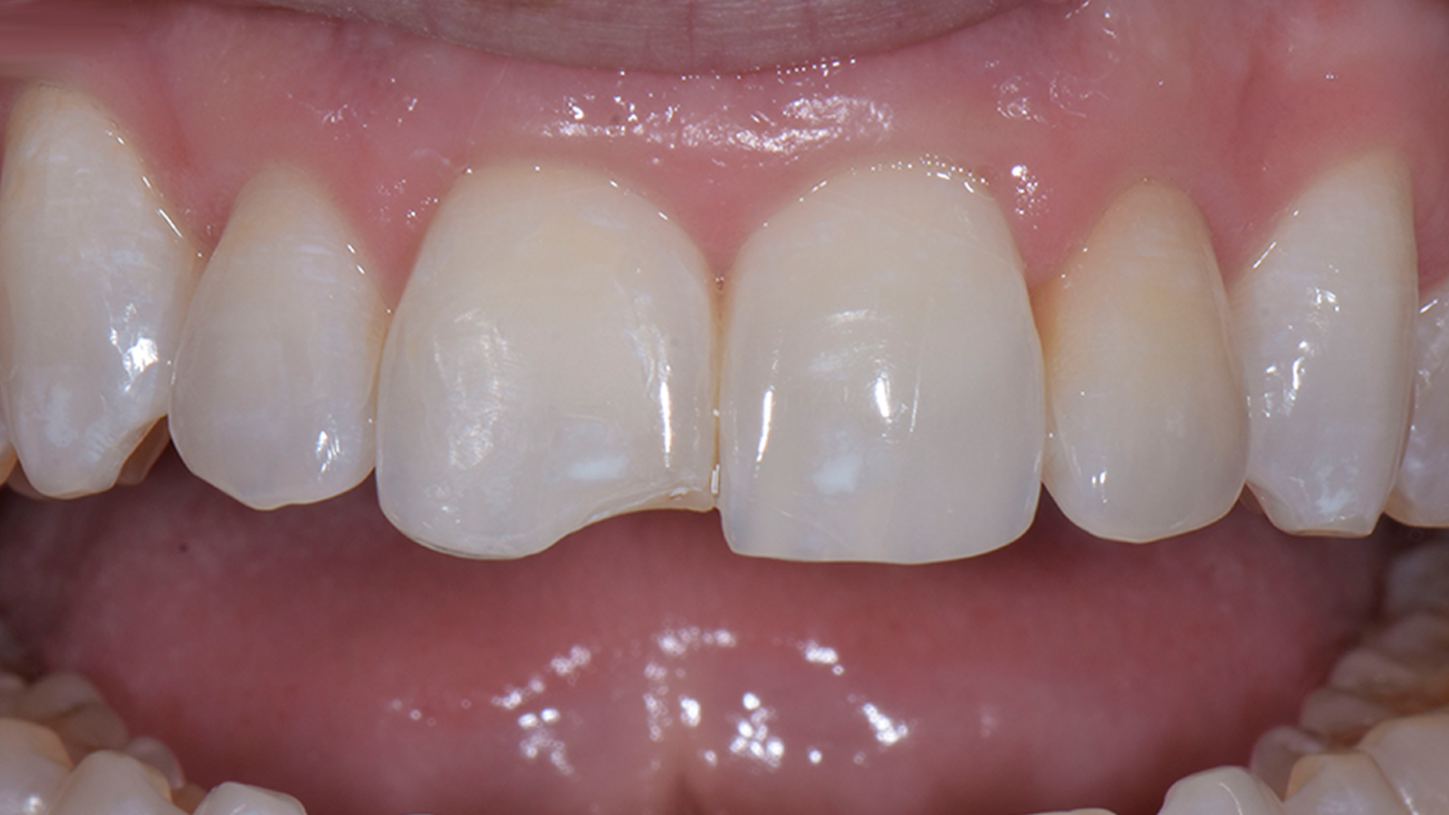
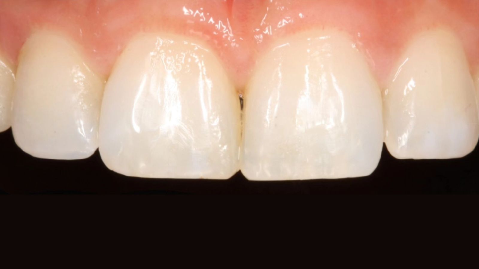
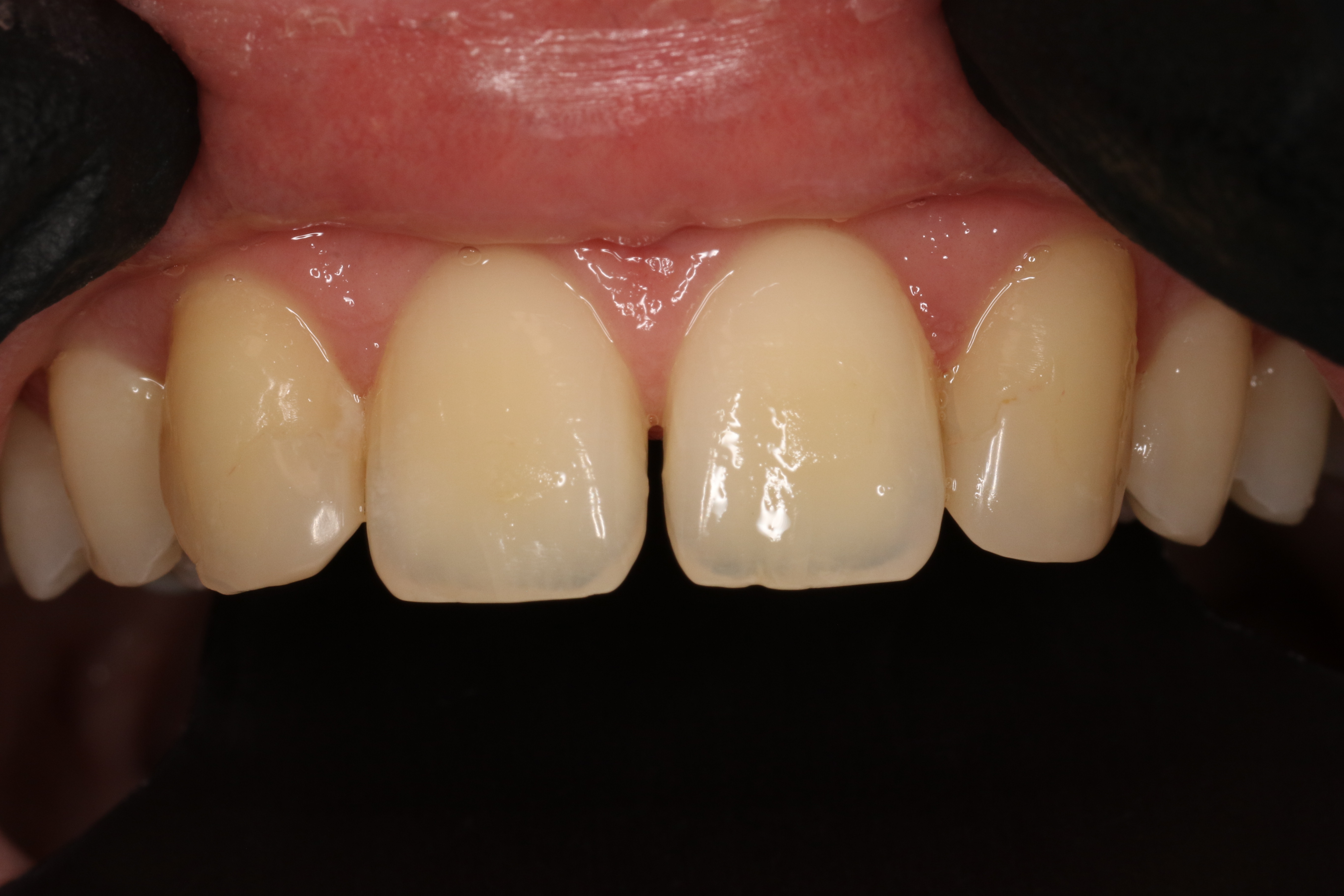
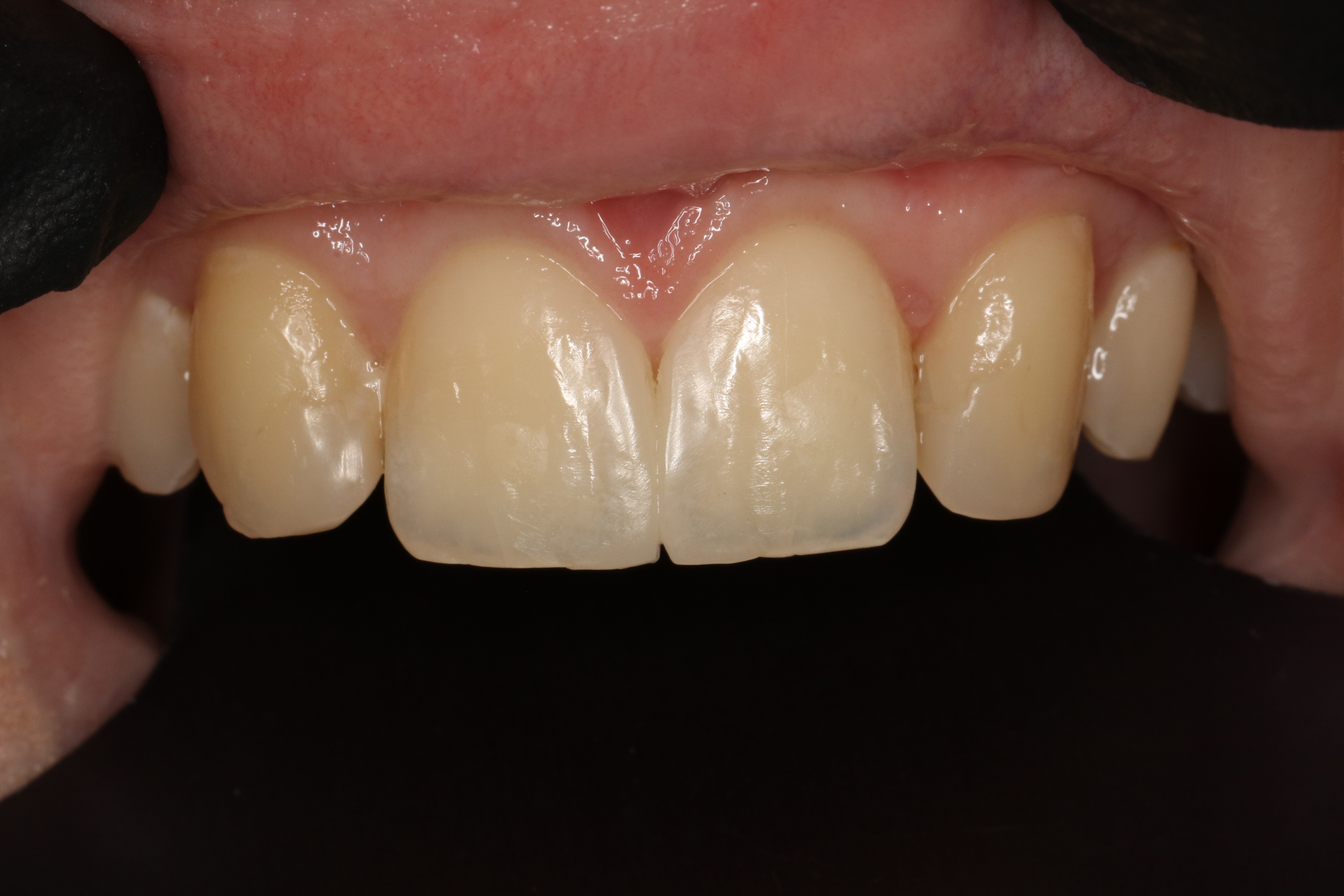
Solution monochromatique rapide aux incisives centrales supérieures ébréchées avec Venus Pearl MEDIUM (Dr Jukka Paakkanen).

Avant
Après

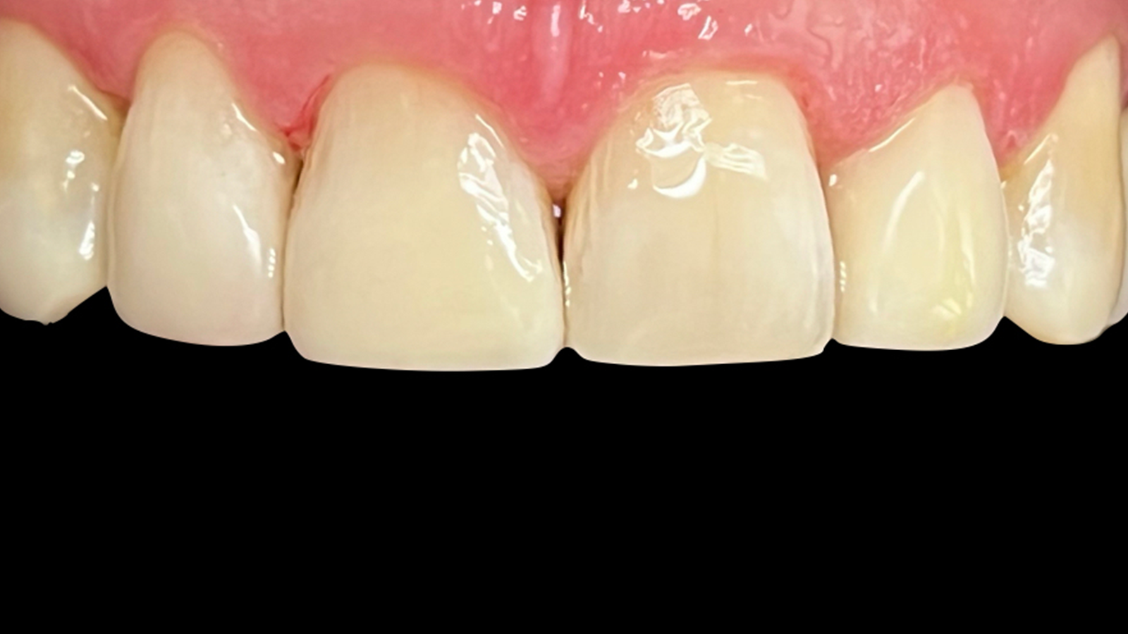
Correction monochromatique d'un petit éclat sur la dent 11 avec Venus Pearl LIGHT (Dr Jukka Paakkanen).

Avant
Après

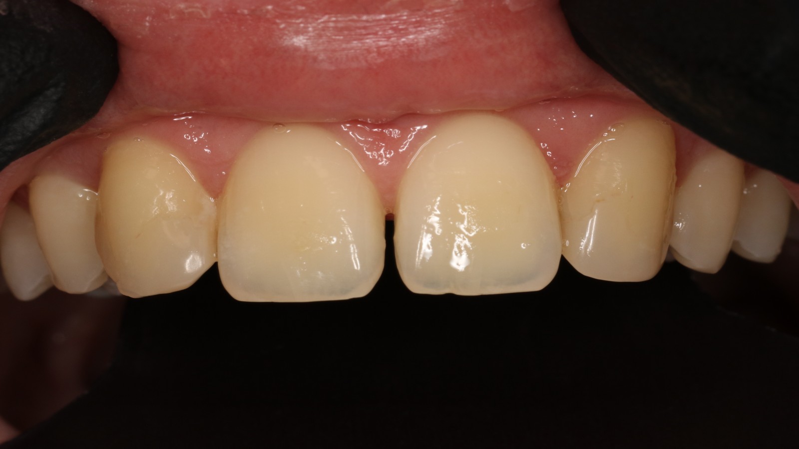
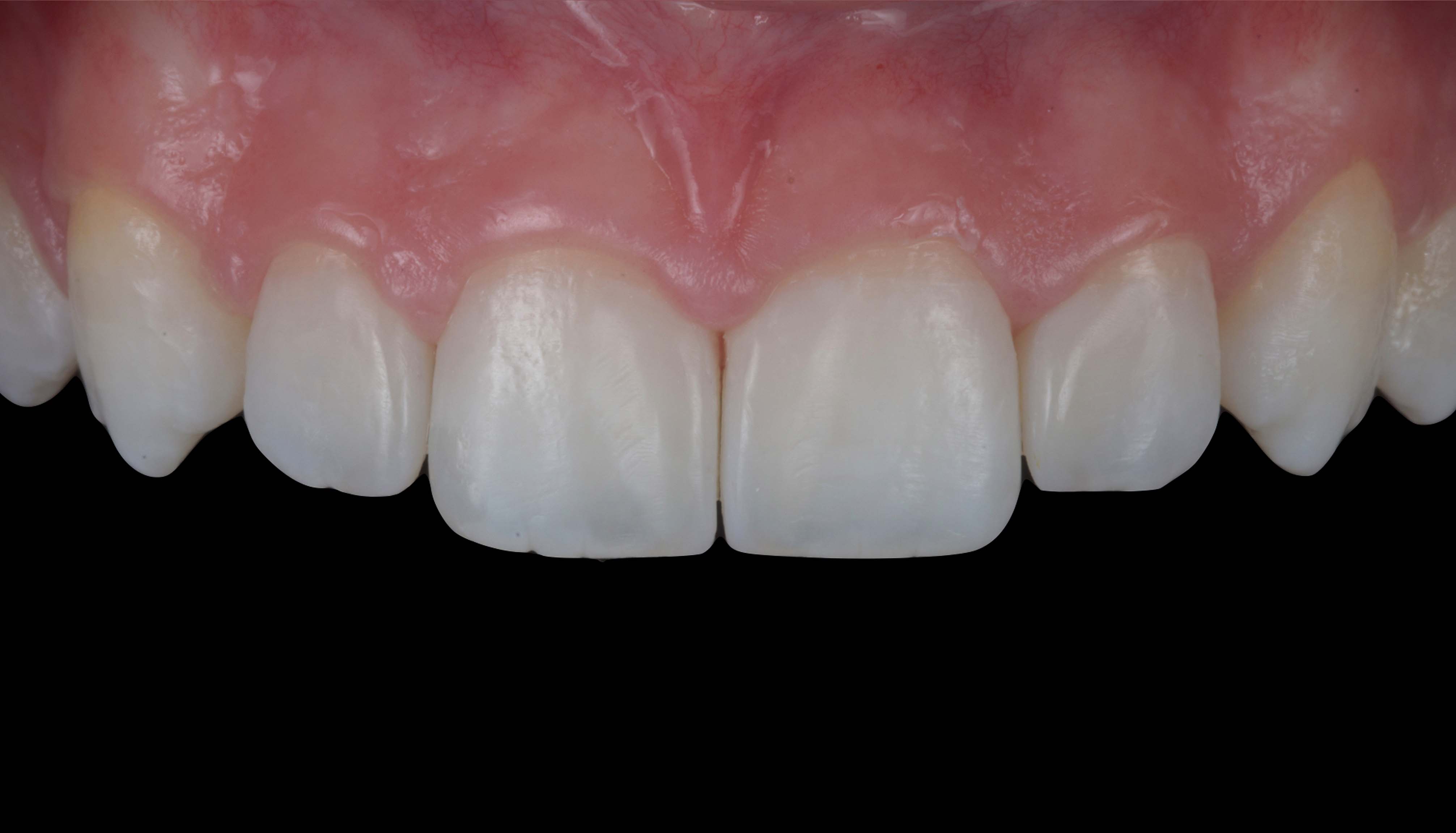
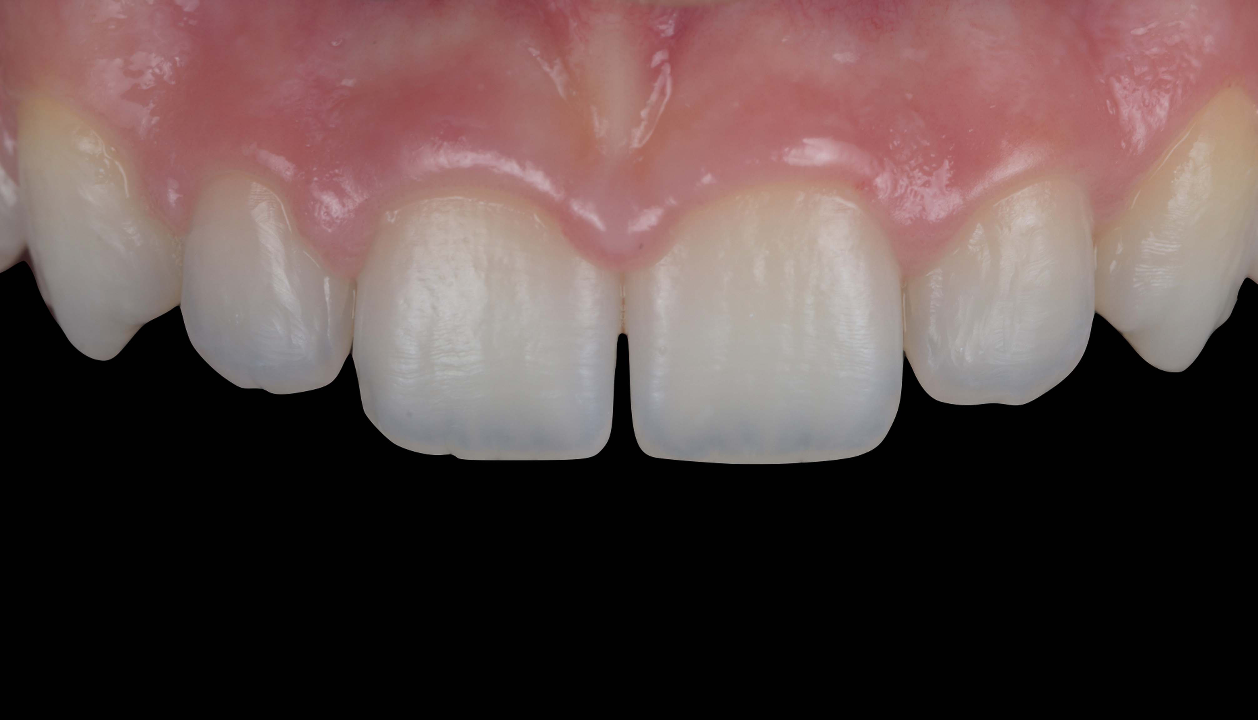
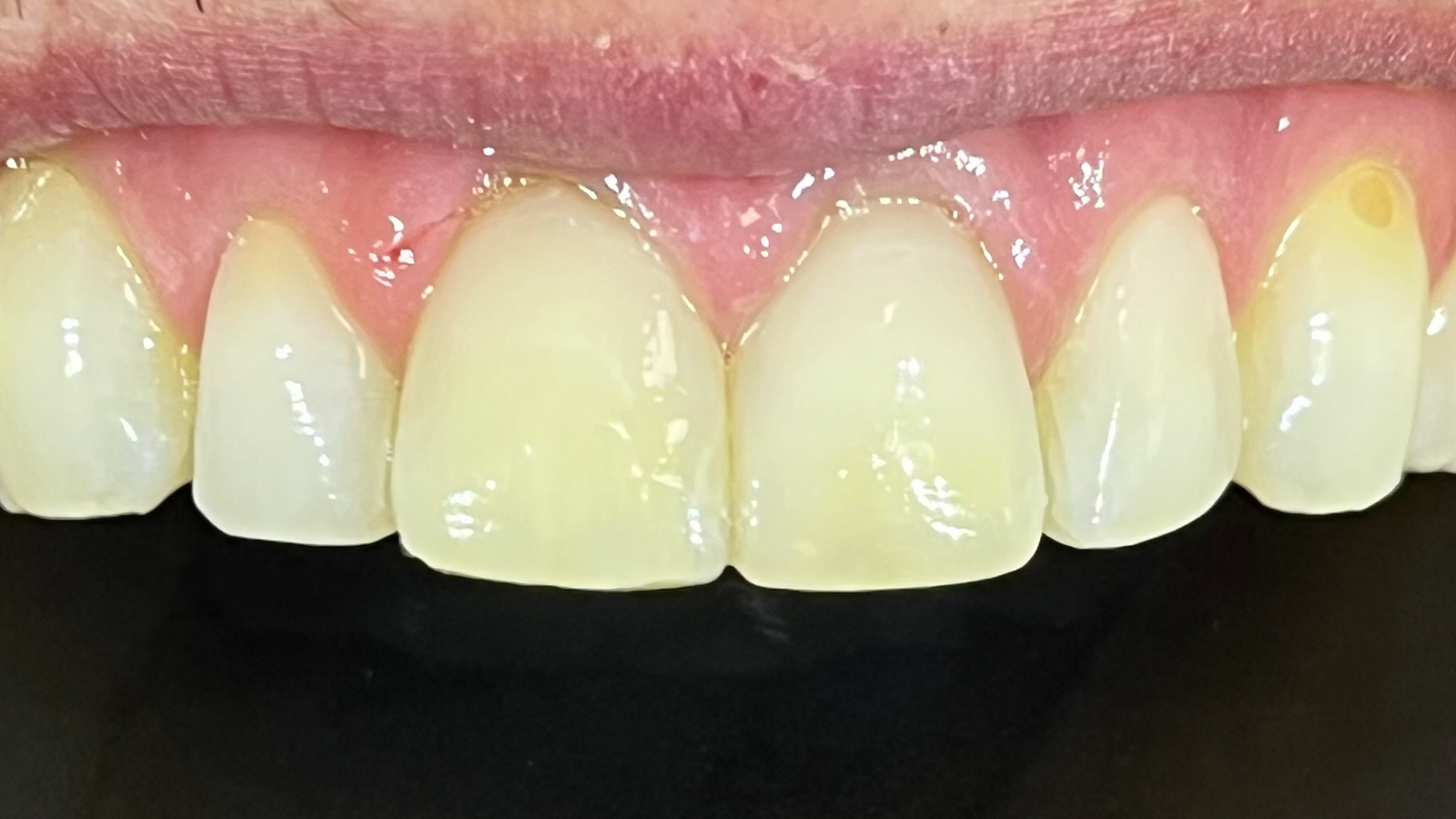
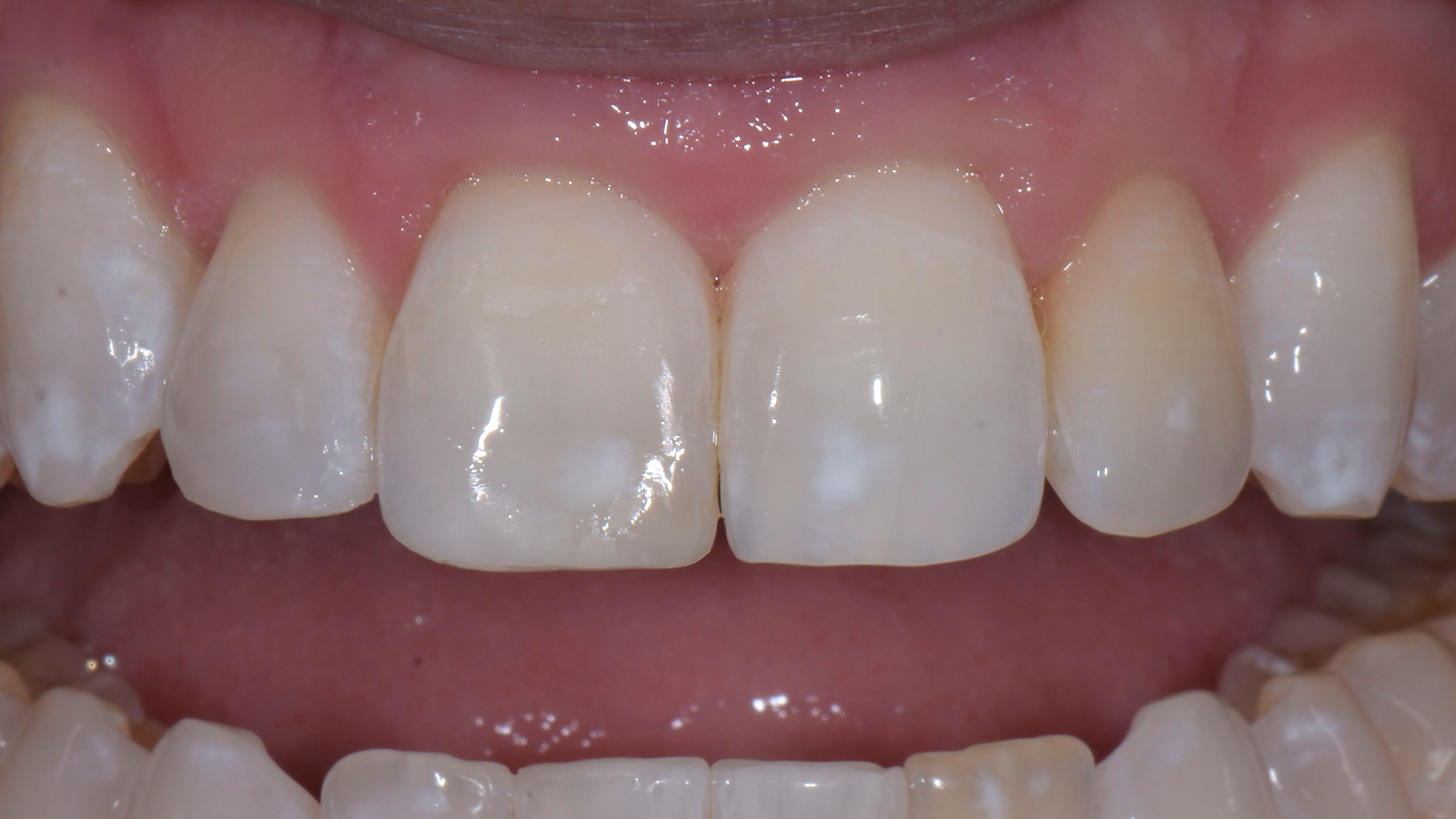
Reconstruction esthétique monochromatique mini-invasive des incisives supérieures avec Venus Pearl BLEACH (Dr Azadeh Balalaie).

Avant
Après

Reconstruction esthétique de dents encombrées dans la partie supérieure et inférieure avec Venus Pearl LIGHT & Venus Color (Dr Henrik Hjelte).

Avant
Après

Reconstruction cervicale dans la partie supérieure avant avec Venus Pearl LIGHT (Dr Henrik Hjelte).

Avant
Après

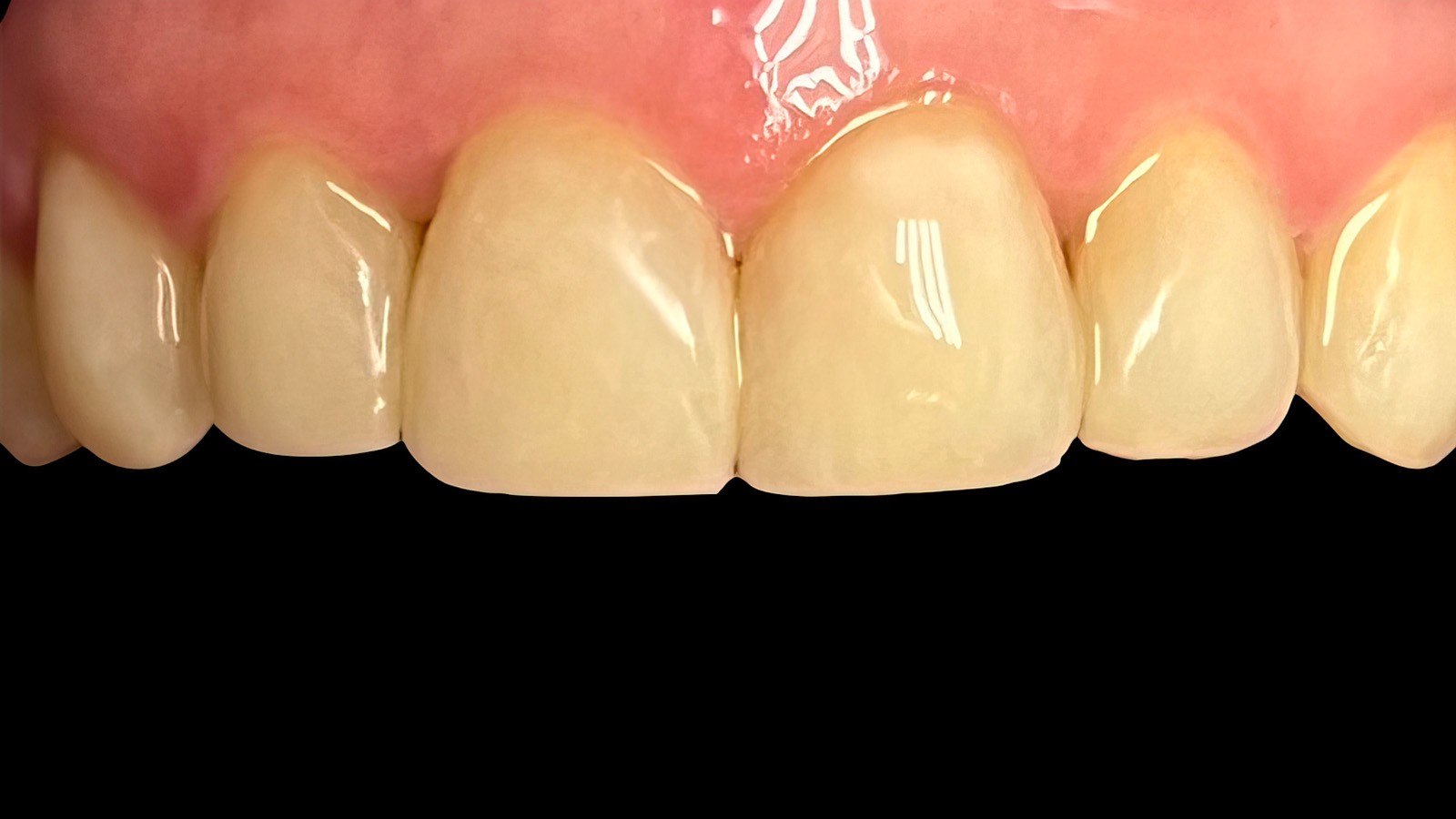
Reconstruction monochromatique esthétique des dents 11, 21 et 22 avec Venus Pearl LIGHT (Dr Henrik Hjelte).

Before
After

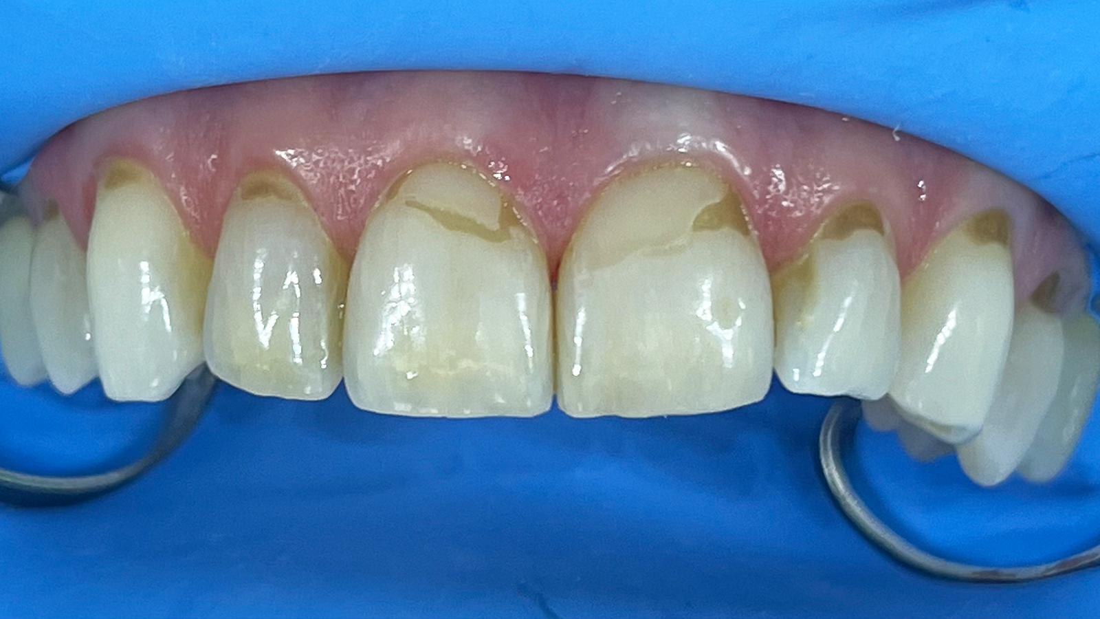
Remplacement de l'ancienne obturation en composite de l'incisive centrale supérieure gauche par Ivory Rubber Dam, iBOND Universal, Venus Pearl LIGHT & Venus Supra (Dr Laura Mokhtari).

Avant
Après

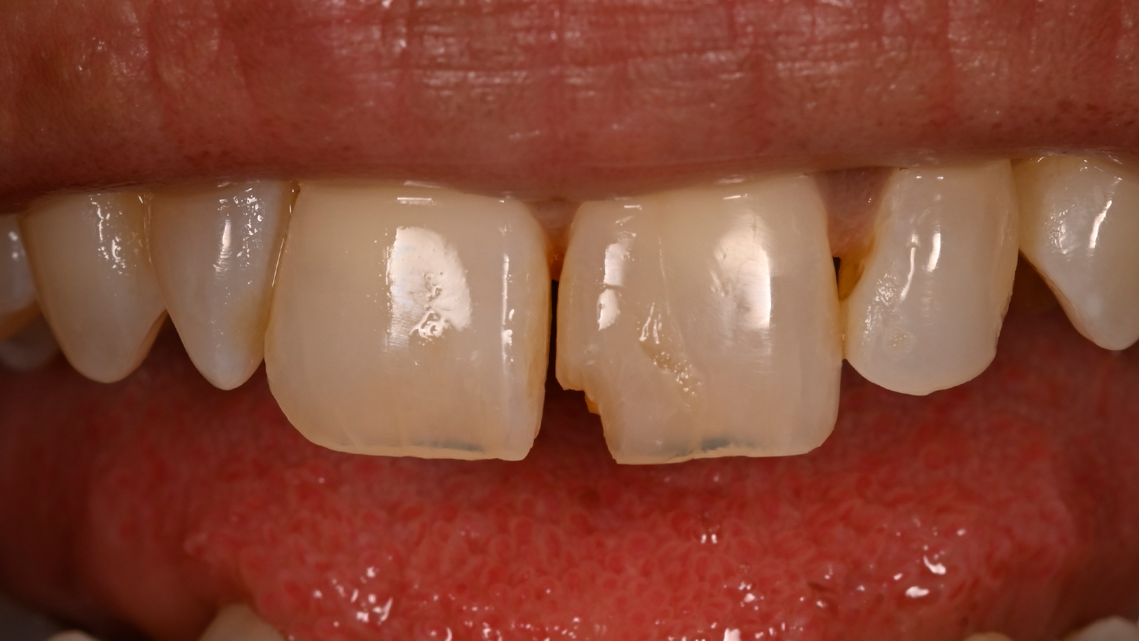
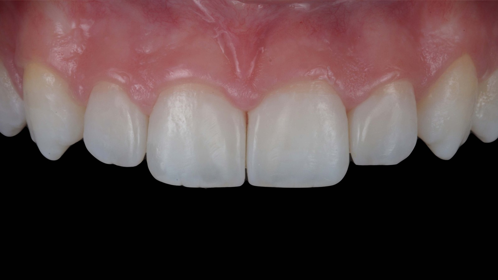
Restauration de classe IV de la dent 11 après fracture et correction esthétique de la dent 12 avec Ivory Rubber Dam, iBOND Universal, Venus Pearl LIGHT & Venus Supra (Dr Dimple Desai).

Avant
Après

Recouvrement direct des dents 12 à 22 avec Venus Pearl MEDIUM (Dr Dimple Desai).

Avant
Après

Restauration directe des dents 11 et 21 après des fractures des bords incisifs en stratification monochromatique avec Venus Pearl MEDIUM (Dr Alvaro Gusmara).

Avant
Après

Fermeture du diastème aux dents 12 mésiales et 22 mésiales après un traitement orthodontique avec Venus Pearl LIGHT & Venus Supra (Dr Janine Schweppe).

Avant
Aprés

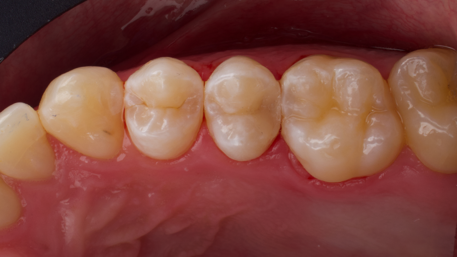
Nouvelles restaurations en composite aux dents 14 et 15 avec Venus Bulk Flow ONE & Venus Pearl MEDIUM (Dr Patrik Bargiel).

Avant
Après

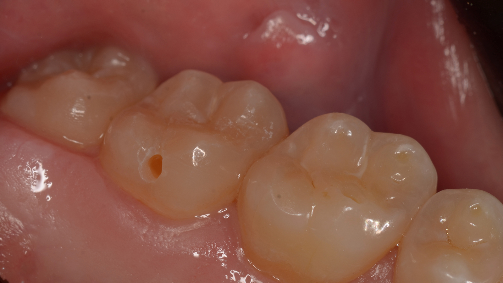
Restauration de la lésion carieuse de la dent 36 avec Venus Bulk Flow ONE & Venus Pearl LIGHT (Dr Patrik Bargiel).

Avant
Après

Restauration de classe IV de la dent 21 avec Venus Pearl MEDIUM suite à un accident dentaire (Dr Patrik Bargiel).

Avant
Après

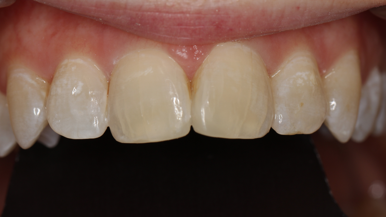
Restauration de deux incisives centrales (dents 11 et 21) à l'aide du composite Venus Pearl MEDIUM en stratification monochromatique (Dr Riccardo Baratto).

Avant
Après

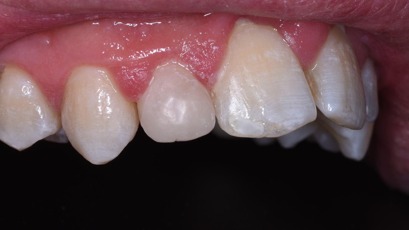
Reconstruction anatomique et esthétique correcte de la dent 12 avec Venus Diamond MEDIUM (Dr Gianluca D'Oria).

Avant
Après

Restauration de classe IV de la dent 31 ​avec Venus Pearl MEDIUM (Barelli Corbo, Federico).

Avant
Après

Restauration de classe IV de la dent 21 avec Venus Pearl MEDIUM (Dr Pianticella Corinne).

Avant
Après

Restauration directe de la dent 12 fracturée en stratification monochromatique avec Venus Diamond DARK (Dr Álvarez Rodríguez).

Avant
Après

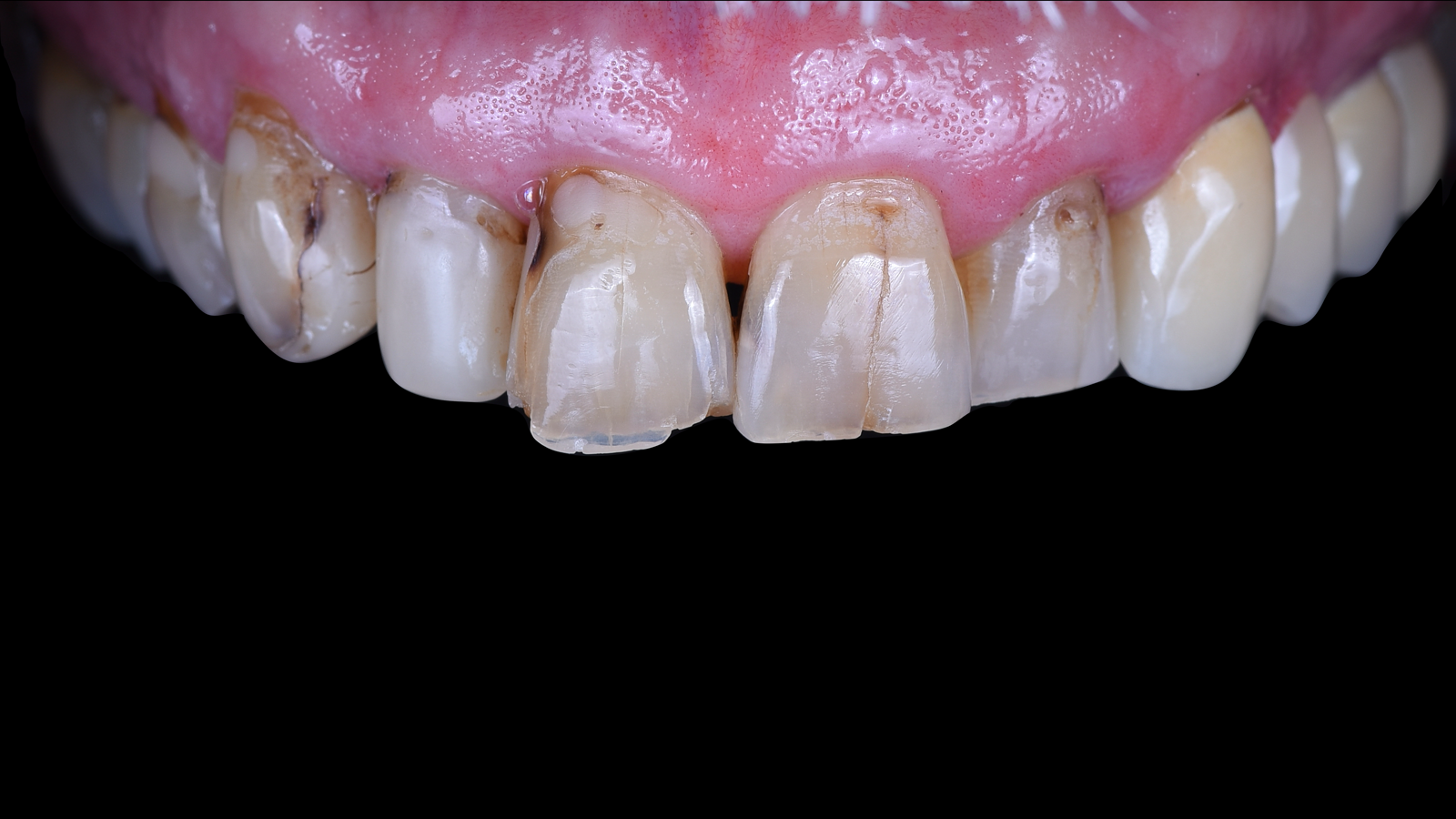
Remplacement de restaurations insuffisantes et correction anatomique dans la partie antérieure (13 à 23) ​avec Venus Diamond LIGHT (Dr Álvarez Rodríguez).

Avant
Après

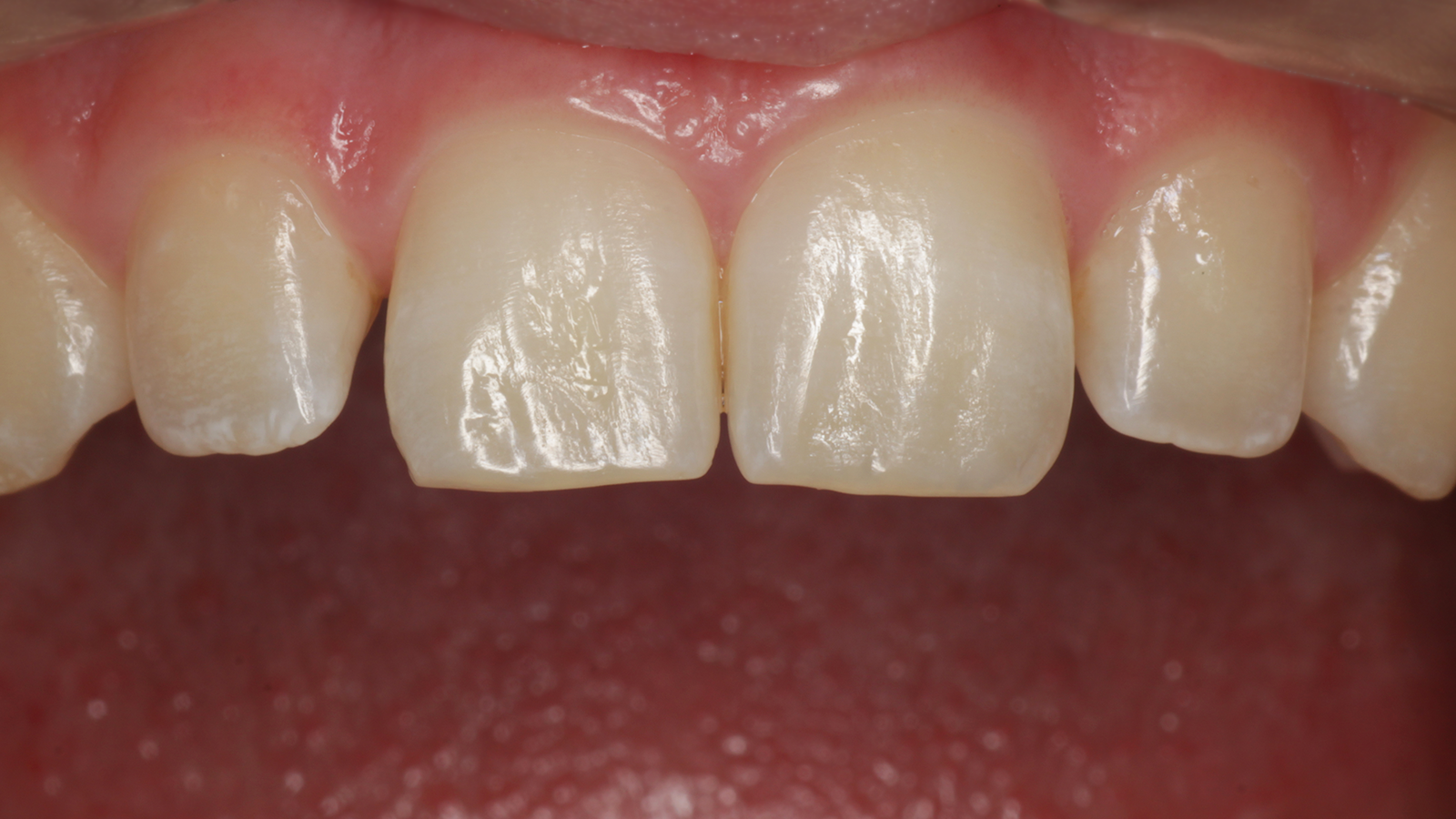
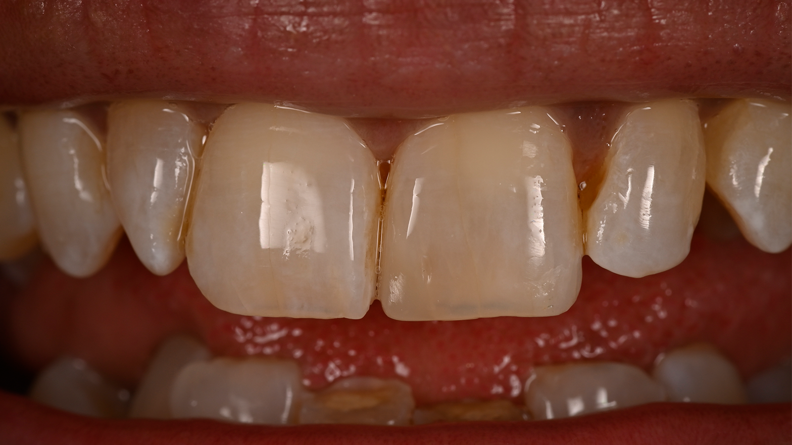
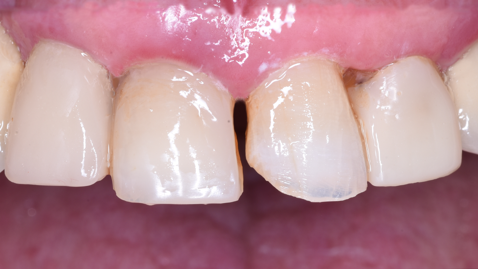
Réparation directe d'une facette composite fracturée vieille de 10 ans au niveau de la dent 21​ ​avec Venus Diamond DARK (Dr Álvarez Rodríguez).

Avant
Après

Reconstruction d'une abrasion dentaire dans la région antérieure inférieure avec Venus Pearl MEDIUM (Dr Francesco Lerda).

Avant
Après

Remplacement d'une restauration en amalgame insuffisante par Venus Pearl LIGHT (Dr Siddarth Gupta).

Avant
Après

Remplacement d'une ancienne obturation insuffisante sur la première molaire par Venus Pearl LIGHT (Dr Siddarth Gupta).

Avant
Après

Remplacement d'une restauration en amalgame insuffisante avec des caries secondaires dans la deuxième prémolaire avec Venus Pearl LIGHT (Dr Siddarth Gupta).

Avant
Après

Restauration morphologique directe des dents antérieures supérieures​ avec Venus Pearl LIGHT (Dr Alessandro Conti).

Avant
Après

Remplacement d'une ancienne obturation décolorée au niveau de l'incisive latérale par Venus Pearl LIGHT (Dr Vincenzo Vitale).

Avant
Après

Reconstruction esthétique des dents antérieures avec Venus Pearl LIGHT (Dr Alicia Serra).

Avant
Après

Reconstruction esthétique des dents antérieures avec Venus Pearl LIGHT (Dr Alicia Serra).

Avant
Après

Fermeture directe de l'espace dans le bas du devant avec Venus Pearl MEDIUM (Dr Alicia Serra).

Avant
Après

Reconstruction esthétique des dents de devant supérieures avec Venus Pearl MEDIUM (Dr Alicia Serra).

Avant
Après

Reconstruction esthétique des dents fracturées 11 et 21 avec Venus Pearl BLEACH (Dr Alícia Serra).

Avant
Après

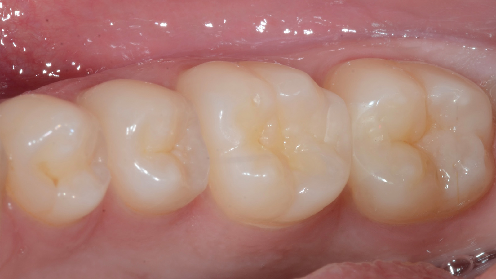
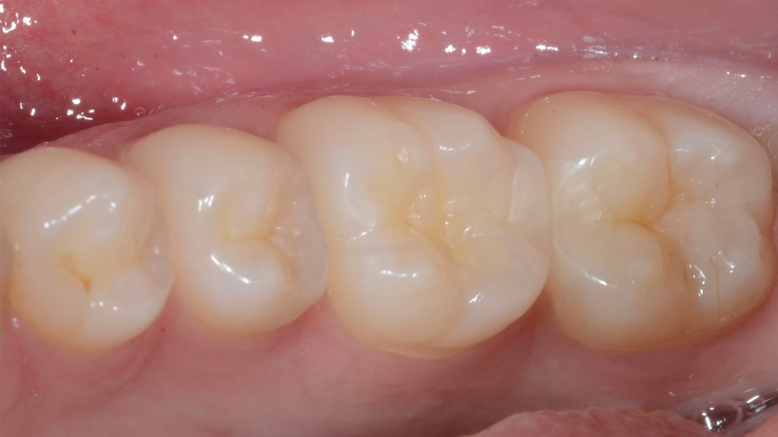
Reconstruction des lésions carieuses des dents 36 et 37 avec Venus Pearl LIGHT (Dr Filippo Del Curto).

Avant
Après

Restauration d'une lésion carieuse occlusale de la deuxième molaire avec Venus Pearl LIGHT (Dr Daniel Çaga).

Avant
Après

Restauration de dents antérieures fortement endommagées avec Venus Pearl MEDIUM (Dr Fraser Tait).

Avant
Après

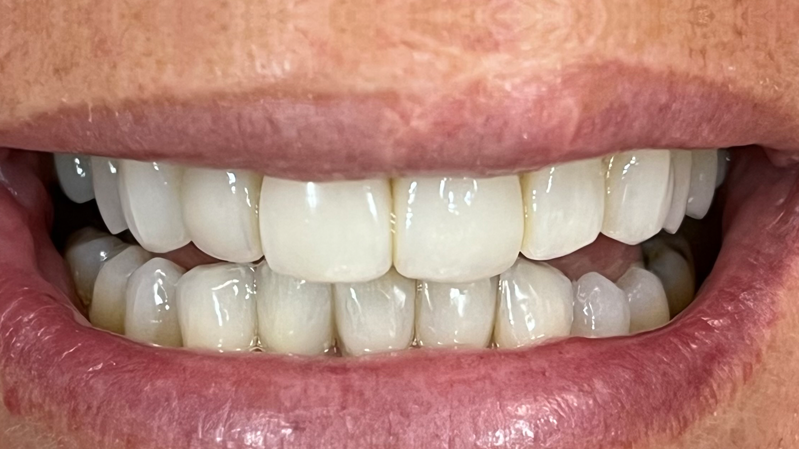
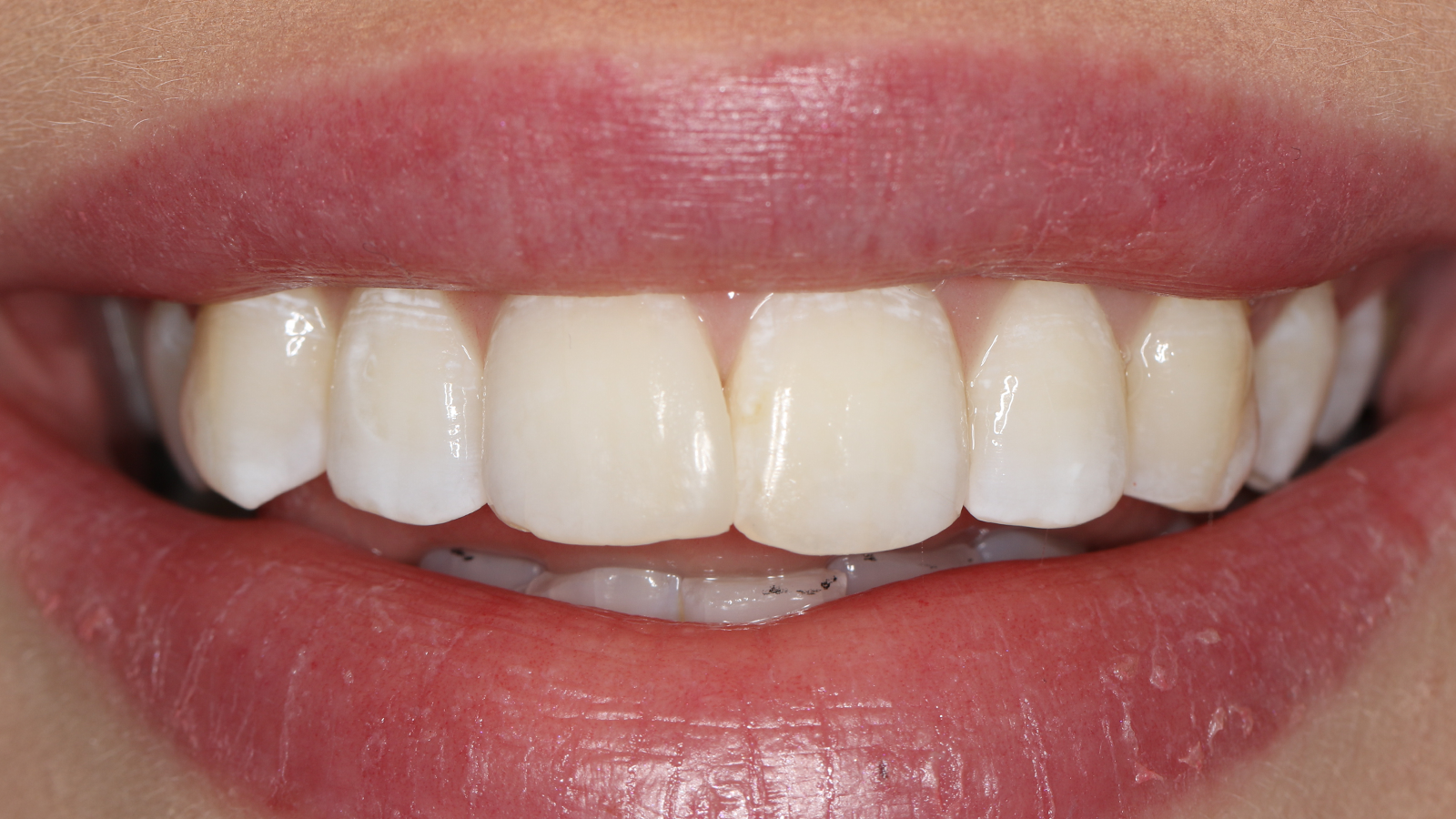
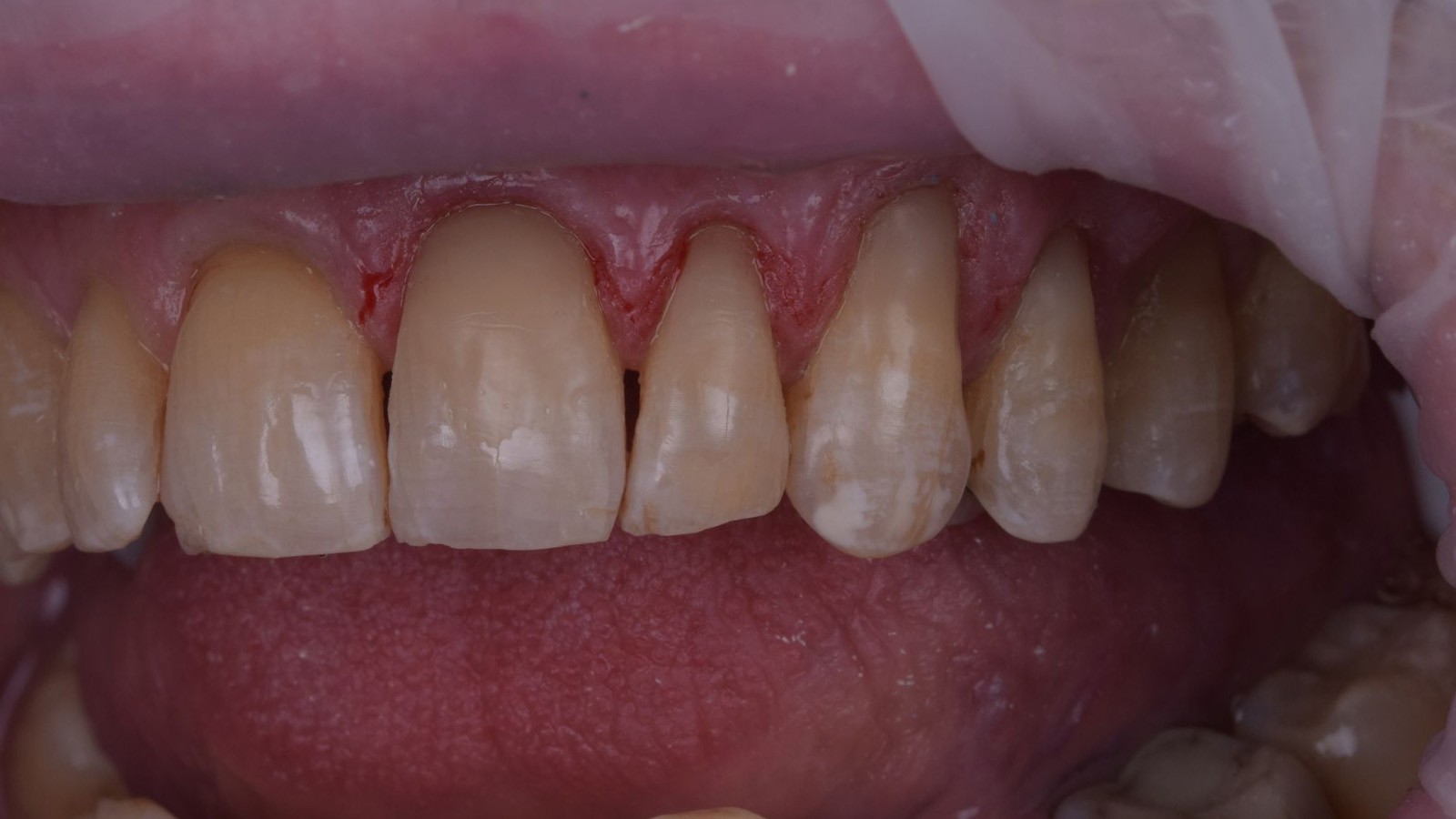
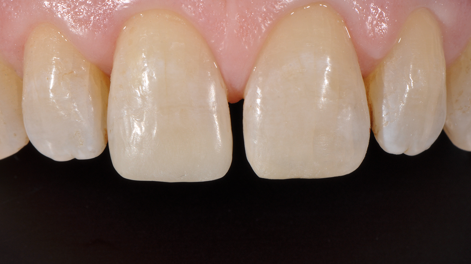
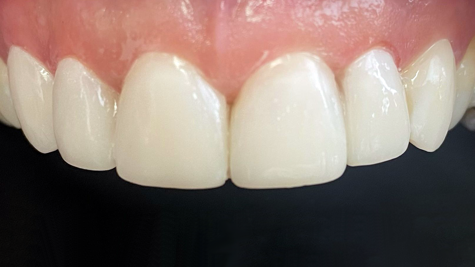
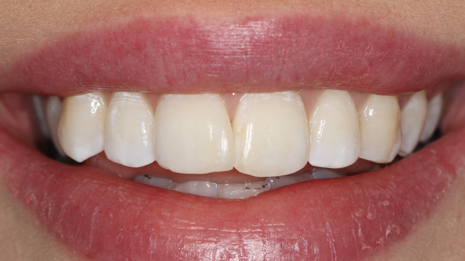
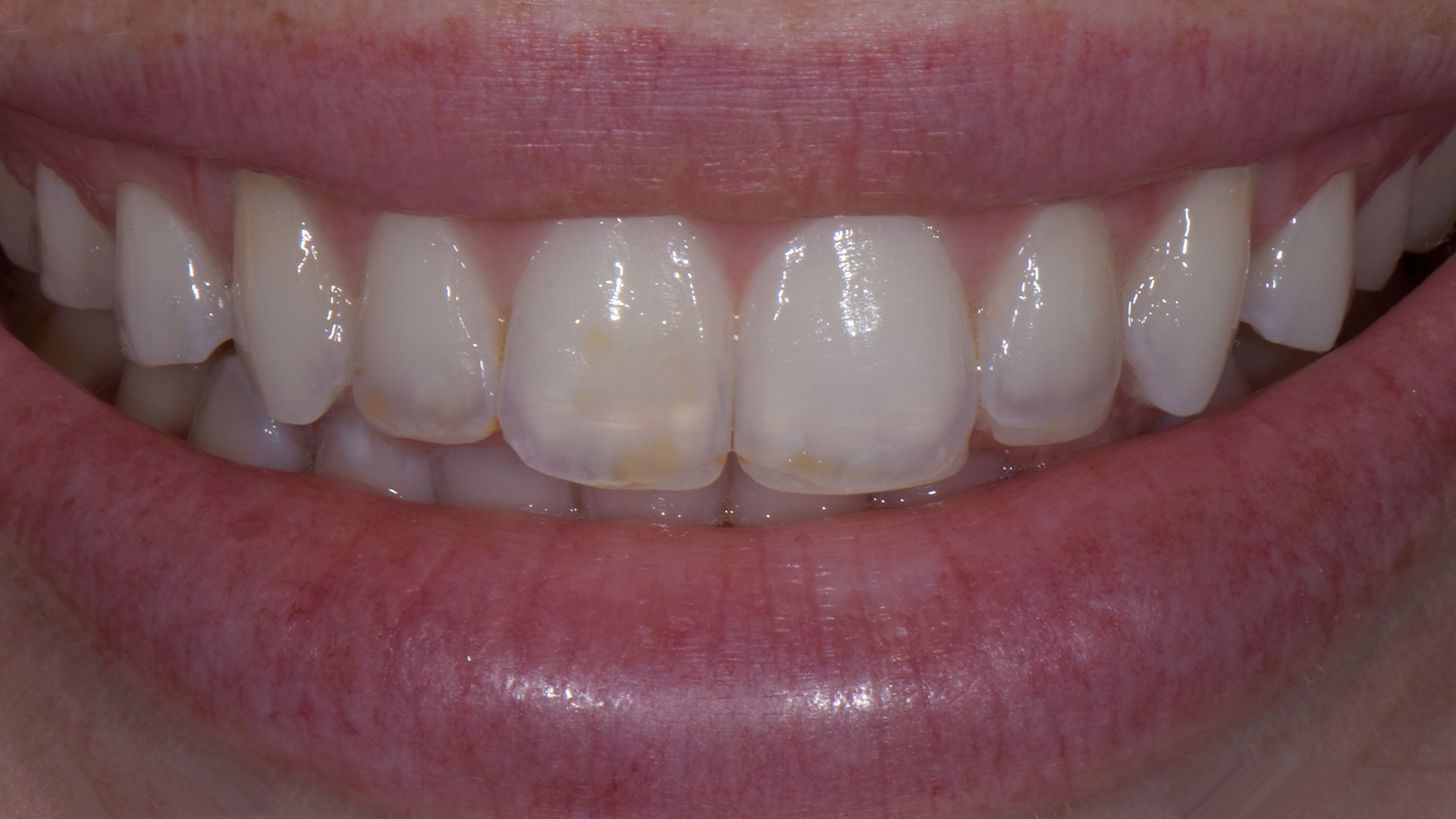
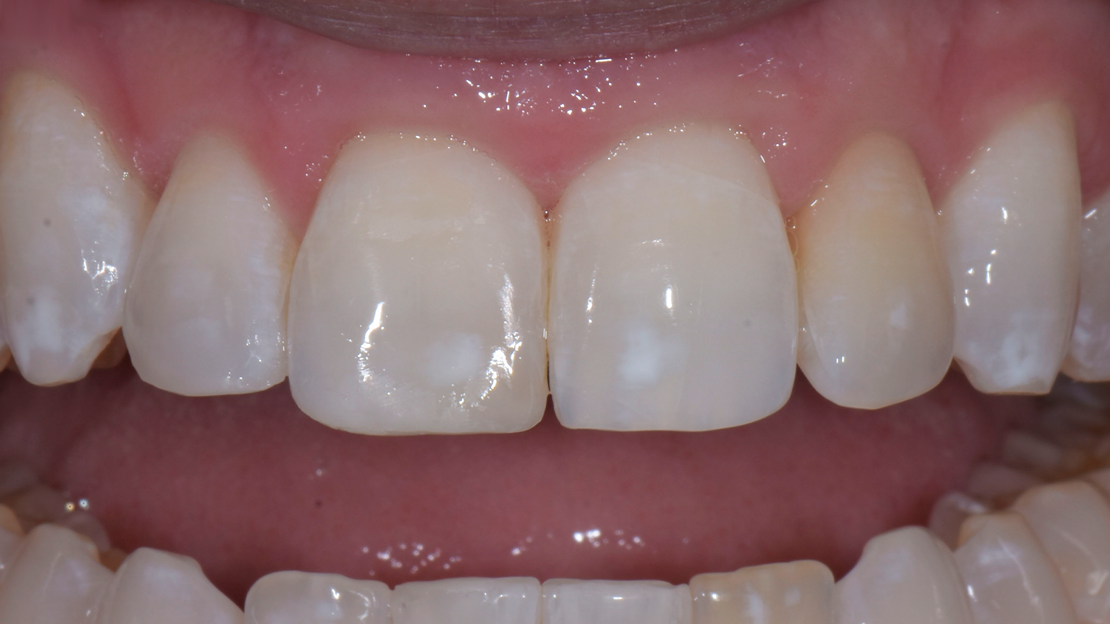
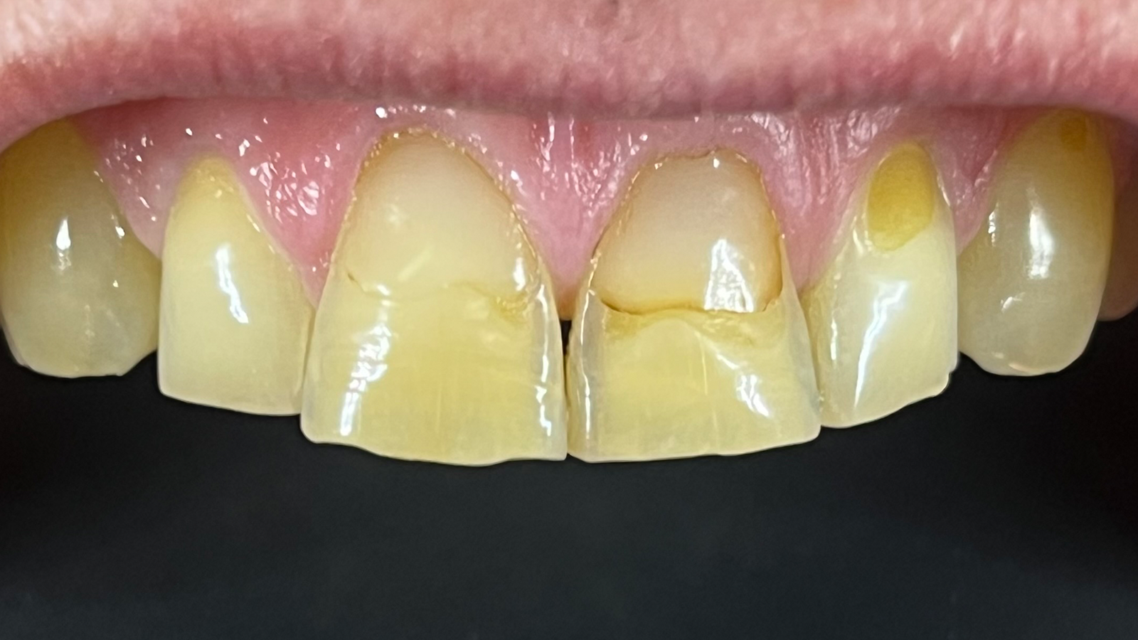
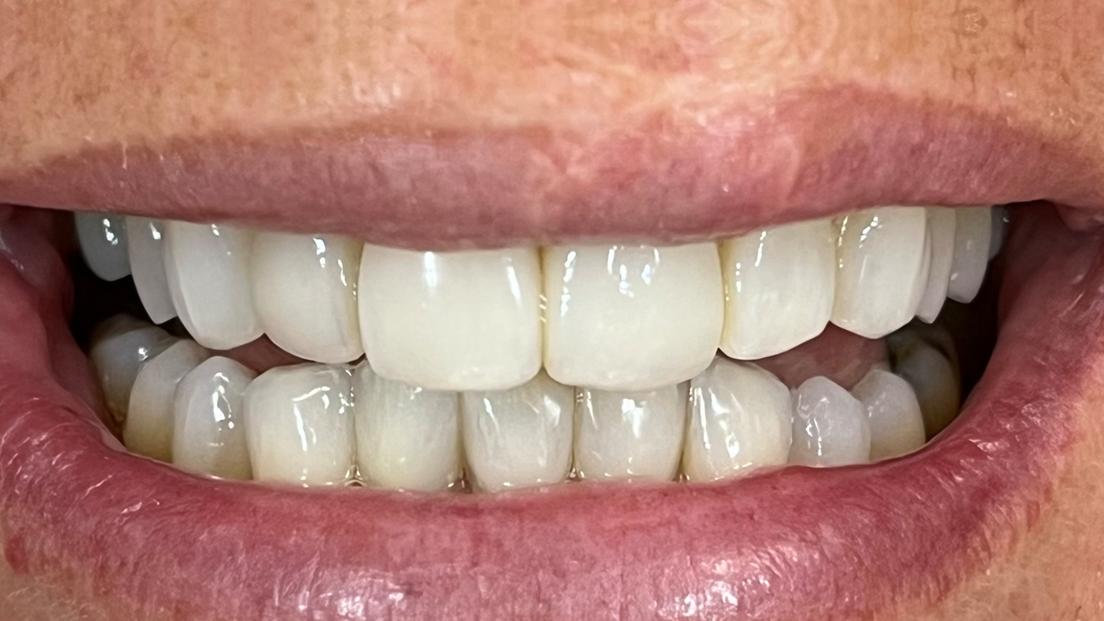
Amélioration esthétique des dents antérieures chez une patiente âgée en un temps remarquablement court avec Venus Pearl DARK (Dr Lucy Flanaghan).

Voir l'enregistrement du webinaire avec StyleItaliano

Le code Pure : atteindre l'excellence esthétique avec seulement 4 teintes.

Vous avez manqué le webinaire avec le Dr Jordi Manauta ? Pas de problème !

Regarder le replay
Venus Pearl Pure Shades

Venus Pure

À quoi ressemble une plus grande simplicité dans vos restaurations quotidiennes ?

DECOUVREZ LES AVANTAGES DE VENUS PURE
Rejoignez la communauté Venus

Vous souhaitez également faire partie de la communauté Venus ?

Soumettre votre cas
Cas avec Venus Art Shades
Cas avec Venus Art Shades
Before
After

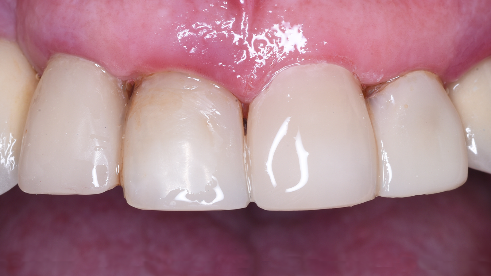
Fermeture de diastème (Venus Diamond B1 & Venus Pearl OLC) : Résultat 4 ans après le repolissage (Dr Mahmoud Ibrahim).

Venus 2.0

Vous souhaitez également faire partie de la communauté Venus ?

Partagez vos histoires et soumettez vos cas cliniques avec Venus Pure et Venus Art.

Soumettre votre cas
Venus Pearl Art Shades

Venus Art ...

... offre la polyvalence nécessaires pour relever les défis esthétiques les plus exigeants !

Choisissez le !